Osiemnasty tydzień ciąży
Drugi trymestr trwa już prawie dwa miesiące, w tym czasie dziecko znacznie urosło, a twój brzuch jest coraz wyraźniejszy. Teraz przychodzi najspokojniejszy czas, kiedy trzeba uzupełnić zapasy składników odżywczych w organizmie, dużo chodzić, relaksować się i aktywnie komunikować z dzieckiem. W tym okresie wiele kobiet może już odczuwać ruchy płodu, co napełnia matkę niepokojem i podnieceniem. Warto przejrzeć swoją dietę, usuwając z niej wysoce alergizujące produkty, ponieważ układ odpornościowy zarodka już działa i może na nie zareagować.
Co dzieje się z ciałem w 18 tygodniu
18. tydzień ciąży jest piątym miesiącem położniczym, drugi tydzień, zgodnie z kalendarzem, wynosi cztery i pół miesiąca. W połowie drugiego trymestru ciąży - najspokojniejszy czas, kiedy zdrowie i ogólny stan są zwykle najlepsze. Ciało kobiety zyskało już krągłość, a wspaniałe wydarzenia odbywają się wewnątrz ciała. Aby nie zyskać dodatkowych kilogramów i nie cierpieć z powodu obrzęków, należy dokładnie rozważyć dietę i pić, unikać silnie słonych i pikantnych potraw, nadmiaru słodyczy i produktów mącznych. Brzuch w tym tygodniu jest już wyraźnie widoczny - znacznie urósł, wzrósł i jest wyraźnie widoczny dla wszystkich w okolicy. Ze względu na wzrost brzucha środek ciężkości przesuwa się do przodu, co prowadzi do zmiany krzywizny kręgosłupa, jego ugięcia w okolicy lędźwiowej i odchylenia ramion matki. To daje kobietom w ciąży szczególny chód. W tym okresie ważne jest, aby wybrać wygodne ubrania i buty, a także odpowiednią bieliznę - biustonosz z szerokimi ramiączkami i bez szwów podtrzymujących klatkę piersiową oraz wygodne figi, które nie ściskają ciała. Ponadto wiele kobiet uzna, że warto nosić specjalną ortezę podtrzymującą, która eliminuje ból pleców i nóg.
Ze względu na dużą macicę spanie na plecach staje się niewygodne, co wymaga nowych pozycji do odpoczynku i snu, możesz użyć specjalnych poduszek na dolną część pleców i nogi.

Rozwój płodu: waga i płeć
Teraz dziecko aktywnie rośnie i poprawia się, jest to dobrze ukształtowany mały mężczyzna, który wyrósł z kości ogonowej do małej dziewczynki o 14 cm (i jako całość osiąga 20 cm) i przytył prawie 200 g wagi. Podczas gdy wzrost macicy pozwala dziecku czuć się względnie swobodnie w żołądku, aktywnie porusza się w płynie owodniowym - wykonuje zakręty, salta, porusza nogami i rękami, kiwa głową, dotyka pępowiny, wciska się w ścianki macicy. Lekarze uważają, że takie aktywne ruchy są bardzo przydatne dla dziecka, dzięki czemu aktywnie rozwija się strefa kory ruchowej mózgu i poprawia się układ mięśniowo-szkieletowy płodu.
Dziecko aktywnie się poprawia - jego ręce i nogi są w pełni ukształtowane, a nogi są dłuższe niż ramiona, palce i palce u stóp są aktywnie podzielone na paliczki. Opuszki palców uzyskały unikalny wzór, który tworzy odciski palców. U dzieci obu płci narządy płciowe są w pełni uformowane - zarówno zewnętrzne, jak i wewnętrzne. Dziecko aktywnie magazynuje tkankę tłuszczową, brązowy tłuszcz jest szczególnie aktywnie gromadzony w obszarze łopatek i całego ciała, a aktywnie zachodzi tworzenie mózgu. Aktywnie rozwija się układ odpornościowy płodu, teraz narządy odpornościowe mogą aktywnie wytwarzać immunoglobuliny i interferony, które chronią płód przed infekcjami wirusowymi i mikrobiologicznymi. Podstawy zarówno mleka, jak i zębów stałych już się w pełni uformowały, a zęby stałe znajdują się nad mlekiem i pojawią się w odpowiednim czasie. Chociaż oczy są uformowane, nadal są zamknięte, mogą aktywnie reagować na światło. Ponadto dziecko jest aktywnie rozwijane i słyszy, może doskonale odróżniać dźwięki, zarówno ciało mojej matki, jak i dźwięki dochodzące z zewnątrz. Dlatego warto teraz dużo rozmawiać z dzieckiem, czytać mu bajki, włączać muzykę klasyczną i unikać ostrych przerażających dźwięków. Z takich dźwięków dziecko może się zamrozić, zmartwić.
Teraz możesz dokładnie określić płeć dziecka za pomocą badania ultrasonograficznego i przygotować się bezpośrednio do porodu dla dziewczynki lub chłopca. Również w tym okresie wiele żon już odczuwa pierwsze ruchy i ruchy swojego dziecka. Kości dziecka aktywnie gromadzą wapń, a jeśli matce go zabraknie, wapń zostanie usunięty z zębów i kości kobiety, co doprowadzi do problemów z zębami i konieczności wizyty u dentysty.
Dziecko może stworzyć pewien reżim snu i czuwania, często nie pokrywając się z matką, często w przyszłości matka odczuje ruchy płodu podczas minut odpoczynku. Dziecko może teraz spać do czterech godzin z rzędu.
Uczucia przyszłej matki
Głównym odczuciem w tym okresie ciąży mogą być pierwsze ruchy, które przynoszą mamie nieopisaną radość - mogą być bardzo lekkie i niejasne, jak transfuzja wody lub ledwo zauważalne drżenie. Stopniowo ruchy staną się bardziej pewne siebie i silne. Zwykle ruchy są odczuwalne w okresie od 17 do 22 tygodni, wiele zależy od cery kobiety i wielkości okruchów, ilości tkanki tłuszczowej na brzuchu. Jeśli jeszcze nie poczułeś ruchów, nie musisz się martwić, wkrótce je poczujesz. Przed przeprowadzką chude kobiety i poczuj się ponownie w ciąży. Zazwyczaj można zarejestrować od czterech do ośmiu ruchów na godzinę. Jeśli ruchy są odczuwane silnie i wyraźnie, zbyt często, może to być oznaką braku tlenu dla płodu. Następnie dziecko zaczyna aktywniej poruszać się, aby aktywować krążenie krwi i nasycić krew tlenem. Ważne jest, aby matka opiekowała się dzieckiem, często chodząc na spacery, oddychając głęboko i spokojnie. Możesz również uprawiać jogę lub gimnastykę dla kobiet w ciąży, one również pomogą w zapobieganiu niedotlenieniu.

Okres 18 tygodni jest dość spokojny pod względem doznań, przy normalnej ciąży matka nie odczuwa dyskomfortu, mogą pojawić się tylko pewne niedogodności związane z aktywnie powiększającym się brzuchem. Nie jesteś przyzwyczajony do tego, że on jest, trudno ci znaleźć pozę do odpoczynku i snu, ponieważ już nie można leżeć na brzuchu, a głowa może odczuwać zawroty głowy. Czasami matki mogą dotykać otaczających obiektów rosnącym brzuchem, jeszcze nie przyzwyczajonym do nowych „wymiarów” swojego ciała.
Przyzwyczajaj się częściej do odpoczynku po lewej stronie, w tej pozycji krążenie krwi jest najbardziej aktywne, najłatwiej jest płodowi i macicy zająć prawidłową pozycję do porodu. Naucz się wstawać z łóżka przez bok, nie możesz nagle wyskoczyć z łóżka, może ciemnieć w twoich oczach i zawroty głowy. Piersi kobiety w tym czasie nie są tak wrażliwe, ale soki wzrosły i pociemniały, może wystąpić wydzielanie siary z sutków o żółtawym kolorze. Nie ma potrzeby przeżyć, pierś przygotowuje się do karmienia dziecka w przyszłości, a nawet jeśli nie ma siary do samego porodu - jest to również całkiem normalne. Wszelkie manipulacje sokami mogą prowadzić do zwiększenia tonu macicy, więc nie trzeba nic robić z piersią.
Stan macicy w 18 tygodniu ciąży
Ze względu na wzrost macicy może wystąpić pewien dyskomfort z powodu nacisku dna macicy na pępek od wewnątrz. Jest tak, ponieważ do tego czasu dno macicy prawie osiągnęło poziom pępka, może znajdować się 2-3 cm poniżej niego. jeśli położysz rękę na brzuchu, poczujesz dno macicy tuż pod pępkiem, około dwóch palców. Macica osiągnęła rozmiar średniego melona i nadal aktywnie rośnie i rozwija się na boki. Z poziomu łonowego macica urosła o około 18 cm i wystaje do przodu, dając wyraźny wzrost brzucha w kole. Przy słabej ścianie brzucha i szczupłości, występowaniu bólu pleców, od tego czasu bardzo przydatny może być bandaż prenatalny, który wspiera macicę we właściwej pozycji i łagodzi nadmierne ucisk na plecy i brzuch. Ćwiczenia gimnastyczne dla kobiet w ciąży i wygodne ubrania z butami również pomagają radzić sobie z dyskomfortem. Od tego okresu zaleca się okresowe przyjmowanie pozycji łokciowej w celu rozładowania pleców i narządów wewnętrznych, szczególnie w przypadku nerek, ponieważ poprawia się odpływ moczu. I nie martw się o rozmiar brzucha - zależy to od siły mięśni brzucha i pojemności miednicy, stopniowo żołądek będzie rósł coraz bardziej.
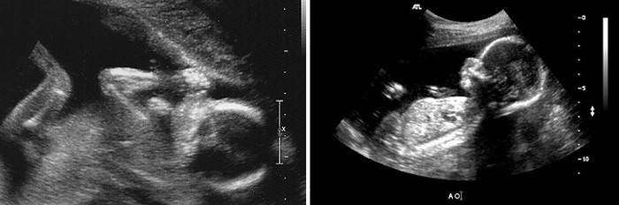
USG
W okresie od 18 do 22 tygodni kobietom w ciąży wyznacza się drugie zaplanowane badanie ultrasonograficzne w celu ustalenia płci dziecka, a także badania głównych wskaźników odzwierciedlających wzrost i rozwój dziecka. Niniejsze badanie ma na celu identyfikację wad rozwoju płodu i rażących wad rozwojowych narządów wewnętrznych. lekarz dokładnie bada serce i nerki płodu pod kątem ich nieprawidłowości, może ustalić rzekome objawy zespołu Downa lub rażące wady mózgu.
Ponadto za pomocą ultradźwięków płodu odbywa się szczegółowy skan łożyska, oceniana jest jego struktura i pępowina z naczyniami, oceniane są główne wskaźniki:
- obwód brzucha i głowy płodu,
- rozmiar potyliczno-czołowy
- wymiary rurkowych kości uda, dolnej części nogi, barku i przedramienia.
Możliwe jest również przeprowadzenie USG 3D ze zdjęciami lub nagrywanie dziecka na karcie flash.

Wydzieliny narządów płciowych
W tej chwili wydzielina z dróg rodnych powinna być bardzo niewielka i jednolita, jasna lub mleczna, bez zanieczyszczeń i nieprzyjemnych zapachów. Nie powinny przynosić przyszłej matce żadnego dyskomfortu. W porównaniu z poprzednimi tygodniami ich liczba może nieznacznie wzrosnąć z powodu działania hormonów.
Warto się martwić, jeśli ilość wydzielin staje się obfita, ich kolor zmienia się na żółty, szary, zielonkawy lub spieniony, maleńkie, swędzące i pieczące formy, można podejrzewać choroby przenoszone drogą płciową lub pleśniawki, bakteryjne zapalenie pochwy.Są niebezpieczne dla kobiet w ciąży, dlatego należy je natychmiast leczyć. Szczególnie niebezpieczne w czasie ciąży powinno być brązowe wydzielanie, które może wskazywać na erozję lub inne patologie szyjki macicy lub plamienie, które może być oznaką przerwania łożyska lub przerwania ciąży.
Jakie testy wziąć
W okresie 18 tygodni przeprowadza się obowiązkową analizę moczu, aby wykluczyć patologie nerek, a jeśli podejrzewa się niedokrwistość, przeprowadza się ogólne badanie krwi. W tym okresie, jeśli nie zostało to wcześniej przeprowadzone, można przeprowadzić potrójny test w celu wykrycia ewentualnych nieprawidłowości płodu, patologii chromosomalnej i wrodzonych wad rozwojowych układu nerwowego. W tym celu przeprowadza się badanie w osoczu krwi:
- poziom hCG (ludzka gonadotropina kosmówkowa),
- poziomy niesprzężonego estriolu,
- poziomy alfa-fetoprotein.
Wyraźne odchylenia tych wyników od norm w połączeniu z danymi ultrasonograficznymi sugerują, że dziecko ma wodogłowie lub wady rozwojowe mózgu, zespół Downa i niektóre inne patologie. Ale dane te nie są ostateczne i aby je potwierdzić, potrzebne są konsultacje genetyczne i specjalne badania inwazyjne. W przypadku groźby ciąży lub powikłań ciąży wizyty u lekarza będą coraz częstsze, a także badania. Lekarz będzie monitorował ciężar kobiety, wzrost obwodu brzucha, wysokość dna macicy i ciśnienie, ogólne samopoczucie.
Ból brzucha i dolnej części pleców
W tym okresie specjalne bolesne objawy nie powinny być. Chociaż mogą wystąpić pewne nieprzyjemne odczucia w postaci popijania z tyłu i dolnej części pleców, w kości miednicy. Jest to spowodowane wzrostem macicy i napięciem więzadeł, zmianą środka ciężkości. Obciążenia kręgosłupa rosną, a ciało zmuszone jest przyjmować nowe pozy statyczne. Z powodu tego, jakie mięśnie i więzadła mogą odczuwać dyskomfort. Aby zapobiec tym bólom, musisz częściej odpoczywać, monitorować swoją postawę, nosić wygodne buty. Przydatne mogą być ćwiczenia rozładowywania pleców i dolnej części pleców, noszenia bandaża.
Ból pleców i podbrzusza może być oznaką infekcji dróg moczowych i nerek, może im towarzyszyć gorączka i ból podczas oddawania moczu. Konieczne jest ścisłe kontrolowanie procesu oddzielania moczu. Jeśli prawa strona boli, a ból nasila się, może to być objaw zapalenia wyrostka robaczkowego, co jest również możliwe u kobiet w ciąży. Musisz natychmiast wezwać karetkę pogotowia i przeprowadzić badanie. Jeśli dolna część brzucha ciągnie się, występują regularne długotrwałe bóle brzucha ze skurczami i napięciem macicy, z pojawieniem się brązowych plam, należy natychmiast wezwać karetkę pogotowia, może to być oznaką przerwania ciąży.
Często przeziębienie i katar
Chociaż układ odpornościowy dziecka już działa i może aktywnie opierać się działaniu wirusów i zarazków, kobieta w ciąży nie powinna zachorować, w tym przeziębienia. Obecność ostrych infekcji wirusowych układu oddechowego z wysoką gorączką i złym stanem ogólnym, katarem i kaszlem jest szczególnie niebezpieczna. Silny kaszel może prowadzić do wzrostu ciśnienia w jamie brzusznej i tonu macicy, katar może zakłócać normalne oddychanie i powodować niedotlenienie. Wysokie temperatury mogą stanowić zagrożenie dla ciąży, powodując przerwanie łożyska lub poronienie. Dlatego przy pierwszych objawach choroby konieczne jest leżenie w łóżku i leczenie, ale tylko pod nadzorem lekarza.
Dieta i waga mamy
Po 18 tygodniach apetyt matki jest dość dobry i następuje aktywny przyrost masy ciała, gdy dziecko rośnie, a ciało kobiety zmienia się zgodnie z jego potrzebami. W tym okresie możesz dodać od 4 do 6 kg, chociaż jeśli kobieta jest szczupła - wzrost może być większy, a z tendencją do nadwagi - mniejszy. Od tego czasu konieczne jest kontrolowanie wzrostu masy ciała, aby nie dodawać nadmiaru - przy porodzie będzie to trudne.Jeśli waga znacznie przekracza ustalone normy, warto omówić z lekarzem stosowanie specjalnej diety lub dni postu. Zabronione jest przechodzenie na dietę lub rozładowywanie się, może to zaszkodzić zdrowiu i dziecku, ponieważ tylko lekarz opracuje dietę, biorąc pod uwagę spożycie wszystkich niezbędnych składników odżywczych i witamin dla płodu.
Odżywianie w tym okresie powinno być kompletne i zróżnicowane, prawidłowe i zdrowe. Konieczne jest wykluczenie słodyczy i cukru, nadmiaru mąki i słodyczy z żywności, ograniczenie tłustych i węglowodanowych potraw. Zostaną pokazane produkty zawierające wapń - nabiał, orzechy, a także mięso i ryby, warzywa i owoce. Musisz jeść frakcyjnie, w małych porcjach, przyjmuj dodatkowe witaminy, jeśli jedzenie nie jest w nich bogate. Konieczne jest ograniczenie spożycia soli i przypraw, zatrzymują one wodę i mogą powodować obrzęk.
Oznaki zamrożonej ciąży
Chociaż obecnie tak rzadko się zdarza, czasami pojawia się patologia, taka jak zanikająca ciąża. W takim przypadku rozwój płodu zatrzymuje się i umiera w macicy. Płód w tym stanie nie jest odrzucany przez ciało kobiety, a matka może długo nie podejrzewać, co się stało. Zwykle dzieje się tak w pierwszym trymestrze ciąży, a w drugim krytycznym okresie będzie uważane za 16-18 tygodni ciąży. Głównymi przyczynami tego są obecność złych nawyków, infekcji, patologii genetycznej i skutków zewnętrznych szkodliwych czynników.
Nie jest łatwo zidentyfikować takie patologie samodzielnie - zwykle pierwsze podejrzenia to brak wzrostu brzucha i ruchów płodu, pojawienie się bólów brzucha i plamienia. Dokładna diagnoza jest ustalana na podstawie ultradźwięków i wymaga jak najszybszego dalszego łyżeczkowania macicy. W przyszłości konieczne jest długotrwałe leczenie i rehabilitacja.
Płeć
18 tygodni ciąży, okres największej zmysłowości kobiety, chociaż seks może nie być tak zróżnicowany pod względem postawy i intensywności, ale będzie pełen czułości i nowych wrażeń. Teraz minęło zagrożenie aborcją, nadeszła spokojna chwila i możliwe jest uprawianie miłości tyle, ile się chce. Jedyną rzeczą jest unikanie nadmiernej głębokości penetracji i ciasnych kontaktów, poz, z naciskiem na brzuch. W przeciwnym razie przyjemne odczucia i uwolnienie hormonów przyjemności przyniosą korzyści zarówno emocjonalnemu tonowi kobiety, jak i dziecka. Zakaz intymności zostanie nałożony z groźbą pęknięcia łożyska, wycieku wody lub ciąży mnogiej, niewydolności szyjki macicy.