Czym są infekcje pierwotniakowe - patogeny i metody diagnostyczne, leczenie i zapobieganie
Proste drobnoustroje jednokomórkowe mogą wyrządzić człowiekowi wielką krzywdę, zabić układ odpornościowy i uczynić go podatnym na typowe choroby. Infekcje pierwotniakowe wywołane przez pasożyty mogą powodować poważne (nawet śmiertelne) choroby po spożyciu. Na świecie istnieje wiele rodzajów drobnoustrojów chorobotwórczych, ale nie wszystkie są równie niebezpieczne.
Czym są infekcje pierwotniakowe
W procesie życia większość drobnoustrojów wykorzystuje substancje organiczne znajdujące się w ciałach ludzi, zwierząt domowych. Tylko 50 gatunków pasożytów stanowi zagrożenie dla zdrowia ludzi. Infekcje pierwotniakowe to infekcje pasożytnicze, które mogą atakować zdrowe narządy i tkanki organizmu. Niektóre mikroorganizmy nie wyrządzają szkody zdrowemu układowi odpornościowemu, ale dla pacjentów z wirusem niedoboru odporności może być wyrokiem śmierci. Obraz kliniczny choroby zależy od rodzaju pierwotniaków, diagnozy i wyboru metody leczenia.
Gdzie mogę zarazić się pasożytami z klasy pierwotniaków (główne szlaki przedostania się patogenu do organizmu ludzkiego):
- stosowanie źle umytej żywności lub nieoczyszczonej wody;
- naruszenie zasad higieny;
- kontakt z chorymi zwierzętami (nawet bez oznak ostrej choroby);
- ukąszenia owadów (przenoszą infekcje);
- narządy płciowe.
Czynnik sprawczy infekcji pierwotniakowej
Naukowcy rozróżniają jednokomórkowe mikroorganizmy na osobną klasę „pierwotniaków”. Czynnikami sprawczymi infekcji pierwotniakowej mogą być tylko te mikroorganizmy, które są przystosowane do pasożytniczego stylu życia. Ich rozmnażanie nie potrzebuje ścieżki seksualnej, są w stanie szybko zwiększyć swoją liczbę w ciele przez podział.Pasożyty składają się z jednej komórki, która zawiera wszystko, co niezbędne do życia i reprodukcji. Każdy może stać się ofiarą choroby pierwotniakowej, ponieważ układ odpornościowy organizmu nie zawsze może poradzić sobie z infekcją.
Czynnik sprawczy chorób w ludzkim ciele przechodzi pewne etapy życia. Cykl życia pasożytów składa się z 3 etapów:
- etap infekcji u ludzi (patogen dostaje się do organizmu);
- rozmnażanie, w wyniku którego powstaje duża liczba pasożytów;
- torbiele układające pasożyty i usuwające je z organizmu z kałem.
Choroby wywołane przez pierwotniaki
Pasożyty, dostające się do ludzkiego ciała, powodują zatrucie i niszczą układ odpornościowy. Niektóre choroby wywoływane przez pierwotniaki są szeroko rozpowszechnione w krajach o gorącym klimacie i złych warunkach sanitarnych. Takie choroby pierwotniakowe są znane w naszym regionie: lamblioza, toksoplazmoza. Choroby wywołane przez pierwotniaki mogą przebiegać bezobjawowo, ale w niektórych przypadkach (nieprawidłowa interpretacja wyników badań, złej jakości badanie objawów lub stracony czas) mogą prowadzić do śmierci.
Na podstawie znaków zewnętrznych naukowcy wyróżniają kilka rodzajów pasożytów jednokomórkowych (pierwotniaków), które mogą powodować choroby pierwotniakowe:
- Korzenie - reprezentatywna ameba;
- wici - niebezpieczny pasożyt Leishmanii, trypanosomy (wywołują śpiącą chorobę, tolerowaną przez muchę Tsetse);
- rzęski rzęskowe - czynnik sprawczy balantidii;
- sporoviki - przedstawiciel malarialnego osocza.
Objawy infekcji pierwotniakowych
Objawy chorób pierwotniakowych różnią się w zależności od rodzaju patogenu i układu odpornościowego organizmu, ale są takie, które są charakterystyczne dla większości chorób. Objawy infekcji pierwotniakowej mogą obejmować biegunkę, wymioty i zaburzenia żołądkowo-jelitowe, osłabienie organizmu, gorączkę, senność lub zapalenie błon śluzowych. Jeśli te objawy zostaną znalezione, musisz przejść badania (badania krwi, kału). Choroby pierwotniakowe mogą przebiegać bezobjawowo i mogą przybrać postać ostrą lub przewlekłą (nawracającą).
Amebiaza
Inne nazwy tej pierwotniakowej choroby to amebowa czerwonka lub „choroba brudnych rąk”. Amebiaza często przebiega bezobjawowo, ale zdarzają się sytuacje, gdy jej objawy są mylone z banalnym zapaleniem wyrostka robaczkowego, dlatego ważna jest wiarygodność wyników badań laboratoryjnych i diagnostyki. Prawdopodobieństwo zakażenia tym pasożytem jest wyższe w gorącym klimacie, w krajach o niskim poziomie warunków sanitarnych. Czynnik sprawczy przedostaje się do organizmu z zanieczyszczoną żywnością. Okres inkubacji trwa od 1 tygodnia do 2-3 miesięcy.
Amoeba dostająca się do ludzkiego ciała powoduje zaburzenia w przewodzie pokarmowym. Objawy infekcji:
- częste wypróżnienia;
- kał z zanieczyszczeniami krwi, śluzu;
- gorączka
- wzdęcia, wzdęcia, biegunka;
- ból pleców, żołądka;
- zaparcia
Giardiasis
Często psy, koty i zwierzęta gospodarskie stają się pośrednimi gospodarzami i nosicielami Giardii. Zakażenie pierwotniakami odbywa się drogą kałowo-ustną. W większości przypadków choroba charakteryzuje się przebiegiem bezobjawowym, ale może również wystąpić w ostrej postaci. Giardiasis jest wywoływany przez pierwotniaki jelitowe, dlatego wpływają one głównie na przewód pokarmowy. Szczególnie często podczas infekcji pojawiają się następujące objawy: brak apetytu, wzdęcia, wzdęcia, luźne stolce, zgaga, biegunka i biegunka, ból brzucha.
Malaria
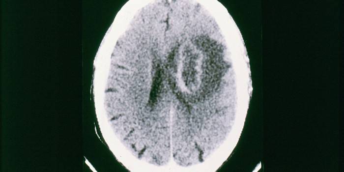
Jedną z najniebezpieczniejszych chorób powodowanych przez pierwotniaki jest malaria. Zakażenie następuje przez kontakt ze śliną komara, objawy pojawiają się tydzień po zakażeniu.Malaria często zaczyna się od ciężkiego przebiegu, ze wzrostem temperatury do 40-41 stopni, silnym bólem głowy, zaburzeniami rytmu serca, dusznością, niedokrwistością. Po zakończeniu ataku osoba obficie się poci, temperatura spada, stan poprawia się do następnego nawrotu. Nieleczona i leczona choroba może prowadzić do malarii mózgowej i śmierci.
Różne rodzaje patogenów malarii różnią się objawami i czasem trwania wywołanej choroby pierwotniakowej:
- Plasmodium falciparum - czynnik sprawczy malarii tropikalnej (wysoka śmiertelność);
- R. vivax (vivax malaria) - czynnik sprawczy choroby 3-dniowa malaria (drgawki po 40-45 godzinach);
- R. ovale - czynnik sprawczy choroby owal-malaria (drgawki po 40-45 godzinach);
- R. malariae - czynnik sprawczy choroby 4-dniowa malaria (drgawki po 72 godzinach).
Toksoplazmoza
Choroba Toxoplasma jest często przewlekła. Faza ostra jest bardzo rzadka u pacjentów, ale może być śmiertelna. Koty przenoszą tę chorobę, patogen dostaje się do przewodu pokarmowego poprzez źle umyte pokarmy lub surowe mięso. Zakażenie toksoplazmozą jest bardzo niebezpieczne dla kobiet; w czasie ciąży choroba może zostać przeniesiona na płód i spowodować wady rozwojowe ciała, a nawet śmierć.
Często objawy inwazji pierwotniakowej toksoplazmozy są mylone z objawami grypy, innych infekcji lub zaburzeń przewodu żołądkowo-jelitowego. Objawy toksoplazmozy:
- gorączka, gorączka;
- powiększona wątroba;
- ból głowy, ból brzucha;
- choroby przewodu żołądkowo-jelitowego (wymioty, biegunka, zaparcia, częste wypróżnienia, wzdęcia, wzdęcia).
Diagnoza infekcji pierwotniakowych
Aby potwierdzić wstępną diagnozę, przeprowadza się diagnostykę laboratoryjną infekcji pierwotniakowych. Często laboratoria ograniczają się do analizy kału lub skrobania błony śluzowej okrężnicy, ale badanie krwi w celu wykrycia śladów pasożyta jest bardziej pouczające. Ponieważ pasożyty mogą być zlokalizowane w różnych narządach i tkankach, konieczne jest dokładne określenie przedmiotu badań. Może to być mocz, szpik kostny, krew, plwocina.
Laboratoryjne metody diagnostyczne na obecność różnych rodzajów pasożytów w ciele
|
Przedmiot diagnostyczny |
Badania laboratoryjne |
|
Dysenteric Amoeba (Roots) |
Analiza kału, analiza krwi nie jest bardzo pouczająca. |
|
Balantidiasis (rzęskowy) |
Smugi kału i śluzu. |
|
Wiciowce (Trichomonas, Giardia, Leishmania) |
|
|
Sporozoany (malaria, babeszjoza, kokcydoza, izosporoza) |
Badania rozmazów krwi i gęstych kropli krwi. |
Analiza kału pierwotniaków
Głównym zadaniem badania kału jest identyfikacja torbieli pasożytów opuszczających ciało. Testy kału na pierwotniaki są przeprowadzane z podejrzeniem zakażenia, po przyjęciu do placówek opieki nad dziećmi i podczas hospitalizacji. Aby zapewnić wiarygodne wyniki, nie należy przyjmować środków przeczyszczających przed pobraniem kału. Kał należy zebrać w czystym słoju bez moczu, umieścić w chłodnym miejscu i przechowywać do badań laboratoryjnych przez 10-12 godzin. Jeśli musisz wykryć żywe mikroby, kał dla koprogramów jest przekazywany nie później niż godzinę po pobraniu.
Leczenie infekcji pierwotniakowych
Każdy patogen ma swoją własną charakterystykę, więc schemat leczenia jest bardzo różny w zależności od objawów. Leczenie infekcji pierwotniakowych jest często przeprowadzane w szpitalu, szczególnie jeśli występują objawy ostrego przebiegu choroby. Leki przeciwbakteryjne stosuje się w celu szybkiego złagodzenia poważnych objawów, drgawek i nawrotów, ale może je stosować tylko specjalista.W przypadku wykrycia negatywnych zmian w pracy organizmu lub innych objawów należy skonsultować się z lekarzem.
Możesz zabezpieczyć się przed ryzykiem zarażenia się, jeśli profilaktyka przeciw chorobom zostanie przeprowadzona prawidłowo. Środki zapobiegawcze są następujące:
- wysokiej jakości mycie żywności;
- obróbka cieplna mięsa i ryb;
- zgodność z zasadami trzymania zwierząt;
- nosić rękawice ochronne w kontakcie z ziemią;
- higiena osobista;
- minimalna liczba wizyt w krajach o wysokim ryzyku zakażenia pasożytami;
- ochrona przed nosicielami owadów.
Leki przeciw pierwotniakom
W celu leczenia chorób pierwotniakowych konieczne jest stosowanie leków przeciwmalarycznych i przeciw amebowych. Są na receptę, istnieją różne formy zwolnienia. Nie można stosować leków przeciwpierwotniakowych bez konsultacji z lekarzem, ponieważ tylko specjalista może przepisać prawidłową dawkę i metodę stosowania (w zależności od obrazu klinicznego pacjenta). Nie badano interakcji z innymi lekami i wpływu na pacjenta z chorobami przewlekłymi. W takim przypadku schemat leczenia wymaga dostosowania.
Leczenie Trichopolum
Aby wyeliminować infekcje bakteryjne, stosuje się różne leki, jeden z najbardziej skutecznych Trichopolum. Istnieją różne formy uwalniania leku: do stosowania doustnego lub zewnętrznego. Lek jest przepisywany w leczeniu infekcji dróg oddechowych, chorób skóry (również zewnętrznych narządów płciowych) i wspomagania ośrodkowego układu nerwowego. Leczenie Trichopolum ma skutki uboczne - zniszczenie korzystnych bakterii, pojawienie się wtórnych objawów.
Wideo: spotkanie Trichopolum
Trichopolum: formy (czopki i tabletki), działania niepożądane, bardziej oszczędne analogi