Przyczynami palucha koślawego u dzieci i dorosłych są objawy, diagnoza, metody leczenia i operacja
Pojawienie się wypukłych kości na wewnętrznej powierzchni stopy powoduje ból i dyskomfort. Krzywizna dużego palca - deformacja palucha koślawego stopy - choroba występująca u dorosłych i dzieci, wymaga leczenia, aw zaawansowanym przypadku operacji. Dlaczego rozwija się patologia, jakie są objawy choroby i metody naprawy stawów? Konieczne jest poznanie odpowiedzi na pytania, aby nie rozpoczynać choroby, terminowe skontaktowanie się ze specjalistami w celu uzyskania pomocy.
Czym jest palucha koślawego
Choroba ortopedyczna koślawość palucha koślawego charakteryzuje się krzywizną stawu śródstopno-paliczkowego, w której pierwszy palec odchyla się w stopę, a na zewnątrz tworzy się wystająca kość. W tym samym czasie obserwuje się inne objawy choroby. Możesz zauważyć:
- spłaszczenie stopy;
- deformacja pozostałych palców;
- niedrożność stopy do wewnątrz;
- odchylenie pięty na zewnątrz;
- krzywizna osi stopy;
- zniknięcie wewnętrznego łuku stopy.
Częstym zjawiskiem jest palucha koślawego u dziecka. Występują wrodzone patologie, ale często choroba zaczyna się od pierwszych kroków dziecka. Są bóle, problemy z ruchem. Sytuacja wymaga odwołania się do ortopedy dziecięcej. Zmiany stawów w tym wieku można przywrócić bez operacji. Sprowokuj patologię:
- niewygodne buty;
- ograniczona mobilność;
- nadwaga;
- niewłaściwa postawa.

Objawy
Pierwszymi objawami choroby z palucha koślawego w kończynach dolnych są występowanie bólu podczas długotrwałego chodzenia, zmęczenie, tworzenie się odcisków i odcisków. W miarę postępu choroby obserwuje się poważną transformację. Oznaką palucha koślawego są:
- zmiana pozycji kciuka;
- deformacja sąsiedztwa;
- pojawienie się kości na zewnątrz;
- występowanie bólu;
- dyskomfort podczas noszenia butów.
Jeśli nie rozpocznie się terminowe leczenie, nastąpi zapalenie stawów, grożąc pojawieniem się powikłań. Z zaobserwowaną dolegliwością:
- obrzęk;
- wzrost w obszarze pierwszej głowy kości śródstopia;
- drugi palec wisi nad dużym;
- odciski, odciski pod paliczkami;
- wybrzuszone zaczerwienienie;
- zwiększony ból na łuku stopy;
- upośledzona mobilność.
Przyczyny deformacji palucha koślawego
Choroba jest często obserwowana u dziecka, ale dorośli są zagrożeni. Paluch koślawy występuje głównie u kobiet. Przyczyny choroby:
- predyspozycje genetyczne;
- zmiany hormonalne;
- zaburzenia endokrynologiczne;
- osteoporoza;
- cukrzyca;
- artroza stawów;
- zapalenie kaletki
Czynniki, w których powstaje patologia koślawości:
- noszenie butów na wysokich obcasach, bardzo wąskich lub małych;
- osłabienie tkanek łącznych stawu, mięśni dolnej części nogi;
- krzywica kończyn;
- duży wysiłek fizyczny;
- brak witaminy D;
- nadwaga;
- więzadła łzy;
- złamania kości stopy;
- wysoka mobilność stawów;
- płaskie i podłużne i poprzeczne stopy;
- zły chód;
- stopa końska.
Klasyfikacja
Aby prawidłowo przepisać leczenie, scharakteryzować objawy choroby, porównać patologię z wcześniej badanymi, przyjęto klasyfikację koślawego palucha płaskiego. Nasilenie procesu odróżnia stadia choroby, w zależności od kąta przesunięcia palca w stopniach:
- pierwsze - mniej niż 20 - ból i dyskomfort są nieobecne;
- drugi - do 30 - występuje niewielki dyskomfort;
- trzeci - do 50 - jest stały ból;
- czwarty - ponad 50 - dyskomfort podczas chodzenia, pojawienie się odcisków, zwiększone objawy.
Odkształcenie palucha koślawego pierwszego palca ma klasyfikację według rodzaju:
- strukturalny - znak wrodzonej patologii;
- statyczny - forma manifestacji naruszenia postawy;
- kompensacyjny - występuje z ukośnym położeniem stawu skokowego, krótkim ścięgnem Achillesa;
- porażenny - konsekwencja choroby Heinego-Medina, zapalenia mózgu.
Ponadto klasyfikacja obejmuje następujące rodzaje krzywizny stopy:
- spastyczny, powstały w wyniku skurczów mięśni;
- hiper-korekcyjny w wyniku niewłaściwego leczenia końsko szpotawego;
- urazowe, spowodowane urazami - podarte więzadła, złamania stóp, ud, kolan lub stawów skokowych;
- chwiejne obserwowane w przypadku krzywicy.
Diagnostyka
Aby znaleźć skuteczną metodę korygowania patologii koślawości, konieczne jest postawienie prawidłowej diagnozy. Proces rozpoczyna się od wizyty u ortopedy. Podczas badania lekarz słucha skarg pacjenta, bierze pod uwagę:
- deformacja kciuka;
- występ kości;
- zmiany wysokości łuków;
- zgięcie grzbietowe przedniej części stopy;
- sztywność ruchu palców;
- zaczerwienienie
- obecność odcisków, modzeli;
- elastyczność górnej części stopy, podeszwy;
- stan naczyń krwionośnych.
Ważną częścią środków diagnostycznych są badania sprzętu. Przypisane:
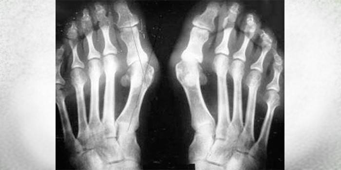
- radiografia stóp - ujawnia szczegóły zmian w tkance kostnej, obniżenie wysokości łuku;
- plantografia - określa parametry i kąty, które charakteryzują rozkład obciążenia, ujawnia rodzaj, obecność płaskich stóp;
- podometria komputerowa - badanie stóp, ujawniające patologię ortopedyczną w początkowych stadiach.

Leczenie koślawego palucha
Ta choroba ma objawy podobne do innych patologii, dlatego ważne jest, aby zdiagnozować na czas. Koślawość stopy u dzieci można skorygować, jeśli ściśle przestrzega się instrukcji lekarzy. W przypadku dorosłych sytuacja jest bardziej skomplikowana. Leczenie palucha koślawego może poprawić sytuację tylko na samym początku rozwoju choroby. Ortopedzi zalecają:
- wkładki międzypalcowe;
- buty specjalne;
- wkładki ortopedyczne;
- opony nocne;
- wsparcie łukowe;
- korektory ortopedyczne.

Aby złagodzić objawy choroby, przeprowadza się leczenie zachowawcze. W zaawansowanych przypadkach wymagana jest operacja. Aby zatrzymać rozwój procesu zapalnego, poprawić stan pacjenta, pomóc:
- terapia lekowa - wprowadzenie leków hormonalnych do stawu;
- fizjoterapia;
- Masaż
- akupunktura;
- gimnastyka medyczna;
- pływanie

Buty ortopedyczne
W skutecznym leczeniu deformacji stóp ważną rolę odgrywa ciągłe noszenie odpowiednich butów. Jest wybierany indywidualnie dla każdego pacjenta. W przypadku obuwia, które eliminuje defekt stopy, obowiązują specjalne wymagania. Ona musi mieć:
- miękka skóra;
- szeroki palec u nogi;
- pięta nie większa niż 4 cm;
- trudne, wysokie tło;
- ciasne wsparcie łuku;
- indywidualne wkładki ortopedyczne.

Ćwiczenia terapeutyczne
Ponieważ kości dziecka nie zostały jeszcze uformowane, ćwiczenia terapeutyczne pomagają skorygować koślawość stopy. U dorosłych pacjentów aktywują krążenie krwi, zmniejszają stany zapalne i łagodzą bolesne objawy. Ważna kwestia - potrzebujesz codziennych zajęć przez długi czas. Wykonuje się następujące ćwiczenia:
- siedząc na krześle, toczyć zacienioną piłkę, naciskając łuk stopy;
- powoli wstań do skarpet i upadnij;
- stojąc, rozprostuj i zegnij tył stopy.

Masaż
W przypadku patologii koślawej jedną z metod leczenia jest użycie masażu w celu wyeliminowania wady stopy. Konieczne jest, aby procedura została wykonana przez profesjonalistę. Zaleca się przeprowadzenie kursu masażu 10-20 sesji. Wykonanie rozpoczyna się od lekkiego głaskania, stopniowo zwiększając intensywność wysiłku. Za pomocą procedury poprawia się krążenie krwi, wzmacniane są mięśnie wewnętrznej powierzchni podudzia, regulowany jest ton, rozciągane są więzadła. Podczas wykonywania stosuje się następujące sztuczki:
- głaskanie
- szlifowanie;
- ugniatanie;
- uderzające.

Procedury fizjoterapeutyczne
Fizjoterapia odgrywa ważną rolę w przywracaniu funkcji stopy, aktywując krążenie krwi w dotkniętym stawie. Specjalne procedury pomagają zmniejszyć obrzęk, łagodzą ból. Ortopedzi są przepisywani w leczeniu koślawości:
- elektroforeza;
- terapia falą uderzeniową;
- wosk parafinowy;
- lecznicze błoto;
- magnetoterapia;
- ozokerit.

Operacja ortopedyczna na stopie
Osteotomia stopy, chirurgiczne leczenie palucha koślawego, jest wskazana w przypadku bólu i dyskomfortu podczas chodzenia. Operacja jest przepisywana w przypadku stanu zapalnego, zmian w tkance kostnej, aby zapobiec rozwojowi powikłań. Istnieje ponad sto technik korekcji stawów. Głównym zadaniem jest umieszczenie kciuka na miejscu. Operacja obejmuje:
- usuwanie kości;
- sztuczne złamanie pierwszej kości śródstopia;
- ustalenie w prawidłowej pozycji za pomocą śrub;
- rozwarstwienie mięśnia uprowadzającego palca;
- powrót falangi na miejsce;
- mocowanie palca za pomocą bandaża lub śruby.

Rehabilitacja po operacji
Powrót do zdrowia po operacji może trwać do sześciu miesięcy. W początkowym okresie ważne jest, aby zapewnić spokój stopy, naprawić kończynę. Rehabilitacja obejmuje:
- we wczesnych dniach - niewielki ruch palców;
- zaczynając od trzeciego, - chodzenie po ortezie - urządzenie, które usuwa obciążenie ze stopy;
- ćwiczenia fizjoterapeutyczne;
- fizjoterapia;
- Masaż
- noszenie specjalnych butów;
- po 6 tygodniach - przywrócenie zwykłego trybu ruchu;
- po dwóch miesiącach - rower treningowy, pływanie.

Prognoza i zapobieganie
Wynik leczenia koślawego zależy od wczesnego wykrycia choroby. Na początkowym etapie patologii możliwe jest szybkie przywrócenie funkcji stawów. Jeśli choroba zostanie rozpoczęta, nawet wykonana operacja nie zawsze łagodzi ból.Musisz zwracać uwagę na swoje zdrowie, skontaktować się z ortopedą podczas identyfikowania pierwszych objawów patologii. W profilaktyce zaleca się:
- noś wygodne buty;
- pozbyć się nadwagi;
- używaj wkładek ortopedycznych;
- Unikaj wysokich obcasów, ostrych nosów.
Wideo
Deformacja palucha koślawego stopy. Szyszki rosną na nogach