Amigdalitis micótica en un niño y un adulto: causas, primeros signos y manifestaciones, tratamiento
La inflamación de las amígdalas causada por hongos del género Candida se llama amigdalitis fúngica o amigdalitis fúngica: tiene síntomas específicos y requiere un tratamiento diferente al tratamiento de la amigdalitis bacteriana. Las lesiones micóticas de la laringe representan un peligro para el cuerpo y, en ausencia de un tratamiento adecuado, conducen a complicaciones.
¿Qué es la amigdalitis micótica?
El agente causante de la amigdalitis micótica es un representante integral de la microflora normal del cuerpo de una persona sana: el hongo candida, tipo levadura. En una pequeña cantidad, no representa un peligro para la salud, pero si el sistema inmunitario ya no controla el crecimiento de sus colonias, comienza a multiplicarse rápidamente y afecta a los órganos internos. Las enfermedades causadas por infecciones fúngicas, donde el principal patógeno pertenece al género de la levadura, se llaman candidiasis. La amigdalitis es una consecuencia de una simbiosis peligrosa de hongos y bacterias patógenas de cocos.
Síntomas
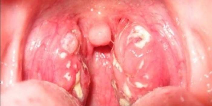
En la etapa inicial del desarrollo de la enfermedad, los síntomas de la amigdalitis fúngica se expresan de manera deficiente, lo que permite que el parásito se propague a una gran área de la cavidad oral. La enfermedad no se acompaña de dolor agudo, por lo tanto, a menudo se observan signos obvios de la presencia de hongos en las etapas tardías de la enfermedad. Los síntomas más típicos de la amigdalitis fúngica son:
- debilidad general, malestar general;
- la aparición de mal aliento;
- la presencia de manchas blancas o verde pálido en las amígdalas;
- incomodidad, dolor de garganta;
- la aparición de placa en las glándulas, laringe, lengua;
- Un ligero cambio en el tamaño de los ganglios linfáticos.

Hongo en las amígdalas en un niño
El sistema inmune de los recién nacidos y los niños pequeños está poco desarrollado, por lo tanto, este grupo es más susceptible a la candidiasis.El diagnóstico en las primeras etapas se complica por el hecho de que el hongo en las amígdalas en un niño puede reproducirse asintomáticamente sin revelar su presencia. Las características de la manifestación de faringomicosis en niños incluyen los siguientes fenómenos:
- la placa fúngica en las amígdalas en un niño se determina solo visualmente cuando se examina la cavidad oral;
- los recién nacidos transmiten el hongo a la madre durante la lactancia (que se manifiesta en forma de enrojecimiento de la piel de los pezones);
- el niño se pone de mal humor;
- La placa blanca o amarilla-blanca fácilmente removida aparece en las amígdalas, las mejillas, la lengua y el paladar (la extracción de la placa es fácil, por lo tanto, los padres la perciben como residuos de leche después de la alimentación)
Razones
La amigdalitis por Candida ocurre en un contexto de disminución de la inmunidad después de una enfermedad viral o infecciosa. El debilitamiento de las defensas del cuerpo contribuye a la penetración sin obstáculos de los microorganismos parásitos en su entorno favorable. La amigdalicosis en un niño puede indicar que uno de los miembros de la familia con los que el bebé está constantemente en contacto es portador de hongos, aunque no hay signos que lo indiquen. Las causas del daño de la mucosa por hongos son:
- disbiosis general;
- procesos patológicos crónicos que ocurren en la membrana mucosa de la faringe;
- violación de los principios de una nutrición adecuada, dietas estrictas;
- lesiones infecciosas de la mucosa o las amígdalas;
- tratamiento antibiótico a largo plazo;
- trastornos de la glándula endocrina.
Posibles complicaciones
Si la propagación del hongo no se detiene a tiempo, la amigdalitis toma una forma crónica, que se caracteriza por un cambio constante en la remisión y la inflamación aguda. Si no se trata o se trata incorrectamente, la amigdalitis micótica puede convertirse en una amenaza real para la vida del paciente. Las complicaciones que pueden resultar de la propagación incontrolada de hongos incluyen:
- procesos inflamatorios del músculo cardíaco, riñones;
- violaciones del hígado;
- destrucción de las fibras de colágeno de las articulaciones;
- supuración de los ganglios linfáticos;
- candidiasis esofágica.
Diagnósticos
La aparición de síntomas de amigdalicosis requiere contactar a un otorrinolaringólogo para el diagnóstico. La definición de la enfermedad se produce a través de un examen inicial y la recolección de raspados de microflora patógena de las amígdalas y la laringe. El estudio de la placa para determinar la micosis se realiza mediante inoculación y examen microscópico. Las pruebas realizadas ayudarán a identificar el agente causal de la enfermedad y elegir un agente antifúngico eficaz.
Tratamiento de la amigdalitis micótica
Para detener la propagación de hongos en todo el cuerpo debe estar al comienzo de la enfermedad, a fin de evitar daños a los tejidos y órganos internos por el parásito. La amigdalitis por candidiasis implica un tratamiento integral que incluye el tratamiento local y la administración de medicamentos antimicóticos, inmunoestimulantes y medicamentos antibacterianos. Junto con la terapia con medicamentos, se recomienda utilizar métodos de tratamiento fisioterapéuticos, que incluyen la irradiación de las áreas afectadas con radiación ultravioleta.
Drogas antimicóticas
La base para el tratamiento de la amigdalitis fúngica es el uso de medicamentos antimicóticos que destruyen a propósito las células de los microorganismos parásitos y evitan su reproducción. La candidiasis es sensible a los medicamentos nistatina y fluconazol, pero estos medicamentos son alérgenos fuertes y, por ser propensos a reacciones alérgicas, el médico los reemplaza con análogos.
Nistatina
La efectividad del medicamento Nystatin en el tratamiento de la amigdalitis micótica depende del método de toma del medicamento.La administración oral de tabletas no es práctica debido al hecho de que la sustancia activa no ingresa al torrente sanguíneo desde el tracto digestivo y, por lo tanto, no puede afectar al hongo:
- característico: antibiótico antifúngico de la serie polieno, muestra alta actividad contra hongos similares a levaduras;
- Método de tratamiento: 1 tableta 3-4 veces al día durante 10-14 días, el medicamento debe ser absorbido, no ingerido;
- ventajas: baja toxicidad;
- Contras: mala absorción en los intestinos.

Fluconazol para angina
El principal principio activo fluconazol es parte de medicamentos como Diflazone, Diflucan, Mikomax, Fluconazole, etc. Todos estos fondos tienen un efecto antifúngico sistémico y se prescriben después de identificar la causa de la enfermedad. Con la amigdalitis micótica, se recomienda fluconazol si el tratamiento local no muestra una dinámica positiva:
- característico: antimicóticos sintéticos del grupo triazol, efectivos en el tratamiento de micosis de la piel, uñas, infecciones por cándida;
- método de tratamiento: 1-3 tabletas por día, curso de tratamiento 1-2 semanas;
- ventajas: alta eficiencia;
- Contras: no se puede combinar con otras drogas.
Tomar antibióticos
La causa de la infección por hongos puede ser la ingesta de antibióticos sistémicos, por lo tanto, para deshacerse de la candidiasis, debe cancelar su ingesta o ajustar la dosis. Sin embargo, para reducir la temperatura que ocurre en la forma aguda de amigdalitis, lo que indica la presencia de focos de infección, se prescriben agentes antibacterianos locales:
- nombre: Levorin;
- característico: un antibiótico que tiene una estructura de polieno tiene un alto tropismo con respecto al citoplasma de la membrana fúngica;
- aplicación: enjuague la cavidad oral con Levorin tres veces al día;
- ventajas: baja toxicidad;
- Contras: tiene un efecto localmente irritante.
Las formas graves de faringomicosis asociadas con enfermedades concomitantes, como estomatitis, infecciones cocales, requieren tratamiento con antibióticos macrólidos:
- nombre: claritromicina;
- característico: agente antimicrobiano de acción sistémica, eficaz en el tratamiento de infecciones del tracto respiratorio superior e inferior;
- aplicación: 1 tableta por vía oral, cada 12 horas durante 5 días;
- ventajas: alta eficiencia;
- Contras: hay contraindicaciones.

Tratamiento local
La forma más simple pero efectiva de combatir la amigdalitis es enjuagar con una solución de refresco en la cavidad oral. El ambiente alcalino es desfavorable para los parásitos y con la ayuda de la alcalinización, se puede lograr una reducción significativa en las colonias de hongos. El tratamiento de las áreas afectadas con una solución de Iodinol o Lugol tiene un efecto bactericida y antimicrobiano, evitando la propagación de la infección por hongos en el cuerpo.
- nombre: Iodinol;
- característico: antiséptico, afecta estreptococos, estafilococos, Escherichia coli;
- aplicación: tratar áreas afectadas por el hongo 3-4 veces al día;
- ventajas: alta eficiencia;
- Contras: no apto para el tratamiento de niños menores de 5 años.
Tratamiento de la amigdalitis micótica en niños.
Los preparativos para el tratamiento de la amigdalitis micótica en un niño deben ser recetados por un pediatra después de un diagnóstico. El principio del tratamiento de la faringomicosis para niños es similar al de los adultos, la diferencia está en la dosis de los medicamentos recetados. Los enjuagues de la cavidad oral deben llevarse a cabo sin falta durante todo el curso del tratamiento. Para eliminar el hongo, se puede usar Nystatin y para aliviar los síntomas desagradables de la amigdalitis: Miramistin o Hexoral:
- nombre: Miramistin;
- característico: antiséptico catiónico, tiene un efecto destructivo en las membranas de microbios y bacterias;
- aplicación: enjuague la cavidad bucal con solución de Miramistin hasta 6 veces al día;
- ventajas: falta de efectos secundarios;
- Contras: alto precio.
Un antiséptico eficaz para eliminar los síntomas de una infección por hongos es Hexoral:
- nombre: hexoral;
- característica: agente antimicrobiano de amplio espectro,
- Método de administración: enjuague la cavidad oral con solución sin diluir dos veces al día;
- ventajas: pronunciado efecto analgésico;
- Contras: ineficaz en el tratamiento de la amigdalitis aguda.

Métodos populares
El tratamiento antimicótico se puede complementar con recetas de medicina tradicional. Los medios efectivos en la lucha contra la amigdalitis son hacer gárgaras con decocciones de hierbas, inhalación con aceites esenciales y tomar un medicamento homeopático a base de miel y pimiento rojo. Para enjuagar, se recomienda usar una mezcla de manzanilla, caléndula y salvia o infusión de propóleos. Los procedimientos deben llevarse a cabo 5-6 veces al día hasta que el hongo desaparezca por completo. Se pueden agregar unas gotas de aceite de abeto, eucalipto al inhalador; esto ayudará a eliminar los procesos inflamatorios.
Prevención
Para prevenir la aparición del hongo, es necesario hacer los máximos esfuerzos para restaurar la inmunidad, especialmente después de enfermedades infecciosas o virales. La nutrición debe ser equilibrada, en la dieta diaria es necesario incluir todas las vitaminas necesarias. Las medidas de prevención de la amigdalitis incluyen:
- el uso de productos lácteos;
- ingesta de complejos que contienen vitaminas;
- rechazo de los malos hábitos;
- tratamiento oportuno de procesos inflamatorios, lesiones infecciosas.
Foto candida dolor de garganta

Video
Amigdalitis en niños. Síntomas Tratamiento.