Trenażery do zębów
Piękny i zdrowy uśmiech może otworzyć wiele drzwi i dać pewności siebie. Jeśli chcesz uzyskać proste zęby bez operacji i kosztownych zabiegów, zwróć uwagę na trenera ortodontycznego. Czym jest to urządzenie i jak z niego korzystać, dowiesz się poniżej.
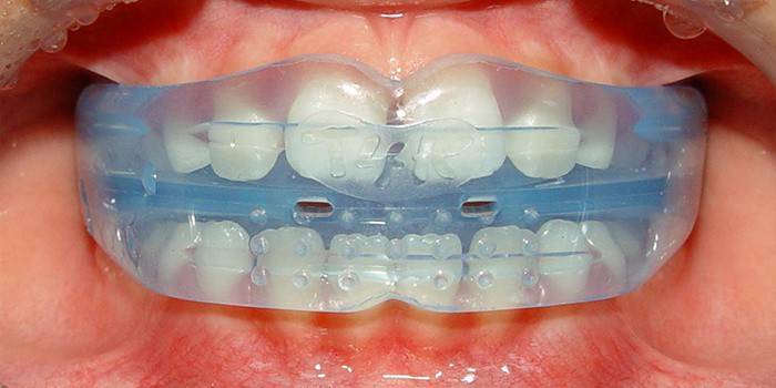
Co to jest trener?
Jednym z najczęstszych problemów, które pacjenci zwracają się do dentystów, jest wada zgryzu. Jeśli wcześniej konieczne było wyeliminowanie takiej wady przez długi czas - noszenie aparatów ortodontycznych - teraz wszystko stało się znacznie łatwiejsze. Trenażery zębów to miękkie i elastyczne urządzenie, które z łatwością przybiera kształt szczęki. Z ich pomocą można rozwiązać wiele problemów. Urządzenie dentystyczne jednocześnie:
- eliminuje wadę zgryzu;
- łagodzi nacisk na szczękę;
- wyeliminować skręcanie zębów;
- usuwa nawyk ssania palca lub języka;
- trenuje okrągły mięsień ustny;
- normalizuje oddychanie przez nos.
W zależności od charakteru problemu zalecane są różne rodzaje instalacji:
- Trener do aparatów ortodontycznych. Służy do uzyskania bardziej skutecznego wyniku, który skraca proces leczenia. Ponadto instalacja zapobiega uszkodzeniu tkanek miękkich w jamie ustnej.
- Trener preortodontyczny. Urządzenie jest przypisane małym dzieciom w celu wyrównania ugryzienia przez dzieci.
- Wspólny trener. Jest przepisywany w przypadku naruszeń stawu skroniowo-żuchwowego. Pomaga wyeliminować ból i napięcie.
- Wykończenie trenera. Jest to ostatni etap terapii ortodontycznej. Projekt został zainstalowany w celu skonsolidowania wyniku.
- Trener dla dorosłych. Jest przepisywany pacjentom z wadami zgryzu w wieku dorosłym, pomaga usunąć chrapanie, przywrócić oddychanie przez nos. Ma bardziej sztywny materiał konstrukcyjny.

Dlaczego potrzebuję trenera dla dorosłych?
Miękka podkładka jest w stanie rozwiązać wiele problemów związanych z pracą szczęk, a także wyeliminować główne przyczyny ich powstawania. W zależności od naruszenia, dentysta zostanie przypisany do tego rodzaju trenera zębów. Główne wskazania do korzystania z urządzenia przez osoby dorosłe obejmują:
- niemożność użycia aparatu ortodontycznego;
- zły lub zbyt głęboki kęs;
- przemieszczenie zęba do przodu żuchwy;
- problemy z wymową
- niewłaściwe połykanie;
- złe nawyki, takie jak ssanie języka, pióra lub palca;
- osoba nie może oddychać przez nos, ale używa ust.
Trener korekcji brań
Naruszenie powstawania okluzji może rozpocząć się w okresie niemowlęcym. Nieprawidłowa pozycja sutków, palec w ustach - wszystkie te są głównymi przyczynami problemu. Ponadto negatywny efekt wynika z niewłaściwego połykania, oddychania przez usta. Jeśli te złe nawyki nie zostaną wyeliminowane, w przyszłości dziecko może zarobić na zwijanie się zębów, uszkodzenie szczęki. Korzystanie z aparatu przed ortodontycznego rozwiąże problemy na najwcześniejszych etapach.
Z urządzenia można zacząć korzystać podczas ząbkowania. Specjalna konstrukcja pomoże ustalić prawidłową pozycję ust, języka, co jest bardzo ważne dla normalnego oddychania i połykania. Po pierwsze, lepiej użyć miękkiej płytki, a następnie mocniejszego trenera. Pierwszy system może być noszony przez sześć miesięcy. Aby osiągnąć wynik, zaleca się noszenie urządzenia na dziąsłach przez co najmniej 1 godzinę dziennie. Regularne stosowanie urządzenia poliuretanowego wyeliminuje wadę w jamie ustnej dziecka.
Dla kogo silikonowy trener jest przeciwwskazany
Zaleca się stosowanie trenerów do zębów nie tylko wtedy, gdy dana osoba ma złożony problem, którego nie można rozwiązać bez interwencji mechanicznej. Na przykład ugryzienie zębów w obszarach bocznych można wyeliminować tylko za pomocą długotrwałego leczenia. Głównymi przeciwwskazaniami do korzystania z urządzenia są przekrwienie błony śluzowej nosa i poważne problemy psychiczne pacjenta.
Gdzie kupić i ile
Możesz kupić trenera regeneracji u ortodonta, który przepisuje ci leczenie, w wyspecjalizowanych aptekach lub w Internecie. Cena takiego symulatora jest przystępna, w zależności od producenta i rodzaju produktu do wyrównania zgryzu. Będziesz musiał zapłacić od 2400 do 8000 rubli za urządzenie wysokiej jakości. Chociaż instalacja nie jest zbyt tania, kosztuje ją pieniądze. Urządzenie daje namacalne rezultaty w krótkim czasie.
Dowiedz się więcej, czego potrzebujesz płytki zęba.
Wideo
Trenażery ortodontyczne - świetny zamiennik aparatów ortodontycznych!
Recenzje
Elena, 23 lata
W dzieciństwie jeden ząb podczas wzrostu zaczął wspinać się na inny, spoczywał prawie na podniebieniu. To naprawdę zrujnowało uśmiech i go usunąłem. Następnie kupiłem trener do wyrównania serii. Noszenie go nie jest zbyt wygodne, ponieważ zwiększa się produkcja śliny, ale jest bardzo skuteczne. Przez 3 miesiące zęby wróciły na miejsce! Szkoda, że wcześniej o tym nie wiedziałem.
Tatyana, 32 lata
Dziecko ma silną krzywiznę zębów górnej szczęki. Chcieli wziąć aparaty ortodontyczne, myśleli, że to około 30 000 rubli, więc zdecydowaliśmy się na trenera. Urządzenie przypomina ochraniacz na usta dla bokserów. Dla dzieci istnieje możliwość wyboru różowego lub niebieskiego koloru. Zmuszając mojego syna do noszenia w nocy. Nosimy miesiąc, podczas gdy nie ma oczywistych zmian, ale zęby wyraźnie bolą.
Julia, 28 lat
Kupiliśmy trenera za radą dentysty. Dokonali adaptacji specjalnie dla zębów mojego dziecka, więc okazało się to drogie. Musiałem zapłacić za urządzenie 6000 rubli, jednak w porównaniu z aparatami ortodontycznymi jest to grosz.Dziecko nosi symulator w ciągu dnia i wkłada go w nocy, chociaż jest to bardzo niewygodne. Eliminacja wady stała się zauważalna po 2 miesiącach.