Borelioza - objawy, leczenie i konsekwencje
Kleszcze Ixodid są nosicielami różnych chorób zakaźnych. Jednym z nich jest ogólnoustrojowa borelioza przenoszona przez kleszcze lub przewlekły rumień migracyjny. Ludzie nazywają infekcję boreliozą. Według statystyk taka diagnoza jest dokonywana co roku przez 8 tysięcy osób.
Czynnik sprawczy boreliozy
Dominującym siedliskiem kleszczy ixodid są kraje półkuli północnej z lasami mieszanymi: Kanada, Chiny, Ukraina, USA, Litwa, Rosja. Pięć gatunków bakterii spirochete Borrelia burgdorferi uważa się za nosicieli boreliozy:
- B. afzelii;
- B. miyamotoi;
- B. garinii;
- B. bavariensis;
- B. spielmanii.
Borelioza jest przenoszona z kleszcza na osobę na dwa sposoby:
- Od ukąszenia przez kleszcza. Czynnik sprawczy boreliozy wchodzi do krwioobiegu, rozprzestrzenia się po całym ciele i aktywnie namnaża się.
- Poprzez odchody stawonogów od ptaków lub gryzoni. Zakażenie dostaje się na skórę osoby, powodując silne swędzenie. Podczas czesania patogenne mikroorganizmy dostają się do krwioobiegu i dalej do wszystkich narządów.
W niektórych regionach kleszcze przenoszą jednocześnie dwa rodzaje infekcji: boreliozę i wirus zapalenia mózgu.
Borrelioza w Rosji została po raz pierwszy zidentyfikowana w 1985 r. Przez Research Institute of Epidemiology and Microbiology N.F. Gamalei, aw 1991 r. - włączony do oficjalnej listy chorób.

Jak rozwija się choroba z Lyme
Borrelia burgdorferi wraz ze strumieniem krwi przenika do węzłów chłonnych, gdzie zaczyna się namnażać. Po okresie inkubacji bakterie rozprzestrzeniają się po całym ciele. Poważniej niż inne narządy cierpią:
- serce
- mięsień
- stawy
- układ nerwowy;
- mózg.
Borelioza rozwija się w kilku etapach:
- Bakterie przenikają do organizmu, wpływają na układ limfatyczny;
- Borrelia z przepływem krwi są przenoszone do innych tkanek i narządów;
- Następuje poważne uszkodzenie jednego z układów ciała.
Objawy boreliozy
Okres inkubacji w boreliozie trwa od 3 dni do 32 dni.

Etap 1
Trwa od 3 do 30 dni. 7% osób zarażonych w ostrym okresie nie wykazuje żadnych objawów. W innych przypadkach występują oznaki zatrucia:
- gorączka;
- ogólna słabość;
- ból stawów
- zmęczenie;
- ból głowy
5% pacjentów ma oznaki uszkodzenia mózgu, wątroby i układu pokarmowego. Naruszenia objawiają się następującymi objawami:
- nudności
- światłowstręt;
- wymioty do dwa razy dziennie;
- nadwrażliwość skóry (lekki dotyk powoduje ból i pieczenie);
- napięcie mięśni potylicznych;
- utrata apetytu
- kolka wątrobowa.
Charakterystyczną cechą boreliozy jest rumień. To jest mała bańka lub węzeł z czerwoną obwódką.
Wewnątrz obwodu pierścienia jest normalny kolor, przekrwienie skóry jest widoczne do krawędzi i pośrodku. Rumień jest bardzo swędzący, swędzący, bolesny po dotknięciu.

2 etap
Drugi etap trwa do sześciu miesięcy. Oprócz rumienia występuje niewielka wysypka w całym ciele, pokrzywka. Proces patologiczny wpływa na układ nerwowy i sercowo-naczyniowy. Typowe objawy neuroboreliozy to:
- pulsujący ból głowy;
- napady padaczkowe;
- upośledzenie słuchu, wzroku, pamięci;
- niedowład mięśni twarzy;
- zaburzenie snu;
- mrowienie i drętwienie kończyn.
Zaburzenia pracy serca przebiegają jak zapalenie mięśnia lub osierdzia. Zarażona osoba skarży się na następujące objawy:
- zwiększone tętno;
- zwężający ból w klatce piersiowej;
- duszność
- utrata orientacji.
W drugim etapie charakterystyczne są również niespecyficzne objawy choroby. Należą do nich:
- zapalenie spojówek;
- zapalenie wątroby;
- zapalenie jąder - zapalenie jąder u mężczyzn;
- zapalenie oskrzeli;
- zapalenie tęczówki (uszkodzenie tęczówki oka);
- zapalenie śledziony.

3 etap
Nowy etap rozpoczyna się 6 miesięcy (czasem 2 lata później) od pierwszych objawów klinicznych i trwa przez wiele lat.
Pacjent ma:
- Migrujący ból stawów. Towarzyszą sztywne mięśnie szyi, osłabienie, zwiększone zmęczenie. Ataki bólów stawów pojawiają się nagle i znikają same.
- Przewlekłe zapalenie stawów - zapalenie jednego lub więcej stawów. Ofiara jest zaniepokojona ciągłym bólem, obrzękiem dotkniętych kończyn, sztywnością ruchów.
- Nawracające zapalenie stawów. Wpływa na duże stawy ciała. Charakteryzuje się okresami zaostrzeń i remisji. Faza spoczynku trwa od kilku tygodni do 2-3 miesięcy. Podczas zaostrzenia występuje obrzęk i ból stawów, ograniczenie ruchomości.
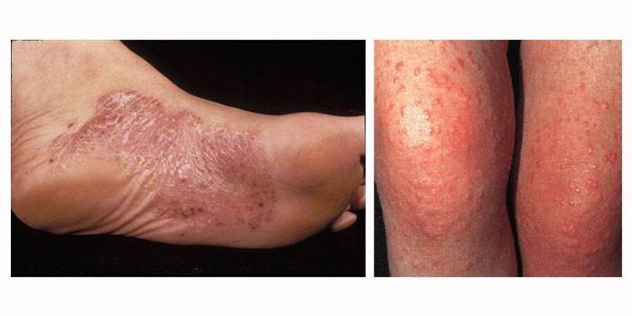
Na etapie 3 proces patologiczny wpływa na skórę. Rozwija się zapalenie skóry (popularnie - zapalenie skóry). Czerwono-niebieskie plamy pojawiają się na kolanach, łokciach, podeszwach stóp. Z powodu naruszenia odpływu krwi i limfy nacieki gromadzą się pod nimi, pojawia się obrzęk, a skóra staje się cieńsza.

Postać przewlekła
Bez leczenia borelioza występuje z naprzemiennymi okresami odpoczynku i zaostrzeń. Charakterystyczne objawy i zespoły skomplikowanego etapu 3 to:
- Przewlekłe zapalenie mózgu i rdzenia Charakteryzuje się uporczywymi migrenami, nadmiernym zmęczeniem, okresowymi nudnościami i wymiotami. Pacjenci skarżą się na upośledzenie pamięci, koordynację ruchów.
- Zespół Guillain-Barré (poliradikulopatia). Towarzyszy temu osłabienie mięśni, obrzęk rąk i nóg, sucha skóra i spadek ciśnienia krwi.
- Parapareza spastyczna. Ofiara rozwija niekontrolowane odruchy, ruchy rąk lub nóg.
- Łagodny chłoniak. Wygląda jak jasny czerwony pęcherz na skórze, bolesny przy badaniu palpacyjnym. Występuje na narządach płciowych, twarzy, plecach.
Choroba z Lyme Podczas Ciąży
Borelioza u przyszłych matek często przebiega bez wyraźnych naruszeń ze strony ciała i kończy się narodzinami zdrowego dziecka. Czasami ugryzienie kleszcza powoduje nasilenie zatrucia.
Borelioza kleszczowa u dzieci
Rumień wędrujący jest wrodzony, gdy matka została zarażona lub otrzymała ukąszenie przez kleszcza podczas ciąży. Takie noworodki mają wysokie ryzyko śmierci w ciągu kilku godzin życia. Wynika to z wrodzonych patologii narządów wewnętrznych niezgodnych z życiem.
Nabyta borelioza występuje u dzieci w wieku powyżej 7 lat. Objawy choroby u niemowląt są takie same, jak w przypadku infekcji u osoby dorosłej. Charakterystyczną różnicą jest to, że z powodu uszkodzenia układu nerwowego u dzieci po wyzdrowieniu obserwuje się przez pewien czas gwałtowną zmianę nastroju i bezsenność.
Diagnostyka

Aby postawić prawidłową diagnozę, uwzględnia się dolegliwości pacjenta i obecność rumienia na ciele. Ze względu na dużą szansę na wynik fałszywie dodatni lub ujemny laboratoryjne metody diagnostyczne są opcjonalne. Pacjentom przepisuje się takie badania:
- Analizy biochemiczne. Wykrywa się zwiększoną liczbę leukocytów, szybkość sedymentacji erytrocytów we krwi i obecność czerwonych krwinek w moczu.
- Bakteriologiczne badania serologiczne - pośrednia reakcja immunofluorescencyjna (RNIF), test immunoenzymatyczny (ELISA). Wykryj borrelię w płynach ustrojowych, określ ich ilość na 1 litr krwi. Aby wyeliminować fałszywe wyniki, analizy przeprowadza się dwukrotnie w odstępie 20 dni.
Leczenie boreliozy
Zarażona osoba nie jest zakaźna dla innych, dlatego w przypadku braku powikłań terapia odbywa się w warunkach ambulatoryjnych. Stosowane są antybiotyki z różnych grup. Wybór schematu leczenia zależy od stadium boreliozy:
- W pierwszym etapie przepisywane są tetracykliny - doksycyklina. Czas trwania terapii wynosi 2-3 tygodnie.
- W drugim okresie przeprowadza się pozajelitowe podawanie penicylin lub cefalosporyn 2-3 pokoleń - ceftriakson. Czas trwania antybiotykoterapii wynosi 14–21 dni.
- W przewlekłym rumieniu wędrującym pacjentowi przepisuje się penicyliny o przedłużonym uwalnianiu i cefalosporyny - amoksycylinę, ceftriakson. Czas użytkowania - 3 tygodnie.
Jeśli nie tolerujesz preparatów tetracykliny, cefalosporyny lub penicyliny, przepisane są azolidy lub makrolidy - azytromycyna, erytromycyna. Dawkowanie leków dobierane jest indywidualnie. Takie leki są nieskuteczne przeciwko borrelii:
- cefalosporyny 1 rząd;
- karbapenemy;
- Ryfampicyna;
- Metronidazol;
- Wankomycyna.

Objawowe leczenie boreliozy obejmuje stosowanie takich leków:
- Niesteroidowe leki przeciwzapalne - Nimesulid, Naproksen. Zmniejszyć zapalenie stawów, złagodzić ból.
- Nootropics - Cerebrolysin. Pobudzaj aktywność umysłową, zwiększaj odporność komórek mózgowych, poprawiaj pamięć.
- Leki przeciwhistaminowe - Suprastin, Cetrin, Zyrtec. Zmniejsz reakcje alergiczne, usuń wysypki, swędzenie.
- Leki immunosupresyjne - Plaquenil. Stłumić postęp zapalenia stawów.
- Hepatoprotectors - Hepatosan, Carsil. Przywróć funkcję wątroby, chroń ciało przed niekorzystnym działaniem bakterii.
- Leki przeciwarytmiczne - Amiodaron, Sotagexal. Jest przepisywany na powikłania serca - zaburzenia rytmu serca, bóle w klatce piersiowej.
- Enzymy, witaminy i środki wzmacniające (nalewka z Eleutherococcus, żeń-szenia) w celu przywrócenia ciała, poprawy trawienia i ogólnego samopoczucia.
Zapobieganie
Szczepienia przeciwko boreliozie przenoszonej przez kleszcze nie istnieją. Aby zmniejszyć ryzyko ukąszenia przez kleszcza, należy przestrzegać następujących zasad zachowania w przyrodzie:
- Odwiedzając parki leśne, wybierz zamknięte ubrania w jasnych kolorach - spodnie z gumkami przy kostkach, swetry, swetry lub koszule z długimi rękawami, czapkę.
- Przed wyjściem i co 3-4 godziny leczyć otwarte obszary ciała sprayami, które odpychają kleszcze.
- Unikaj kontaktu z liśćmi drzew, siedząc na trawie.
- Po przejściu dokładnie sprawdź ciało i skórę głowy pod kątem kleszczy.

Konsekwencje boreliozy
Dzięki terminowej diagnozie, odpowiedniemu leczeniu możliwe jest całkowite zniszczenie infekcji. Jeśli borrelioza jest leczona w 2 etapach, w 85% przypadków można uniknąć nieprzyjemnych powikłań. Przewlekła postać choroby słabo reaguje na antybiotykoterapię. Nawet po wyznaczeniu powtarzających się kursów medycyny pacjent ma wiele objawów:
- niepewny chód;
- kołatanie serca;
- utrata słuchu;
- napady padaczkowe;
- zmniejszona ostrość wzroku;
- niewydolność serca;
- zmniejszone napięcie mięśni;
- naruszenie wrażliwości skóry;
- zapalenie stawów;
- zniekształcenie rysów twarzy.
Wideo
Borelioza kleszczowa (borelioza)