Usuwanie pieprzyków na twarzy - wskazania, metody i metody, konsekwencje
- 1. Czy można usunąć mole z twarzy?
- 1.1 Rodzaje Nevusa
- 2. Wskazania do usuwania moli
- 3. W których przypadkach usunięcie jest przeciwwskazane
- 4. Metody usuwania moli z twarzy
- 4.1 Metoda elektrokoagulacji
- 4.2 Wycięcie chirurgiczne
- 4.3 Kriodestrukcja
- 4.4 Laserowe usuwanie
- 4.5 Wycięcie fali radiowej
- 5. Jak usunąć kret w domu
- 5.1 Przygotowania do usuwania znamion na twarzy
- 5.2 Ludowe sposoby na pozbycie się moli
- 6. Możliwe komplikacje przy usuwaniu moli z twarzy
- 7. Wideo
Kret w medycynie nazywa się znamię. Jest to pigmentowany nowotwór na skórze o łagodnym charakterze i różnych odcieniach. Nevi są zlokalizowane na twarzy, szyi, plecach i innych częściach ciała. Mole nie ranią, ale powodują dyskomfort. Ich usunięcie jest jedną ze skutecznych metod radzenia sobie z nimi.
Czy można usunąć mole z twarzy?
Jeśli znamię nie rośnie, nie zmienia kształtu i nie boli, nie można go dotknąć. Pod wpływem promieniowania ultrafioletowego lub czynników mechanicznych prawdopodobieństwo jego degeneracji w czerniaka jest wysokie - nowotwór złośliwy z dużym prawdopodobieństwem śmierci. Aby tego uniknąć, lepiej usunąć kret z twarzy.
Rodzaje Nevusa
Wybór metody interwencji chirurgicznej i jej wykonalność zależy od rodzajów znamion. Klasyfikacja wielkości:
- mały (mniej niż 15 mm);
- średni (do 10 cm);
- duży (od 10 cm);
- ogromny (całkowicie przykryj obszar ciała).
Klasyfikacja według lokalizacji na skórze:
- naskórek - komórki melanocytów gromadzą się w naskórku;
- śródskórna - zlokalizowana w głębokich warstwach skóry właściwej;
- granica (mieszana) - znajduje się na granicy skóry właściwej i naskórka, często występuje z zaburzeniami hormonalnymi.
Klasyfikacja według zestawu parametrów zewnętrznych:
- Ovus nevus - zlokalizowany na policzku, powiece, górnej szczęce, jest to jeden lub więcej łączących się punktów o nasyconym niebieskim kolorze;
- naczyniak krwionośny - czerwone, różowe lub niebieskie nowotwory z mimowolnego śródbłonka;
- Znamię Settona jest łagodnym nowotworem zlokalizowanym w miejscu pigmentacji skóry;
- mola dysplastyczna - rozmiar - 4-12 mm, kolor - od brązowego do ciemnobrązowego;
- Nevus Ita - na zewnątrz przypomina Ota, ale jest umiejscowiony na łopatkach, obojczyk;
- anemiczny kret - znajduje się w strefie niedorozwoju naczyń krwionośnych;
- znamię beznaczyniowe - pojedyncze lub zwielokrotnione płytki na ciele w kolorze szarym lub czarnym, szorstkie, szorstkie w dotyku;
- niebieskie mole - w strukturze - gładkie, równe, w kolorze - niebieskie;
- Becker nevus - wiele włosów jest zlokalizowanych w centrum pigmentacji.

Wskazania do usuwania moli
Wybrzuszenie znamion, niezależnie od lokalizacji, lepiej jest usunąć, ponieważ istnieje ryzyko obrażeń, dalszych komplikacji. Wskazania do zabiegów chirurgicznych:
- zmiana kształtu, wielkości nowotworu;
- nabyta sferoidalność, niejednorodność struktury;
- częste obrażenia, narażenie na promieniowanie ultrafioletowe;
- wada estetyczna;
- nierówne krawędzie, nietypowe narośla;
- tworzenie się wrzodów, skorup, pęcherzyków, warstwy zrogowaciałej;
- błyszczący połysk;
- wypadanie włosów;
- swędzenie, pieczenie, ból, obrzęk pigmentacji;
- niebieski, niebieski (prawdopodobieństwo onkologiczne).
W jakich przypadkach usunięcie jest przeciwwskazane?
Usunięcie chirurgiczne nie jest odpowiednie dla wszystkich; może być szkodliwe dla zdrowia niektórych osób. Bezwzględne przeciwwskazania:
- ciężka niewydolność serca;
- zaburzenie krwawienia;
- cukrzyca;
- ciąża
- wiek do 12 lat.
Rozróżnia się względne przeciwwskazania, w przypadku których konieczne jest tymczasowe odłożenie procedury do całkowitego wyzdrowienia:
- procesy zakaźne, zapalne;
- choroby przewlekłe na etapie dekompensacji;
- wzrost temperatury ciała różnego pochodzenia;
- opryszczka
Metody usuwania moli z twarzy
Aby wyciąć bez komplikacji, należy wybrać skuteczną, bezpieczną metodę. Lokalny lekarz po wizualnym badaniu ogniska patologii wyznacza konsultacje chirurga, dermatologa, kosmetologa, onkologa. Popularne metody usuwania znamion na twarzy:
- Chirurgiczne Brodawka dowolnego rozmiaru jest usuwana za pomocą skalpela, w razie potrzeby na ranie umieszcza się szwy. Po długiej rehabilitacji na skórze pozostaje blizna.
- Laser Skuteczny dla małych znamion. Laserowe usuwanie polega na wycinaniu warstwy rogowej naskórka. Nie wpływa to na zdrowe tkanki.
- Radio cut. Strefa pigmentacji na twarzy jest bezboleśnie usuwana za pomocą radiokoagulatora. Po zabiegu nie ma blizn, blizn z nowotworów średnich, dużych rozmiarów.
- Elektrokoagulacja Nowotwór jest kauteryzowany przez prąd o wysokiej częstotliwości. Może być ślad po oparzeniu, blizna.
- Kriodestrukcja. Nevus jest zamrażany w ciekłym azocie. Krew nie płynie do leczonego obszaru skóry na twarzy; stopniowo wysycha i znika.
Metoda elektrokoagulacji

Za pomocą elektrokoagulatora usuwa się brodawczaki, skomplikowane brodawki, które zakłócają mole o różnych rozmiarach. Zabieg przeprowadzany jest w znieczuleniu miejscowym, martwa tkanka skóry zostaje bezboleśnie spalona porażeniem prądem. Czas trwania sesji wynosi od 5 do 20 minut, okres rehabilitacji do 2 tygodni. Opis:
- Zalety: bezbolesność, brak krwi, minimalne ryzyko wtórnej infekcji, przystępna cena.
- Wady: przedłużona rehabilitacja, ryzyko powstawania blizn.
- Cena: od 250 do 500 rubli za jednostkę.
Wycięcie chirurgiczne
W ten sposób usuwa się kret i otaczające tkanki. Zabieg wykonywany jest w znieczuleniu miejscowym. Zarodek jest cięty skalpelem, po czym kauteryzuje się otwartą ranę. Po usunięciu dużego mola nakłada się szwy, które usuwa się po kilku dniach. Aby uniknąć dołączenia wtórnej infekcji, stosuje się antybiotyki, sterylny opatrunek. Opis:
- Zalety: wydajność, szybkość, bezpieczeństwo i dostępność metody.
- Wady: utrata krwi, długi okres rehabilitacji, blizny.
- Cena: od 1000 do 5000 rubli (usunięcie mola pierwszego stopnia złożoności).

Kriodestrukcja
Małe nowotwory na skórze usuwa się ciekłym azotem. Na kret wpływa zimno. Po zamrożeniu pojawia się bańka, która ostatecznie staje się chrupiąca i znika. Okres rehabilitacji wynosi 14 dni. Opis:
- Zalety: bezbolesność metody, brak krwawienia, działanie znieczulające, antyseptyczne i immunostymulujące.
- Wady: naruszenie integralności zdrowych tkanek, obecność przeciwwskazań.
- Cena: od 1 300 rubli za 1 element.

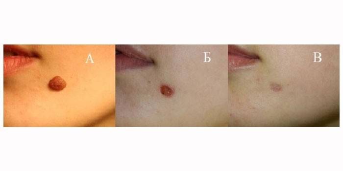
Laserowe usuwanie
Ta technika jest odpowiednia do usuwania małych znamion. Kret jest narażony na strumień świetlny o określonej długości. Głównym zadaniem jest wypalenie nowotworu, a nie naruszenie integralności zdrowych tkanek. W przypadku 1 sesji kilka nowotworów jest natychmiast usuwanych. Operacja trwa kilka minut. Ranne tkanki w pełni goją się po 5–7 dniach. Opis:
- Zalety: bezbolesna i bezkrwawa praca, szybka rehabilitacja, brak blizn i blizn, minimalne ryzyko nawrotu.
- Wada: wysoka cena, przeciwwskazania.
- Cena: od 1500 rubli za jednostkę (koszt różni się w zależności od wielkości nowotworu).

Wycięcie fali radiowej
Możesz usunąć kret z twarzy za pomocą fal radiowych wysokiej częstotliwości. Ta progresywna metoda jest odpowiednia do spalania znamion różnej wielkości i lokalizacji, skutecznych i bezbolesnych. Specjalny nóż radiowy jednocześnie tnie tkanki, zatrzymuje krwawienie i dezynfekuje miejsce wycięcia. Po sesji pozostaje niewielka depresja, która jest leczona miejscowym środkiem antyseptycznym przez 2 tygodnie rehabilitacji. Opis:
- Zalety: bezbolesny zabieg, brak blizn i blizn, tworzenie równomiernego konturu twarzy.
- Wady: ryzyko powstawania plam po końcowej regeneracji tkanek, wysoka cena.
- Cena: od 700 do 3000 rubli (w zależności od wielkości mola).

Jak usunąć kret w domu
Płaskie brodawki, małe brodawczaki bez powikłań są usuwane w domu. Aby zapobiec złośliwemu nowotworowi, pierwszą rzeczą, którą musisz skonsultować z onkologiem. Biopsja, histologia może być wymagana do określenia charakteru pieprzu. W domu, zgodnie ze wskazaniami, kremów terapeutycznych, żeli i maści stosuje się hipoalergiczne środki ludowe.
Przygotowania do usuwania znamion na twarzy
Przy takiej defekcie kosmetycznej stosuje się roztwór wodny SuperChistotel (w ampułkach). Efekt terapeutyczny zapewnia wodorotlenek, chlorek i wodorowęglan sodu, wodorotlenek potasu, jako składniki aktywne. Krótki opis:
- Działanie: rozkłada zrogowaciałe warstwy naskórka, usuwa małe pieprzyki i brodawki, przyspiesza gojenie się uszkodzonych tkanek.
- Metoda aplikacji: nałóż roztwór punktowo na zmianę - po 1 kropli. Nie dotykaj zdrowych tkanek. Procedura jest przeprowadzana 1 raz dziennie przez 5 dni.
- Efekty uboczne: lokalne reakcje alergiczne.
- Przeciwwskazania: ciąża, laktacja, wiek dziecka do 5 lat, nietolerancja składników;
- Cena: 35–100 rubli (3,6 ml).

Lek Vertran Cryo jest nie mniej skuteczny w nowotworach naskórka wywołanych przez HPV. Usuwa znamiona do 8 mm, dobrze tolerowane przez organizm. Krótki opis:
- Działanie: działa punktowo zimno, usuwa znamię na twarzy, regeneruje uszkodzone tkanki.
- Metoda aplikacji: użyj aplikatora do leczenia ogniska patologii, nie wpływając na zdrowe tkanki. Wynik jest widoczny po pierwszej sesji.
- Skutki uboczne: pieczenie, swędzenie, ból i dyskomfort w ognisku patologii.
- Przeciwwskazania: cukrzyca, ciąża, laktacja, wiek do 4 lat, nietolerancja składników.
- Cena: 750–900 rubli (butelka 50 ml).
Zasada działania leku Cryopharm opiera się również na ekspozycji na zimne, zamrażające ogniska patologii. Lek jest wygodny w użyciu, jest dostępny w postaci aerozolu. Efekt terapeutyczny zapewnia mieszanina propanu z eterem dimetylowym. Krótki opis:
- Działanie: zamraża zrogowaciałe tkanki do samej podstawy, przyspiesza regenerację zdrowych komórek.
- Metoda stosowania: spryskaj roztwór w miejscu patologii przez 5 do 15 sekund, nie dostań się na zdrowe tkanki.
- Skutki uboczne: tymczasowe reakcje miejscowe, oparzenie.
- Przeciwwskazania: choroby skóry, znamiona, procesy zakaźne i zapalne, ciąża, laktacja, wiek do 4 lat.
- Cena: 750–900 (aerozol 35 ml).

Ludowe sposoby na pozbycie się moli
Nevi można wyeliminować metodami alternatywnymi. Środki ludowe są nie mniej skuteczne niż leki, ale ich stosowanie jest właściwe po wizycie w centrum onkologicznym. Sprawdzone przepisy zdrowotne:
- Glistnika. Wytnij łodygi rośliny, spłucz, pocieraj znamię żółtym sokiem. Owiń bandaż i nie usuwaj go przez 30 minut. Wykonaj procedurę 3 razy dziennie, aż zniknie nowotwór. Przebieg leczenia wynosi od 1-2 tygodni do kilku miesięcy.
- Alkoholowy roztwór jodu. Rozcieńczyć 5 kropli jodu 1 łyżka. l woda Gotowe rozwiązanie przetwarzaj płaskie 3-4 razy dziennie. W przypadku wypukłych moli użyj stężonego roztworu jodu.
- Kwas salicylowy Zastosuj 1-2 krople zakupionej kompozycji do patologicznych obszarów skóry do 4 razy dziennie. Kontynuuj leczenie przez 10 dni.
- Maść Czosnkowa Zmiel 2-3 ząbki czosnku, dodaj 1 łyżkę. l masło i 50 g miodu. Wymieszaj składniki, przechowuj jednolitą maść w lodówce. Zastosuj kompozycję do ogniska patologii, przykryj opaską i nie usuwaj przez 4 godziny. Następnie spłucz leczony obszar wodą. Wykonaj procedurę przez 1 miesiąc.
Możliwe komplikacje podczas usuwania moli z twarzy
Zgodność z zasadami okresu rehabilitacji pomaga przetrwać usuwanie znamion na twarzy bez konsekwencji. W przeciwnym razie mogą wystąpić takie komplikacje zdrowotne:
- przystąpienie do wtórnej infekcji;
- blizny, blizny twarzy, wada estetyczna;
- niszczenie zdrowych tkanek;
- przedłużone krwawienie
- pigmentacja skóry;
- degeneracja mola w czerniaka;
- rak skóry.
Wideo
Laserowe usuwanie moli z twarzy