Polip szyjki macicy: leczenie i objawy
Zdrowie kobiet często podlega różnego rodzaju „atakom”. Często przedstawiciele płci pięknej ujawniają guzy różnego rodzaju: łagodne i złośliwe. Polip szyjki macicy należy do pierwszej grupy chorób. Ta dolegliwość jest na pierwszym miejscu na liście kobiecych patologii, które często występują w medycynie. Polipy tworzą się z wielu powodów w każdym wieku. Od łagodnych „brodawek”, które można zobaczyć na zdjęciu, pozbyć się wielu skutecznych technik.
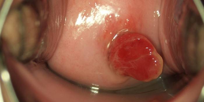
Jakie są polipy na szyjce macicy
Polipy szyjki macicy są klasyfikowane jako nowotwory, które tworzą się z nabłonka szyjki macicy i rosną w świetle macicy. Innymi słowy, przerost szyjki macicy - błony śluzowej szyi. Wyrostek może tworzyć się na wewnętrznej powierzchni macicy lub na szyi. Polip jest łagodnym wzrostem, ale jeśli nie zaczniesz leczenia na czas, może przekształcić się w raka szyi macicy.
Polip szyjki macicy jest często diagnozowany u kobiet w wieku 30-50 lat, ale w niektórych indywidualnych przypadkach występuje u młodych dziewcząt i nastoletnich dziewcząt. Nowotwory są pojedyncze i mnogie (polipowatość). Nadal rozróżniaj te rodzaje „brodawek”:
- gruczołowy;
- nietypowy;
- włóknisty polip;
- gruczołowy włóknisty.

Objawy
Często polipy małych rozmiarów nie objawiają się, kobieta dowiaduje się o obecności choroby przez przypadek, po badaniu ginekologicznym. Większe nowotwory, które blokują kanał szyjny lub wykraczają poza jego granice, powodują następujące objawy:
- zwiększa się wydzielina z pochwy;
- ból i wydzielina z krwią podczas i po kontakcie seksualnym;
- poważne awarie cyklu miesiączkowego;
- ciągnięcie bólu w dolnej części pleców;
- niepłodność
Przyczyny
Istnieje wiele przyczyn, które mogą powodować powstawanie polipów szyi macicy. Wśród nich są następujące okoliczności:
- Zaburzenie hormonalne, często spowodowane zmianami związanymi z wiekiem w ciele.
- Długie stresujące sytuacje, depresja.
- Osłabiony układ odpornościowy jest kolejnym powodem pojawienia się polipów na szyi.
- Naruszenie procesów metabolicznych czasami prowadzi do powstawania polipów szyjnych, które wyglądają jak brodawki.
- Choroby przenoszone drogą płciową (opryszczka narządów płciowych, kandydoza, ureaplasmosis, chlamydia, pochwa) i dysbioza pochwy.
- Polipy na szyi występują również z powodu niektórych „kobiecych” chorób: endometriozy, mięśniaków macicy, torbieli jajników, erozji szyi macicy i innych.
- Urazy o charakterze mechanicznym, które są konsekwencjami porodu, aborcji, środków diagnostycznych, procesów zapalnych błony śluzowej szyjki macicy.
Czy to niebezpieczne?
Polipy szyjki macicy wywołują raka u 1,4% ogólnej liczby chorób. U kobiety noszącej dziecko czasami powstają narośla na błonie śluzowej. Może to prowadzić do rozwoju różnych powikłań: niskie łożysko, niewydolność szyjno-szyjna, spontaniczne poronienie. Jeśli patologia szyjki macicy jest źródłem niektórych objawów, należy ją usunąć. Zagrożenie dla zdrowia jest reprezentowane przez polipy, które powodują następujące objawy:
- brązowawy zrzut;
- problemy z poczęciem dziecka, bezpłodność;
- miesiączka w niewielkiej ilości (kicz), przedłużone miesięczne wypisywanie lub ich całkowity brak;
- silny ból podczas seksu;
- krwawienie z macicy.
Diagnoza choroby
Aby dokładnie określić obecność choroby we współczesnej medycynie, stosuje się kilka rodzajów badań. Głównymi metodami diagnozowania polipów są następujące środki:
- Badanie przez ginekologa, który odbywa się za pomocą specjalnych luster.
- Badanie ultrasonograficzne (USG) narządy miednicy: pomaga dowiedzieć się, czy w wewnętrznych narządach płciowych występują procesy zapalne i pokazuje obecność polipów w szyi macicy.
- Histeroskopia - szczegółowa analiza kanału szyjki macicy i jamy macicy za pomocą kamery wideo.
- Kolposkopia - dokładna kontrola szyi za pomocą aparatu (kolposkop).
- Biopsja szyja macicy określa charakter polipów szyjnych: łagodny lub złośliwy.
Leczenie polipów szyjki macicy
Klasyczna terapia mająca na celu zwalczanie polipów szyjnych jest zabiegiem chirurgicznym. Operacja może całkowicie wyeliminować łagodną formację. Okresowo w leczeniu polipów stosuje się leki lub tradycyjną medycynę. Przed użyciem leków, rozpoczęciem leczenia alternatywnymi przepisami, zdecydowanie musisz odwiedzić ginekologię i skonsultować się ze specjalistą.

Leki
Terapia lekami jest rzadko stosowana jako główny proces leczenia polipów. Leki tylko spowalniają rozwój patologii i łagodzą jej objawy, ale nie leczą choroby. Lekarze czasami przepisują te leki:
- COC - złożone doustne środki antykoncepcyjne (na przykład Regulon, Yarina, Zhanin). Te tabletki pomagają zmniejszyć rozmiar polipów, które wychodzą z macicy podczas menstruacji.
- Gestageny („Utrozhestan”, „Dufaston” i tak dalej).Popraw układ hormonalny.
- Terapia antybiotykowa („Monomycyna”, „Zitrolide” i inne). Takie leki są stosowane w leczeniu przewlekłych infekcji, które powodują tworzenie się polipów na szyi.
- Kompleks witamin i minerałów. Konieczne jest wzmocnienie ciała. Szczególnie ważne jest przyjmowanie witaminy B, żelaza, wapnia.

Środki ludowe
Środki ludowe czasami pomagają wyleczyć polip szyi szyi. Przepisy babci, podobnie jak leki, są pomocnicze, a nie główne metody terapii. Istnieje kilka skutecznych tradycyjnych leków, które często stosuje się do wykrywania polipów w kanale szyjki macicy:
- Najbardziej skuteczną metodą leczenia jest stosowanie wacików z gazy i waty nasączonej naturalnymi olejami roślinnymi i ziołami. Rzeczywiste wykorzystanie szałwii, glistnika, rumianku, nagietka, sznurka, olejku z rokitnika zwyczajnego. Zrobimy więc wacik nasączony naparem ziołowym lub olejem. Wejdź głęboko do pochwy, jak najbliżej szyjki macicy. Pozostaw na 1,5-2 godziny lub całą noc.
- Kolejny interesujący przepis na polipy. Bierzemy proszek uzyskany przez mielenie nasion dyni (6 łyżek stołowych), gotowane żółtka (7 sztuk). Wlej pół litra oleju słonecznikowego do składników, dokładnie wymieszaj. Mieszanina jest lekko rozgrzana przez parę (nie więcej niż 15-20 minut). Dawkowanie: pić produkt przez 5 dni rano przez 1 łyżeczkę. Przerwa na tydzień i powtórz kurs ponownie. Ten lek należy przechowywać na zimno.
- Wlać alkohol lub wódkę (3 szklanki) 50 stawów rośliny złote wąsy. Stoimy 10 dni. Spożywać 20 kropli dwa razy dziennie 30 minut przed posiłkiem. Okres leczenia trwa jeden miesiąc, po dziesięciodniowej przerwie kurs jest powielany. Aby uzyskać maksymalny efekt, musisz przejść pięć kursów.
Metody usuwania polipów
Każda procedura usuwania polipów z szyi macicy obejmuje zaliczenie testów na przenoszenie drogą płciową i inne choroby przenoszone drogą płciową. Jeśli obecność infekcji zostanie potwierdzona, przed usunięciem nowotworu musisz go wyleczyć. Jak usunąć polip szyjki macicy? Obecnie istnieje kilka opcji eliminacji łagodnego wzrostu.
Łyżeczkowanie
Kiretaż lub ginekologiczny łyżeczkowanie polega na usunięciu górnej warstwy błony śluzowej macicy. Przed zabiegiem kobieta otrzymuje leki, które prowadzą do rozszerzenia ścian macicy. W tym celu stosuje się specjalne narzędzia przedłużające. Polipy usuwa się za pomocą określonych urządzeń medycznych lub systemu próżniowego.

Polipektomia
Polipektomia kanału szyjki macicy polega na rozluźnieniu formacji na szyi. Duże polipy (do 3 cm) są odkręcane, a ich nogi są kauteryzowane prądem elektrycznym. Wzrosty często powstają z powodu rozszerzenia endometrium, dlatego po polipektomii chirurg wykonuje łyżeczkowanie błony śluzowej macicy i kanału szyjki macicy. Jest to konieczne w przypadku diagnozy pooperacyjnej. Po wykryciu nieprawidłowego działania jajników zaleca się leczenie lekami hormonalnymi.
Laserem
Usunięcie polipów za pomocą lasera lub koagulacji laserowej odbywa się piątego lub siódmego dnia cyklu. Nowoczesny sprzęt w wielu klinikach w kraju to świetna szansa na przeprowadzenie operacji w ciągu kilku godzin. Po laserowym leczeniu nowotworów na szyjce macicy nie pozostawiają blizn ani blizn, pacjent traci minimalną ilość krwi. Koagulacja laserowa nie jest niebezpieczna dla zdrowia, nie wymaga rehabilitacji, daje doskonały wynik.
Metoda fal radiowych
Za pomocą fal radiowych o wysokiej częstotliwości patologiczne formacje szyjki macicy - polipy można odparować. Metodę tę można stosować w 5–10 dniu cyklu miesiączkowego.Ta procedura absolutnie nie powoduje bólu, podczas operacji zdrowe tkanki prawie nie są uszkodzone, więc nie będzie żadnych blizn. Technika fal radiowych jest wykonywana nawet u nieródek.

Leczenie po usunięciu polipa w szyi
Kiedy kobieta jest eliminowana przez łagodny wzrost, czasami pociąga za sobą bóle ciągnące w dolnej części otrzewnej. Czasami pacjenci skarżą się na wydzielinę po usunięciu polipa kanału szyjki macicy. Jest to uważane za normę, w takich sytuacjach ginekolodzy zalecają picie środka znieczulającego. Około tydzień po operacji usunięcia polipa zaplanowano badanie.
W przypadku wykrycia nawrotu choroby chirurg ponownie zdrapuje polip i wysyła go do analizy (w celu wykluczenia guza nowotworowego). Nawet po pozbyciu się problemu przepisywane są leki przeciwzapalne i przeciwbakteryjne, które należy przyjmować przez siedem do dziesięciu dni. W przypadku wykrycia dysfunkcji jajników hormony zalecają środki terapeutyczne, trwające od około kilku miesięcy do sześciu miesięcy.
Co zrobić z polipami kanału szyjki macicy podczas ciąży
Polipy na szyi podczas ciąży nie wpływają na rozwój i rozwój dziecka. Kiedy ginekolog zdiagnozuje ten problem u kobiety w pozycji, leczenie nie jest zalecane. Zaleca się rozpoczęcie terapii dopiero po urodzeniu dziecka. Istnieją wyjątki od zasad. Jeśli wzrosty są liczne, różnią się dużymi rozmiarami lub polip szyjki macicy podczas ciąży krwawi, wówczas możliwe jest usunięcie formacji przed drugim trymestrem.
Dowiedz się jak oznaki mięśniaków macicy.
Wideo
Polipy w kanale szyjki macicy. Elektro-precyzja.
Recenzje
Walentyna, 27 lat Wzrost szyjki macicy odkryto po urodzeniu dziecka. Byłem na badaniu poporodowym z ginekologiem, który zidentyfikował polip. Lekarz wskazał kierunek łyżeczkowania, „brodawka” została szybko usunięta w znieczuleniu miejscowym. W tydzień zdałem sobie sprawę z nieco niższego brzucha - to jedyna konsekwencja operacji.
Daria, 35 lat Kilka lat temu okazało się, że mam szyjki macicy. Liczba wydzieliny z pochwy wzrosła, nastąpiła awaria cyklu miesiączkowego. Przyjaciel doradził kilka skutecznych przepisów na tradycyjną medycynę. Przez miesiąc pozbyłem się polipów.
Elena, 55 lat Przeszła rutynowe badanie przez kobietę-lekarza. Podejrzewając pojawienie się patologii, ginekolog wysłał mnie na badanie ultrasonograficzne. Okazało się, że na szyi macicy znajdują się polipy. Przypisana koagulacja laserowa. Procedura jest absolutnie bezbolesna i szybka. Po leczeniu nie nastąpił jeszcze nawrót choroby.