Τι να κάνετε εάν ένα δόντι πονάει πολύ άσχημα

Πιθανώς δεν υπάρχει κανένα άτομο στον κόσμο που να μην είναι εξοικειωμένο με πονόδοντο. Αυτό είναι ένα οδυνηρό συναίσθημα όταν ολόκληρος ο κόσμος δεν είναι καλός και όλες οι σκέψεις επικεντρώνονται στον πόνο. Οι μόνες σκέψεις που προκύπτουν κατά τη διάρκεια ενός πονόδοντου (ιδιαίτερα οξείας ή βαριάς παλλόμενης) είναι "το δόντι πόσο να κάνει;". Είναι αδύνατο να υπομείνετε πονόδοντο, γι 'αυτό είναι απαραίτητο να γνωρίζετε τις βασικές μεθόδους που θα βοηθήσουν στην ανακούφιση ή τον θαμπή πόνο.

Οδοντικός πόνος

Ο πονόδοντος τι να κάνει - ένα επείγον ζήτημα για όλους τους ανθρώπους ανά πάσα στιγμή. Για να ανακουφίσει τον πονόδοντο, πρέπει πρώτα να προσδιοριστεί η φύση του πόνου. Μόνο ένας οδοντίατρος μπορεί να το κάνει αυτό όσο το δυνατόν ακριβέστερα με μια εμπεριστατωμένη εξέταση της στοματικής κοιλότητας στο οδοντιατρείο. Αλλά προτού επισκεφθείτε τον οδοντίατρο, μπορείτε να ανακουφίσετε λίγο τον πόνο, προσδιορίζοντας από πού προέρχεται.

Με την ανάπτυξη ενός δοντιού σοφίας

Τα "Eights" είναι γομφίοι που βρίσκονται στο τέλος της οδοντοστοιχίας. Κόβουν περίπου 23 χρόνια ή και αργότερα. Κάποιοι μπορεί να μην περιμένουν να εμφανιστεί αυτή η "σοφία". Συχνά, η εμφάνισή τους συνοδεύεται από οίδημα των ούλων, οδυνηρές αισθήσεις, διάφορες επιπλοκές. Τι προκάλεσε τον πόνο κατά τη διάρκεια της έκρηξης των οκτώ και πώς να το αντιμετωπίσει; Παρουσιάζεται σε πολλές περιπτώσεις:

  • Οι οκτώ μεγαλώνουν προς λάθος κατεύθυνση (προς το μάγουλο ή προς το γειτονικό "επτά").
  • Η οδοντοστοιχία συνοδεύεται από ασθένεια των ούλων.

Πώς μεγαλώνει το δόντι σοφίας

Είναι σημαντικό να θυμόμαστε ότι οι δυσάρεστες αισθήσεις και ο περιοδικός πόνος κατά τη διάρκεια της έκρηξης του ογδόου είναι αρκετά φυσιολογικοί, φυσιολογικώς δικαιολογημένοι, επειδή αρχίζει να αναπτύσσεται όταν ήδη σχηματίζεται η σαγόνι και στη θέση του δεν υπήρχε κανένα δόντι γάλακτος που θα "προετοιμάσει τον δρόμο" για το μοριακό. Αναπτύσσεται, κατά κανόνα, για μεγάλο χρονικό διάστημα, έτσι μια δυσάρεστη αίσθηση μπορεί να εκδηλωθεί και να εξαφανιστεί.Με συνεχή οξύ πόνο, που παρεμβαίνει σε μια πλήρη ζωή, είναι επιτακτική ανάγκη να συμβουλευτείτε έναν γιατρό.

Προκειμένου να ανακούφιση του πόνου κατά τη διάρκεια της σοφίας, συχνά εκτελεί τη διαδικασία για να αφαιρέσει την κουκούλα επάνω από αυτό (κόψτε ελαφρά το κόμμι, το οποίο διευκολύνει τη "γέννηση" του δοντιού). Το ξέβγαλμα (για παράδειγμα, ένα μείγμα σόδα, αλάτι και νερό) θα βοηθήσει στην ανακούφιση του πόνου και της φλεγμονής των ούλων. Μην ξεχάσετε τα αναλγητικά, αλλά η προσφυγή στη βοήθειά τους είναι σε ακραίες περιπτώσεις.

Οδοντικό πόνο

Κάτω από το στέμμα

Πόνος κάτω από το στέμμα, αν συνέβη αμέσως μετά την εγκατάστασή του, είναι φυσιολογικό. Μπορούν να διαρκέσουν αρκετές ημέρες. Εάν ο πόνος εμφανίζεται μετά από παρατεταμένη χρήση της στεφάνης, τότε σίγουρα θα πρέπει να επισκεφθείτε το γιατρό σας για να διαπιστώσετε και να εξαλείψετε την αιτία της δυσφορίας. Είναι σημαντικό να κατανοήσουμε τη φύση αυτού του πόνου, που μπορεί να προκύψει ως αποτέλεσμα πολλών λόγων:

  • Η κακή προετοιμασία του δοντιού πριν από την προσθετική (το κανάλι όπου ξεκίνησε η φλεγμονή ή τα υλικά κακής ποιότητας) δεν είναι πλήρως σφραγισμένο.
  • Η παρουσία μιας οπής στον τοίχο του οδοντικού σωλήνα (μπορεί να οφείλεται σε κακή τοποθέτηση του πείρου).
  • Εσφαλμένη εγκατάσταση στεφάνης.
  • Φλεγμονή του οδοντικού νεύρου.

Μη σωστά τοποθετημένη κορώνα

Χαλαρώστε ελαφρώς τον πόνο πριν επισκεφθείτε έναν γιατρό, πιθανώς με παυσίπονα. Μην καταχραστείτε τέτοια φάρμακα, ειδικά χωρίς το διορισμό ενός γιατρού και τη διαβούλευσή του. Το σπιτικό "ξέβγαλμα", που περιλαμβάνει νοβοκαϊνη (μισό φλυτζάνι), 1 κουταλάκι του γλυκού ασπράδι αυγού και λεπτό αλάτι, θα βοηθήσει στην ανακούφιση του πόνου. Για την απομάκρυνση της φλεγμονώδους διαδικασίας, συχνά χρησιμοποιούνται οι εφαρμογές από γάζα εμποτισμένες σε διάλυμα υπεροξειδίου του υδρογόνου, το οποίο εφαρμόζεται στην εστίαση του πόνου.

Η φυτική ιατρική είναι επίσης δημοφιλής, η οποία βασίζεται στο ξέπλυμα με εγχύσεις διαφόρων βοτάνων (για παράδειγμα, φασκόμηλο, χαμομήλι, που έχει αντισηπτικό αποτέλεσμα, καλέντουλα, θυμάρι και άλλα). Η συνήθης αναλογία για την παρασκευή της έγχυσης είναι 1 κουταλιά της σούπας βότανα ανά 1 λίτρο νερού. Το μείγμα βράζει σε λουτρό νερού και μετά από επιμονή για 15-20 λεπτά, ξεπλύνετε το στόμα σας.

Στο σπίτι, ίσως μόνο για λίγο ανακουφίσει τον πονόδοντο και ανακουφίζει δυσφορία. Είναι αδύνατο να θεραπεύσετε τελείως ένα δόντι κάτω από το στέμμα χωρίς την παρέμβαση ενός οδοντιάτρου, οπότε δεν πρέπει να αναβάλλετε μια επίσκεψη στο οδοντιατρείο.

Ανάπτυξη τερηδόνας κάτω από το στέμμα

Πόνος στη ρίζα

Με τη φλεγμονή του νευρικού νεύρου παρατηρείται ο πιο οξύς και αφόρητος πονόδοντος, ο οποίος είναι απίθανο να υπομείνει κανείς για μεγάλο χρονικό διάστημα. Η κύρια αιτία της φλεγμονής θεωρείται λοίμωξη στη ρίζα του δοντιού (στο νεύρο). Σε αυτή την περίπτωση, υπάρχουν δύο πιθανές λύσεις στο πρόβλημα, ανάλογα με το στάδιο της φλεγμονής και το βαθμό μόλυνσης:

  1. Αν ο δόντις και το νεύρο δεν είναι πολύ κακό, ο οδοντίατρος θα προσπαθήσει να τον κρατήσει "ζωντανό" χωρίς να αφαιρέσει το νεύρο.
  2. Με σοβαρή βλάβη, το νεύρο θα πρέπει να αφαιρεθεί. Η κατάργηση μπορεί να γίνει με διάφορους τρόπους:

Δόντι μετά την αφαίρεση του νεύρου

  • «Θανάτωση» του νεύρου με αρσενικό. Η διαδικασία είναι επώδυνη και απαιτεί αρκετές επισκέψεις στον οδοντίατρο. Κατά την πρώτη επίσκεψη στο οδοντιατρείο: "ανοίξτε" το νεύρο, καθαρίστε το κανάλι, βάλτε το αρσενικό σε αυτό. Έβαλαν μια προσωρινή σφραγίδα. Το αρσενικό καταστρέφει το νεύρο, αλλά αυτή η διαδικασία συνοδεύεται από τρομερό πόνο.
  • Η σύγχρονη μέθοδος απομάκρυνσης νεύρων είναι πολύ απλούστερη, ταχύτερη και λιγότερο οδυνηρή. Μετά από έγχυση τοπικής αναισθησίας, ανοίγεται το νεύρο και καθαρίζονται πλήρως τα κανάλια, μετά από τα οποία καθιερώνεται μόνιμη πλήρωση. Αυτό γίνεται σε μια επίσκεψη στον οδοντίατρο.

Μόνο η επαγγελματική θεραπεία σε ένα εξειδικευμένο ίδρυμα θα σας βοηθήσει να απαλλαγείτε από τον πόνο ενός φλεγμονώδους νεύρου. Για μικρό χρονικό διάστημα, τα αναλγητικά (φάρμακα, για παράδειγμα, analgin, no-spa, solpadein, tempalgin, baralgin) και έκπλυση (ένα διάλυμα σόδα, αλάτι και νερό, αφέψημα βοτάνων) θα βοηθήσουν στην ανακούφιση του πόνου.

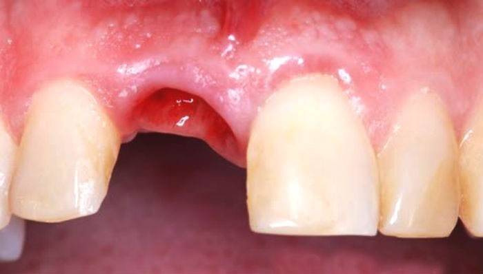
Έβγαλε ένα δόντι

Η αφαίρεση ενός δοντιού είναι μια πολύ οδυνηρή διαδικασία, κατά την οποία είναι συχνά απαραίτητο να κάνετε μια τομή στα ούλα, να διαταράξετε την ακεραιότητα του οστικού ιστού και να ράψετε. Αλλά ακόμα και αν η απομάκρυνση ήταν ευνοϊκή, η ακεραιότητα των ιστών εξακολουθεί να παραβιάζεται, επομένως, ο πόνος στα ούλα μετά την αφαίρεση είναι ένα φυσικό φαινόμενο.

Μερικές φορές συμβαίνει πόνος λόγω μιας φλεγμονώδους διαδικασίας που άρχισε στο σημείο μιας κενής τρύπας. Συχνές αιτίες φλεγμονής: ακατάλληλη στοματική φροντίδα, κακή υγιεινή κατά την εξόρυξη δοντιών και απροσεξία του γιατρού. Τι πρέπει να κάνετε εάν ένα δόντι είναι εξαιρετικά επώδυνο, το οποίο έχει ήδη αφαιρεθεί; Είναι σημαντικό να θυμάστε έναν κανόνα - σε καμία περίπτωση δεν θερμαίνετε το μάγουλο. Όταν θερμαίνεται, μπορεί να ξεκινήσει μια πυώδης διαδικασία.

Εξόρυξη δοντιών

Ξεπλύνετε το στόμα μετά από την εξαγωγή των δοντιώνγια να ανακουφίσει τον πόνο, χρειάζεστε ένα αφέψημα καλέντουλας, καλαμών, χαμομηλιού, φλοιού δρυός. Αλλά μην κάνετε πολύ ενεργές κινήσεις ξεπλύματος, απλά πρέπει να πάρετε νερό και να το κρατήσετε στο μάγουλο δίπλα από τα ούλα σας. Με σοβαρό πόνο, πρέπει να πάρετε ένα αναλγητικό, προσπαθήστε να πάρετε μια συνάντηση με έναν γιατρό το συντομότερο δυνατό.

Πόνος μετά την εξόρυξη δοντιών

Πτώση σφραγίδα

Μερικές φορές συμβαίνει ότι μια γέμιση πέφτει από ένα φαινομενικά υγιές δόντι που έχει ήδη αντιμετωπιστεί. Αυτό το φαινόμενο είναι δυσάρεστο και συνοδεύεται από δυσφορία. Να θυμάστε ότι μετά την απομάκρυνση από τη σφράγιση παραμένει ένα ανοιχτό κανάλι (οπή) όπου τα υπολείμματα τροφίμων μπορούν να πέσουν. Αν ήταν προσωρινό, τότε δεν πρέπει να ανησυχείτε πάρα πολύ, γιατί μια τέτοια σφραγίδα τοποθετείται για ένα μικρό χρονικό διάστημα. Στη θέση της πεσμένης σφραγίδας, αξίζει να τοποθετήσετε ένα καθαρό αποστειρωμένο βαμβάκι.

Εάν έχει πέσει μόνιμη γέμιση, συνιστάται να επικοινωνήσετε με την οδοντιατρική το συντομότερο δυνατό, επειδή όσο πιο γρήγορα γίνεται η σφράγιση, τόσο λιγότερο θα πρέπει να υπομείνετε σε διάφορους χειρισμούς. Εάν δεν υπάρχει ευκαιρία να πάτε στον γιατρό την ίδια μέρα, είναι σημαντικό να προσπαθήσετε να κρατήσετε τον τόπο όπου η σφραγίδα ήρθε από καθαρό. Είναι απλό να κάνετε: βουρτσίστε τα δόντια σας 2-3 φορές την ημέρα, ξεπλύνετε το στόμα σας καλά μετά από κάθε γεύμα, έτσι ώστε τα σωματίδια τροφίμων να μην παραμένουν στο "χωνί" από τη σφραγίδα.

Πτώση σφραγίδα

Πόνος σε γεμάτο δόντι

Ο πόνος σε ένα γεμάτο δόντι μπορεί να συμβεί αμέσως μετά τη διαδικασία και να διαρκέσει αρκετές ώρες. Εάν ο πόνος επιμένει ακόμη και μετά από μία ημέρα, τότε ο λόγος εμφάνισής του είναι πιθανώς η εσφαλμένη τοποθέτηση σφραγίδας, η μη συμμόρφωση με τα μέτρα υγιεινής κατά τη διάρκεια της διαδικασίας. Για να ανακουφίσει τον πόνο σε ένα γεμάτο δόντι, είναι απαραίτητο να καθορίσουμε την αιτία της εμφάνισής του. Εάν ο πόνος εμφανίστηκε αμέσως μετά την τοποθέτηση της σφραγίδας, τότε θα πρέπει να πάρετε ένα αναισθητικό, αλλά μην το καταχράστε.

Αν ο πόνος προκαλείται από ακατάλληλη τοποθέτηση της σφραγίδας, τότε απομακρύνεται η παλιά σφραγίδα και εισάγεται νέα. Εάν το δόντι δεν τελείωσε τελείως πριν εγκαταστήσετε τη σφράγιση, ανοίγει το σφράγισμα, καθαρίζεται και σφραγίζεται ξανά. Ο πόνος μπορεί να προκληθεί από αλλεργία στο υλικό από το οποίο γίνεται η σφράγιση. Σε αυτή την περίπτωση, η σφραγίδα αφαιρείται και αντικαθίσταται με νέα, από άλλα υλικά.

Αιτία πόνου σε γεμάτο δόντι

Πρησμένα ούλα

Σε περίπτωση διόγκωσης των ούλων, θα πρέπει σίγουρα να συμβουλευτείτε έναν γιατρό για να διαπιστώσετε την αιτία της διόγκωσης, καθώς και να συνταγογραφήσετε την κατάλληλη θεραπεία. Εάν η γόμωση είναι πρησμένη, είναι σημαντικό να θυμάστε έναν σημαντικό κανόνα: σε καμία περίπτωση δεν πρέπει να ζεστάνετε τον τόπο του πρηξίματος, αλλιώς μπορεί να δημιουργηθεί ο πόνος, πράγμα που θα οδηγήσει μόνο σε επιπλοκές.

Σε αυτή την περίπτωση, το ξέπλυμα με αντισηπτικούς παράγοντες μπορεί να βοηθήσει (ένα μείγμα σόδα και νερό είναι τέλειο). Είναι σκόπιμο να ξεπλύνετε με αφέψημα των βοτάνων, καθώς και να εφαρμόσετε βαμβάκι εμποτισμένο σε διάλυμα υπεροξειδίου του υδρογόνου. Με απαράδεκτο πόνο, τα φάρμακα θα βοηθήσουν: no-shpa, solpadein, ketans και άλλα παυσίπονα. Ακόμη και αν ο πόνος μπορεί να ανακουφιστεί, δεν αξίζει να αναβληθεί μια επίσκεψη στον οδοντίατρο.

Πρησμένα και επώδυνα ούλα

Όταν ένα δόντι πονάει κατά τη διάρκεια της εγκυμοσύνης, τι να κάνει

Η εμφάνιση του πονόδοντου σε έγκυες γυναίκες δεν είναι ασυνήθιστη, προκαλείται από μια αλλαγή στο γενικό ορμονικό υπόβαθρο, με αποτέλεσμα αλλαγές στην κυκλοφορία του αίματος των βλεννογόνων και των ιστών του δέρματος, που προκαλεί φλεγμονώδεις διεργασίες στα ούλα, καθιστά τα δόντια πιο ευάλωτα. Η αιτία του πόνου μπορεί να είναι η έλλειψη ασβεστίου, ειδικά στο τρίτο τρίμηνο, όταν ο σκελετός του εμβρύου αναπτύσσεται ενεργά. Κατά τη διάρκεια αυτής της περιόδου, η ακεραιότητα του σμάλτου των δοντιών μπορεί να είναι μειωμένη και μπορεί να εμφανιστεί φθορά των δοντιών.

Οδοντιατρική θεραπεία κατά τη διάρκεια της εγκυμοσύνης

Μια έγκυος γυναίκα, στα πρώτα συμπτώματα του πόνου, αναρωτιέται αμέσως: ένα δόντι πόνο τι να κάνει, πώς να μην βλάψει ένα παιδί; Εάν είναι δυνατόν, πρέπει να πάτε αμέσως στο ραντεβού του οδοντιάτρου. Αν η επίσκεψη έχει αναβληθεί για οποιονδήποτε λόγο, τότε πρέπει να ανακουφίσετε τον πόνο στο σπίτι. Σε αυτή την περίπτωση, χρειάζεστε:

  • Καθαρίστε σχολαστικά τη στοματική κοιλότητα των υπολειμμάτων τροφίμων με το βούρτσισμα των δοντιών σας και το ξέπλυμα με ζεστό νερό (ή διάλυμα σόδας).
  • Κάνετε μια συμπίεση από μια τρίχα που υγραίνεται με σταγόνες δοντιών ή βάλτε πρόπολη γύρω από την εστία του πόνου. Το καρύκευμα της κουζίνας - τα γαρύφαλλα, τα βότανα διαλύματα ξεπλύματος θα βοηθήσουν επίσης να ανακουφίσει τον πόνο.
  • Για άδικο πόνο, πάρτε ένα αναλγητικό: no-shpa, μισό δισκίο tempalgin, σε ακραίες περιπτώσεις, κετάνια.

Μην ανησυχείτε, πηγαίνοντας στον οδοντίατρο, στη σύγχρονη ιατρική υπάρχουν φάρμακα που είναι εντελώς ακίνδυνα για το έμβρυο, τα οποία θα βοηθήσουν τα παυσίπονα κατά τη διάρκεια της θεραπείας. Εάν είναι απαραίτητο, πάρτε μια ακτινογραφία: μια μελλοντική ποδιά τοποθετείται στην μέλλουσα μητέρα, η οποία εμποδίζει τη διείσδυση των ακτίνων. Μπορείτε να βρείτε μερικές απαντήσεις σχετικά με έγκυο πονόδοντο παρακολουθώντας το βίντεο:

τίτλο Οδοντιατρική για εγκύους

Πώς να απαλλαγείτε από τον πονόδοντο στο σπίτι

Η μόνη σωστή λύση για οδοντιατρικές παθήσεις οποιουδήποτε είδους θα είναι να επικοινωνήσετε με μια οδοντιατρική κλινική για επαγγελματική βοήθεια. Αλλά δεν είναι πάντα δυνατό να πάτε αμέσως στο γιατρό. Για παράδειγμα, εάν ένας πονόδοντος σας πιάσει στο δρόμο, ενώ χαλαρώνετε έξω από την πόλη στη φύση ή αργά τη νύχτα, είναι σημαντικό να γνωρίζετε και να θυμάστε πώς να αντιμετωπίσετε τον πόνο στο σπίτι και να υπομείνετε μια επίσκεψη στον οδοντίατρο.

Ξεπλύνετε

Πονόδοντο τι να κάνει; Δημοφιλή και αποτελεσματικά Ένας τρόπος για να ανακουφίσει τον πονόδοντο στο σπίτι - ξεπλύνετε. Μην ξεχνάτε ότι σε περίπτωση διόγκωσης των ούλων, ξεπλύνετε το στόμα με νερό σε θερμοκρασία δωματίου. Εργαλεία που χρησιμοποιούνται για ξέπλυμα:

  • Ένα μίγμα ζεστού νερού και σόδα σε αναλογία 1 κουταλάκι του γλυκού σόδα σε ένα ποτήρι ζεστό νερό. Ξεπλύνετε το στόμα σας πολλές φορές την ημέρα.
  • Τα αποθέματα βοτάνων βοηθούν καλά: το χαμομήλι έχει αντισηπτικές ιδιότητες. ένα αφέψημα από φασκόμηλο, βαλεριανό γαρίφαλο, ρίγανη θα βοηθήσει να αναισθητοποιήσει. Για να προετοιμάσετε ένα αφέψημα ρίγανης, είναι απαραίτητο να ρίχνουμε ζεστό νερό πάνω από το γρασίδι σε αναλογία 1:10 και αφήστε το να ετοιμάσει.
  • Για να προετοιμάσετε ένα αφέψημα φασκόμηλου, χρειάζεστε 1 κουταλιά της σούπας. ρίξτε μια κουταλιά βότανα με βραστό νερό, αφεθείτε να μαγειρέψετε για 15 λεπτά, στη συνέχεια στέλεχος και ξεπλύνετε το στόμα σας.

Ξεβγάζοντας τα δόντια

Παυσίπονα

Σε οξύ πόνο, που δεν υπάρχει δύναμη να υπομείνει, τα φάρμακα για τον πόνο θα βοηθήσουν. Λαμβάνοντας χάπια, πρώτα απ 'όλα, θα πρέπει να εξοικειωθείτε με τις οδηγίες, τις αντενδείξεις. Μην υπερβαίνετε την επιτρεπόμενη δόση. Όταν παίρνετε το φάρμακο, δεν συνιστάται να πίνετε αλκοόλ.

Αυτά τα φάρμακα περιλαμβάνουν:

  • Αναλγην (όχι περισσότερο από 4 δισκία ημερησίως). Το φάρμακο αντενδείκνυται κατά τη διάρκεια της εγκυμοσύνης και της γαλουχίας, με ασθένειες των νεφρών, ήπαρ.
  • Νουροφαίνη Αντενδείκνυται σε πεπτικό έλκος, ακοή και όραση.
  • Ο Ketanov είναι ένα ισχυρό εργαλείο που συνιστάται να λαμβάνεται μόνο με τη συμβουλή ενός γιατρού.
  • No-shpa, solpadein, tempalgin, baralgin και άλλοι.

Ανακούφιση πόνου για πονόδοντο

Λαϊκές θεραπείες

Παραδοσιακή ιατρική για πονόδοντο μπορεί να φαίνεται ασυνήθιστη και αστεία, αλλά σύμφωνα με ισχυρισμούς, είναι πολύ αποτελεσματικές.Θυμηθείτε! Ανεξάρτητα από το πόσο καλές λαϊκές θεραπείες είναι, μόνο προσωρινά ανακουφίσει τον πόνο και ανακουφίσει την κατάσταση, προκειμένου να αφαιρέσετε την αιτία αυτού του πόνου, θα πρέπει σίγουρα να συμβουλευτείτε έναν οδοντίατρο.

Πονόδοντος τι να κάνει, πώς μπορεί να βοηθήσει - παραδοσιακή ιατρική:

  • Υπάρχει ένα εργαλείο που χρησιμοποιείται το καλοκαίρι: βάλτε την πλαγιά ρίζα στο αυτί από την πλευρά όπου είναι ο πόνος.
  • Εξασφαλίστε αποτελεσματικά την οδυνηρή αίσθηση της πρόπολης, η οποία πρέπει να εφαρμοστεί σε ένα άρρωστο δόντι. Εάν υπάρχει ένα βάμμα πρόπολης - ξεπλύνετε το στόμα σας μαζί του.
  • Θα βοηθήσει στην εξουδετέρωση του πόνου - ένα ψιλοκομμένο ραβδί κανέλας αναμεμειγμένο με μια σταγόνα μελιού. Το μείγμα εφαρμόζεται στην πηγή του πόνου.
  • Το τεμαχισμένο κρεμμύδι που αναμιγνύεται με αλάτι βοηθά πολύ. Το μείγμα εφαρμόζεται στο επίκεντρο του πόνου.
  • Τα αιθέρια έλαια (λάδι από σκελίδες, λεβάντα, μέντα) θεωρούνται αποτελεσματικά παυσίπονα. 1-2 σταγόνες στο τρίχωμα και προσκολλάται στο σημείο της δυσφορίας της στοματικής κοιλότητας.
  • Βοήθεια για την ανακούφιση της δυσφορίας θα βοηθήσει το σκόρδο, μια φέτα από την οποία εφαρμόζεται στον καρπό (στο σημείο όπου αισθάνεται ο παλμός), δεξιά, αν το δόντι πονάει στην αριστερή πλευρά και αντίστροφα.

Μάθετε τι είναι ένα στοματικό πότισμα και γιατί είναι απαραίτητο.

Λαϊκές θεραπείες για πονόδοντο

Βίντεο

"Πονόδοντο τι να κάνει;" Είναι μια ερώτηση που τουλάχιστον μία φορά σε μια ζωή ο καθένας έχει ζητήσει. Είναι αδύνατο και αφόρητο να ανεχτούμε έναν τέτοιο πόνο και να ανακαλύψουμε τρόπους και μεθόδους για το πώς να το αντιμετωπίσουμε ή να το αποτρέψουμε να παρακολουθήσουμε το βίντεο:

τίτλο Πώς να απαλλαγείτε από πονόδοντο: λόγοι, πώς να θεραπεύσετε

Προσοχή! Οι πληροφορίες που παρουσιάζονται στο άρθρο είναι μόνο για οδηγίες. Τα υλικά του αντικειμένου δεν απαιτούν ανεξάρτητη θεραπεία. Μόνο ένας ειδικευμένος γιατρός μπορεί να κάνει μια διάγνωση και να δώσει συστάσεις για θεραπεία με βάση τα μεμονωμένα χαρακτηριστικά ενός συγκεκριμένου ασθενούς.
Βρήκατε λάθος στο κείμενο; Επιλέξτε το, πατήστε Ctrl + Enter και θα το διορθώσουμε!

Υγεία

Μαγειρική

Ομορφιά