



אם אתה מסתכל ישירות אל פניו של האדם, אתה יכול לראות שהעפעף העליון של העין הימנית אינו סימטרי ביחס לשמאל. כאשר יש לאנשים ...

חצבת היא מחלה זיהומית מדבקת שפוגעת לעתים קרובות בילדים. זה מלווה בסיבוכים רבים המאיימים על המצב הכללי ...

לאחר ההפריה, כל האיברים והמערכות בגוף הנשי עוברים שינויים גדולים. טרנספורמציות פיזיולוגיות כבר מורגשות ...



מחלה נוירולוגית קשה זו ידועה גם כנושמת של המוח. השם הפופולרי משקף במדויק את מהות המחלה: גודש ב ...

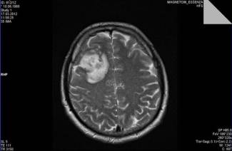
הדמיית תהודה מגנטית היא הכלי החזק ביותר למחקר אבחנות, המאפשר לך להשיג את השלמות והמדויקות ביותר ...







טיפול בריאותי חשוב מאוד לכל אדם, מכיוון שלרווחה יש השפעה חזקה הן על הביצועים והן על מצב הרוח. אם הצטננת או סובלת מהצטננות, אתה יכול להשתמש הן בתרופות מודרניות והן בתרופות עממיות יעילות שנבדקו בזמן לטיפול. להתמודדות עם מחלות שונות, העצות הפשוטות אך היעילות ביותר יעזרו לכם להחזיר את הבריאות במהירות רבה. לא תמיד יש סיכוי לפנות לייעוץ רפואי, אך הסימנים המופיעים יעזרו לכם לזהות במהירות מחלה מסוימת, שלאחריה תוכלו להתחיל בטיפול.