¿Dónde está el ilion en el cuerpo humano? La estructura, las causas del dolor y el tratamiento de las fracturas.
Una parte importante del esqueleto humano es el ilion derecho e izquierdo, que se encuentran en las partes superiores del hueso pélvico. Esta es una estructura emparejada, y sus dos componentes son simétricos: tienen el mismo tamaño y forma. Al estudiar el cuerpo del ilion en detalle, es importante comprender que en caso de fractura, se produce una hemorragia interna masiva y aparece un hematoma extenso en la piel. Una patología característica es más característica de los niños, requiere la participación médica inmediata.
¿Qué es el ilion?
Si estudia la anatomía humana, debe aclarar que este es uno de los huesos más grandes del esqueleto humano: la articulación de la cadera. Por su diseño, el hueso ilíaco está emparejado, masivo, simétrico. El alivio de este elemento del esqueleto está determinado por los músculos; constructivamente, hay varios departamentos característicos de varios tamaños y densidades.

Donde esta
El íleon se encuentra en las partes superiores del hueso pélvico, forma parte del acetábulo y se considera emparejado. Este llamado soporte esquelético es el borde superior de la región ilíaca. El hueso ilíaco forma la sección pélvica del esqueleto humano y, si se desea, este elemento estructural se puede sentir mediante el método de palpación generalmente accesible.
Edificio
Los segmentos derecho e izquierdo en ambos lados están unidos al sacro, estructuralmente tienen la parte superior redondeada. La parte inferior está notablemente engrosada y acortada, y en medicina se llama cuerpo del hueso ileal, que junto con los elementos púbico y ciático forman la parte superior del acetábulo. El fémur y el sacro están unidos al cuerpo.
En la parte superior del hueso del ilion hay una expansión, que solo forma el ala del ilion. Esta es una estructura más frágil. Su borde curvo externo se llama cresta ilíaca, tiene la forma de una protuberancia y debajo está la muesca ciática.La parte cóncava del ala forma la fosa ilíaca, la convexa forma la superficie de los glúteos, y en la región posterior en el interior está el sitio articular del sacro y el hueso pélvico, que se llama superficie en forma de oreja.
Ilium duele
Dado que la estructura está sujeta a una compresión sistemática, abierta a impactos directos, los médicos no niegan el cuadro clínico frecuente de fracturas en pacientes de diferentes categorías de edad. Si la tuberosidad característica comienza a doler, debe consultar inmediatamente a un especialista, de manera oportuna para determinar la etiología del proceso patológico. Existe un síndrome de dolor agudo no solo debido a una fractura de las estructuras óseas, sino que los médicos también se centran en otros factores patógenos. Restaurar la integridad de los tejidos dañados es un proceso largo.
A la izquierda
Si el segmento izquierdo duele en ausencia de una fractura, es posible que el área especificada explique una mayor actividad física. Tal distribución desigual de "pesos" a lo largo del tiempo puede conducir a la dislocación o fractura y causar que un paciente quede discapacitado. Otras causas no menos peligrosas de una violación característica del esqueleto humano pueden ser las siguientes:
- tumores malignos;
- osteomielitis;
- tuberculosis
- enfermedad metabólica ósea;
- trastorno congénito de síntesis de colágeno;
- cambios en el cuerpo relacionados con la edad;
- Enfermedad de Paget;
- reposo en cama largo;
- Enfermedades crónicas de la sangre.
A la derecha
Con dolor agudo en el lado derecho del hueso ileal, también estamos hablando de una patología extensa, que también puede causar otros síntomas, por ejemplo, disminución de la movilidad de las extremidades, desplazamiento de las estructuras óseas del área de la articulación de la cadera con más molestias, progreso seguro del paciente hacia la discapacidad. Las razones por las que la estructura derecha una vez fuerte puede doler son:
- enfermedades de la sangre, por ejemplo, leucemia, daño en la médula ósea, mieloma;
- deficiencia mineral, como opción - vitamina D;
- consecuencia de una lesión;
- uso prolongado de medicamentos: hormonas sintéticas;
- secreción excesiva de cortisol;
- vejez del paciente;
- deportes profesionales;
- discos herniados;
- osteocondrosis;
- oncología
Fractura ilíaca
Una de las razones que pueden causar dolor en un área característica es una fractura. Esto es una consecuencia de la compresión anormal de las estructuras óseas, el resultado de un golpe directo. En dicho cuadro clínico, se produce una hemorragia a gran escala, aparece un hematoma extenso de un tinte azul en la piel. Hay una violación de las funciones del sistema musculoesquelético, los músculos de la pared anterior del peritoneo están patológicamente tensos. Otros signos de una dolencia característica se presentan a continuación:
- dolor agudo al intentar mover una pierna;
- violación de las funciones de la pierna derecha o izquierda, dependiendo de la localización, el foco de la patología;
- hinchazón severa de tejidos dañados, hinchazón específica.

Si sospecha una fractura, no se recomienda realizar ninguna actividad en el hogar. El paciente necesita urgentemente ser llevado al hospital sobre su espalda, mientras que se debe colocar un cojín debajo de las rodillas a una altura de 15-20 cm. Si no hay desplazamiento, se le administra anestesia local (se inyecta una aguja con anestésico en el área afectada), se coloca una férula de fijación especial en la pierna y se recomienda por las próximas 3-4 semanas reposo en cama. Con desplazamiento: anestesia general y cirugía.
Cáncer ilíaco
Dicha enfermedad solo se puede determinar después de un estudio exhaustivo.El paciente debe ser observado en el hospital, pero los médicos realizan una serie de procedimientos para hacer un diagnóstico final. Entre estos se encuentran resonancia magnética, tomografía computarizada, rayos X, análisis de sangre general y bioquímico, biopsia, tomografía por emisión de positrones. El paciente se queja de dolor constante en el hueso ileal derecho o izquierdo, que solo aumenta con el movimiento. Con una lesión tan extensa, se requiere un diagnóstico y tratamiento inmediatos, el resultado clínico es desfavorable.
Trepanobiopsia ilíaca
Si una persona tiene una región característica que duele durante un mes, se necesita la ayuda de los médicos, y es mejor comenzar con un examen completo. Si se sospecha oncología, debe usarse trepanobiopsia del ilion, lo que confirma la presencia de una neoplasia maligna. El método de diagnóstico invasivo especificado se utiliza si, después de una punción, no fue posible obtener una cantidad suficiente de médula ósea para examinar el predominio de las células cancerosas.
Para la recolección de material biológico, se utiliza una aguja delgada con un diámetro de hasta 3 mm, que al final tiene una forma espiral, que permite cortar el tejido óseo. La punción se realiza en el área de la cresta ilíaca, desinfectada previamente con una composición de alcohol y yodo. El procedimiento se lleva a cabo bajo anestesia local, y los médicos específicamente para este propósito usan una solución de novocaína al 2%. Después de la recolección de material biológico, se puede formar un vacío, que pronto se restaurará debido a la regeneración de los tejidos dañados.

Tratamiento
Al saber dónde se encuentra la región ilíaca, los médicos pueden sugerir un diagnóstico, pero finalmente pueden hacerlo después de un examen exhaustivo. El tratamiento se prescribe según la naturaleza de la patología, teniendo en cuenta las características individuales de cada organismo. Si el foco de la patología es la elevación ilíaco-púbica y su fractura, se le muestra anestesia local y hospitalización urgente. Con el desplazamiento de las estructuras óseas dañadas, el pronóstico es menos favorable, se requiere intervención quirúrgica inmediata: reposicionamiento (comparación de fragmentos).
Las características de cuidados intensivos para fracturas ilíacas con o sin desplazamiento incluyen un largo período de rehabilitación. Para el paciente, este es un reposo en cama estricto que dura al menos 45 días, un curso de masaje, procedimientos fisioterapéuticos, ejercicios de fisioterapia. Si no se trata de una violación de la integridad del hueso y las lesiones, el régimen de tratamiento depende completamente del diagnóstico realizado por el médico. Las medidas terapéuticas pueden ser las siguientes:
- En caso de enfermedades de la sangre y oncología progresiva, está indicada una intervención quirúrgica urgente, luego un curso de quimioterapia;
- Con un mayor esfuerzo físico, los atletas profesionales también necesitan reducir la actividad excesiva, someterse a un curso de masaje, fisioterapia y ejercicios de fisioterapia.
- En caso de daño a las articulaciones y al tejido conectivo, se requiere un curso de preparaciones regenerativas, terapia de ejercicios, electroforesis, y con una hernia intervertebral, se indica una operación para extirparla.
- Con una deficiencia de minerales, cambios en el hueso relacionados con la edad, está indicado el tratamiento sintomático con el uso obligatorio de complejos multivitamínicos.
- Si la causa de la patología es el uso prolongado de medicamentos hormonales, se requiere una corrección inmediata de la dosis prescrita, terapia de reemplazo.
En cualquier caso, el hueso ilion necesita una rehabilitación oportuna, por lo que no debe soportar el dolor de una zona característica, incluso si es de naturaleza opaca o se produce periódicamente. Es necesario ser examinado de inmediato, para determinar la naturaleza de la patología prevaleciente, eliminar el factor provocador y someterse a un curso completo de rehabilitación con la participación obligatoria de procedimientos fisioterapéuticos.
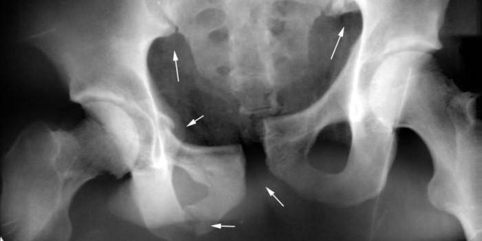
Foto de Ilia




Video
Esqueleto de la extremidad inferior