Metástases - o que é, em que estágio do câncer, sintomas e tratamento
De acordo com dados médicos, mais de 30.000 células anormais se formam no corpo todos os dias no corpo, que se tornam cancerosas. O sistema imunológico humano encontra, destrói. Se, por algum motivo, o sistema de defesa do corpo não funcionou ou “perdeu” as células cancerígenas, elas começam a proliferar e a se transformar em tumores malignos. As células patogênicas do foco primário, com a ajuda do fluxo linfático ou do fluxo sanguíneo, penetram em outros órgãos, tecidos, formando metástases (metástases).
O que são metástases
As metástases são focos secundários de um aumento na maioria dos tumores malignos. Processos patológicos no corpo causam a formação de focos em linfonodos distantes e locais. Estes fenômenos dizem respeito aos órgãos internos:
- pulmões;
- o fígado;
- glândulas mamárias;
- coluna vertebral;
- o cérebro.
Os estudos de metástase baseiam-se no facto de os focos secundários se formarem quase imediatamente após o início da formação de tumores malignos. Estruturas celulares fragmentadas penetram através da região do estreitamento luminal do vaso. Esse tipo de disseminação é chamado de hematogênico, também pode afetar as estruturas linfáticas, e isso já se refere ao modo linfogênico de aumentar o número de metástases.
Com a disseminação de neoplasias no câncer de mama e pulmão, elas afetam o cérebro e são transferidas com o líquido linfático e o sangue. Então eles param em uma determinada área, saem do vaso e formam um foco de metástase. Esse processo se desenvolve lentamente no estágio inicial, muitas vezes ocorre de forma assintomática, portanto, os médicos não conseguem notá-los imediatamente.
Em que estágio do câncer eles aparecem
O momento da aparição, a disseminação de metástases por todo o corpo não pode ser inequívoca. Por exemplo, as metástases de câncer se espalham pelo sistema linfático durante a transição do primeiro para o segundo estágio.Se as neoplasias caíram em sistemas de órgãos mais distantes, isso indica um terceiro ou quarto estágio do câncer. Isso significa que os diferentes estágios do desenvolvimento da doença são determinados pelos processos de metástase, e não o contrário.

Razões
A medicina moderna está constantemente estudando o desenvolvimento de patologias oncológicas, mas ainda não pode dar uma resposta exata porque o câncer com metástases aparece. O principal problema é determinar o mecanismo de formação celular anormal. Se você puder resolvê-lo, os médicos serão capazes de impedir sua aparência e o câncer poderá derrotar. No caso de metástases, é necessário falar sobre uma doença negligenciada, que é muito difícil de curar. Somente a terapia agressiva e séria pode ajudar, então a principal tarefa de todos os médicos é prevenir o aparecimento de metástases.
Um caso foi observado na prática, onde o desenvolvimento de câncer é muito lento, durante um período de 2-3 anos. O crescimento acelerado de formações anormais é desencadeado por mecanismos que não foram estudados pela medicina moderna. Os médicos podem identificar apenas as causas gerais do aparecimento do câncer, que se desenvolve em uma forma metastática:
- um forte enfraquecimento do sistema imunitário devido a patologias concomitantes ou terapia medicamentosa melhorada;
- a formação no próprio tumor de uma nova rede ramificada de capilares;
- nos 3 estágios do câncer, formam-se as primeiras metástases, que indicam a transição da doença para o estágio seguinte;
- o foco da patologia é em lugares que contribuem para a disseminação do tumor por todo o corpo humano;
- idade do paciente (por via de regra, as metástases muitas vezes desenvolvem-se em jovens devido a um metabolismo mais rápido);
- focos secundários ocorrem mais frequentemente com um tipo de câncer infiltrativo.
Caminhos de Distribuição
A diferença entre um tumor maligno e um benigno é que ele não está limitado a um local da lesão. Câncer se espalha para outros órgãos, cresce em tecidos vizinhos. A metástase é uma jornada através do corpo de células que perderam suas conexões intercelulares. O processo ocorre das seguintes maneiras:
- Lymphógeno. A célula cancerosa entra primeiro nos linfonodos regionais localizados próximos ao órgão que afetou o processo maligno. Quando o tumor progride, mais e mais células estão concentradas na linfa, penetram nos linfonodos removidos. Por via de regra, localizam-se perto dos navios do fígado, baço, intestinos, glândulas supra-renais.
- Hematogeno. As metástases são transportadas junto com o sangue. Células se movem através dos vasos, entram em outros lugares, às vezes muito distantes da formação maligna primária. Freqüentemente, os órgãos que possuem uma ampla rede capilar tornam-se alvos, de modo que os pulmões e o fígado são mais freqüentemente afetados.
- Implantação. Este caminho realiza a disseminação das células cancerígenas através das membranas serosas (mesotélio). O processo se desenvolve se o tumor está localizado perto do mesotélio, o nó do tumor atingiu grandes tamanhos, que com o aumento atinge a pleura, peritônio, pericárdio. Células cancerosas semeiam a superfície da cobertura serosa, formando um processo chamado carcinomatose. Muitas vezes, esse processo é caracterizado pelo acúmulo de fluido nas cavidades (hidrotórax, ascite). Esta via de distribuição fala do estágio 3-4 da patologia, ocorre frequentemente em pacientes idosos, o que complica muito a vida e o tratamento da doença.
Sintomas
O câncer metastático se manifestará de diferentes maneiras, depende da localização dos focos secundários. O principal sintoma de qualquer tipo de câncer será a dor. Os principais sintomas do desenvolvimento de patologistas incluem as seguintes manifestações:
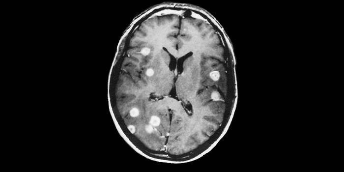
- Se metástases entram no cérebro, uma pessoa desenvolve desorientação, dor de cabeça, náusea, tontura, problemas de fala e visão e dificuldade para andar.
- Se metástases atingem os ossos, então a dor pode não ser. Muitas vezes, o principal sintoma do desenvolvimento da patologia é que o osso se rompe sem danos ou com pequenos danos.
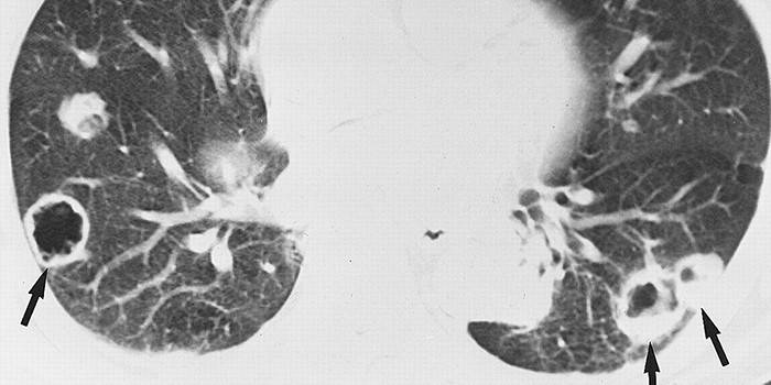
- Quando metástases cancerosas entram nos pulmões, ocorrem sintomas que indicam outros problemas. Este órgão deve ser verificado se uma pessoa se queixar de dor no peito, falta de ar, tosse (com sangue, seco, molhado).
- No fígado, um tumor metastático é muitas vezes acompanhado por perda de peso aguda, náusea, icterícia, perda de apetite.
- O primeiro sinal de metástases da pele, muitas vezes torna-se o aparecimento de nódulos sólidos dolorosos de forma oval ou redonda. Muitas vezes eles têm a cor da pele vermelha ou, se é melanoma, preto ou azul. Em alguns casos, vários nódulos se formam em pouco tempo.

Variedades
Existem vários tipos de metástases, então o diagnóstico de patologia se torna um passo importante antes do tratamento. As seguintes variedades da doença são distinguidas:
- Tipo Virchovsky. Localiza-se no pescoço na região supraclavicular, ocorre como complicação do câncer gástrico. Esta posição do local do câncer é devido à direção do fluxo linfático da cavidade abdominal. Neoplasias malignas ao longo dos gânglios linfáticos elevam-se até o nódulo cervical, onde não podem ir mais longe, portanto se instalam e formam um tumor secundário. A metástase de Virchovsky ocorre devido ao desenvolvimento de câncer pancreático, fígado e outras estruturas abdominais.
- Kruckenberg. Também tem uma origem linfogênica, localizada nos ovários. Cerca de 35-40% de todas as metástases ovarianas são responsáveis por esses tumores secundários. Este tipo aparece com lesões malignas dos ductos biliares, intestinos, glândulas mamárias, estômago, cervical, câncer de bexiga.
- Schnitzler. A penetração de um processo maligno no tecido da localização próxima do reto, nos gânglios linfáticos pararretais, é caracterizada. Essas neoplasias podem ser sentidas com o exame digital retal, são selos dolorosos. Muitas vezes ocorrem com o desenvolvimento do câncer de estômago.
- Osteoblástico. Metástases cancerosas na forma de tecido ósseo. Eles contribuem para a atividade dos osteoblastos e, portanto, têm esse nome. Contra o pano de fundo desses processos, o cálcio é depositado ativamente nos tecidos ósseos, o que leva ao crescimento acelerado. Os focos surgem no contexto da tiróide, do leite e do ferro, do cancro da próstata, dos linfomas e sarcomas. O prognóstico para essa doença é muitas vezes desfavorável.
- Solitário. Este tipo é manifestado na forma de formações únicas de grandes nós que estão localizadas no cérebro, tecido pulmonar.
- Osteolítico. A oncogênese secundária está localizada nas estruturas ósseas, mas o efeito nos ossos se manifesta de maneira diferente. Eles destroem o tecido ósseo, ativam os osteoclastos, o que causa mudanças destrutivas.

Estágios
Por via de regra, os doutores falam do cancro, mas as metástases também têm certa graduação, que se marca com a letra M. Somente as formações distantes tomam-se em conta. Os seguintes estágios são distinguidos:
- Mx - o estudo não foi realizado, portanto, a presença de metástases é desconhecida;
- Mo - Formações removidas do tumor não encontradas;
- M1 - formações removidas detectadas.
Perigo de metástase
Com oncopatologias, um desfecho fatal na maioria dos casos ocorre após a metástase, e não por causa do tumor primário. Isso indica um alto risco de focos secundários, que consiste nos seguintes pontos:
- Eles afetam o funcionamento de órgãos e sistemas vitais.
- Com o aparecimento de metástases, o corpo não é mais capaz de resistir independentemente à oncologia.
- Anemia pode se desenvolver.
- Metástase tem um efeito negativo sobre o curso do processo oncológico, a condição do paciente, que está se deteriorando muito.

Como determinar metástases
Um método diagnóstico eficaz em uma primeira etapa de neoplasmas secundários não se desenvolveu no momento. Há sempre uma chance de que as células cancerígenas migrem. Por exemplo, da glândula mamária, eles podem se espalhar para os ossos e o cérebro, e o câncer colorretal migra para o fígado e os pulmões. Células individuais destacadas podem ser detectadas apenas no estágio em que já cresceram.
A escolha de um teste adequado é determinada pela localização do tumor primário. Um oncologista pode diagnosticar tumores metastáticos usando métodos de imagem (geralmente tomografia computadorizada). É possível fazer isso apenas quando eles atingem uma massa aparente, a doença é muitas vezes extremamente difícil de tratar nesta fase. O diagnóstico precoce do câncer metastático aumenta significativamente a chance de sobrevivência do paciente. Use os seguintes casos de teste:
- ultra-som
- Raio X
- osteoscintilografia (os ossos do corpo são escaneados);
- RM (ressonância magnética);
- tomografia por emissão de positrões;
- tomografia computadorizada.
Um exame de sangue de rotina ajuda a detectar a presença de células isoladas se houver um aumento das enzimas hepáticas, o que indica câncer hepático metastático. Em algumas situações, mesmo se houver uma doença, o teste mostra a norma. Os dados de todos os testes não dão confirmação final, eles são comparados com os sintomas presentes, um exame geral do corpo, às vezes uma biópsia é realizada.

São metástases visíveis no ultra-som
O método de pesquisa ultrassônica é o principal método, se necessário, para detectar a presença de uma disseminação metastática de neoplasias malignas. O ultra-som refere-se a testes com alto conteúdo de informação, por isso é frequentemente prescrito na prática diagnóstica moderna. Como regra geral, o paciente precisa passar por vários exames para confirmar o diagnóstico.

Tratamento
Os focos secundários das neoplasias malignas indicam a transição da doença para o último estágio, o prognóstico muitas vezes é desfavorável. O tratamento é selecionado levando em consideração a localização do tumor primário, seu tamanho e o número de metástases. Para terapia, vários métodos básicos de tratamento do câncer são usados:
- terapia medicamentosa;
- radioterapia;
- remoção cirúrgica.

Medicação
A orientação médica do tratamento envolve o uso de tais métodos: imunoterapia, quimioterapia, terapia hormonal e direcionada. Um efeito quimioterápico ajuda a impedir o crescimento, a disseminação de focos secundários. Por via de regra, esta técnica combina-se com a ablação de radiofrequência e radiação. Os bisfosfonatos são amplamente utilizados em oncologia. São tomados por via oral ou administrados por via intravenosa. As drogas mais populares deste grupo são as seguintes drogas:
- Zometa. Um dos medicamentos mais eficazes que se aplicam a medicamentos de 3ª geração. Ajuda a alcançar uma dinâmica positiva na hipercalcemia e na osteoporose. A principal vantagem do produto é ação seletiva. O medicamento penetra bem no tecido ósseo, tem um mínimo de efeitos colaterais, é bem tolerado pelos pacientes.
- Bondronato. Usado para combater focos de câncer. Este medicamento é frequentemente usado por médicos, administrados por via intravenosa ou tomados por via oral. A ferramenta ajuda a aliviar a dor, reduzir a duração da terapia de radiação. A dose de medicação é prescrita pelo médico individualmente.
- Bonefos. Um bom medicamento que se relaciona com os inibidores da reabsorção óssea. Ajuda a parar o desenvolvimento do processo maligno, retardar a propagação de focos secundários. O medicamento suprime a atividade dos osteoclastos, melhora o bem-estar geral do paciente, reduz a probabilidade de novos focos.Bonefos é a melhor escolha no tratamento do câncer de mama.

Tratamento cirúrgico
Os médicos tentam imediatamente remover o tumor primário, que no futuro pode causar o aparecimento de metástases. Em seguida, realiza-se a excisão direta das próprias formações secundárias dos locais de sua localização. Para isso, a remoção de linfonodos, fibra adjacente é cortada. Durante a operação, o cirurgião corta parte do tecido saudável, porque pode conter micrometástases.

Previsão
O aparecimento de formações metastáticas no corpo humano indica um prognóstico desfavorável para o paciente. Isso indica a transição da patologia para o último estágio de desenvolvimento. Previsões para diferentes tipos de câncer metastático:
- Metástases abdominais. Nesse estágio, a probabilidade de morte nesse tipo de patologia é de 5%. Com a detecção oportuna da doença, um curso de quimioterapia e reabilitação, as chances de um desfecho favorável da pessoa aumentam significativamente.
- Glândulas supra-renais. Nesse caso, danos a outros órgãos geralmente ocorrem, portanto, o resultado depende em grande parte da situação clínica específica.
- Mediastino. Tal metástase nos primeiros estágios de detecção pode terminar positivamente, mas nos estágios posteriores, o resultado é desfavorável.
- Os intestinos. Ao entrar em contato com um oncologista após o início dos primeiros sintomas, há uma tendência a um prognóstico favorável da doença. Metade dos pacientes exibe dinâmica positiva com intervenção cirúrgica oportuna, que é combinada com quimioterapia e radioterapia. As previsões nos últimos estágios são decepcionantes.
- Fígado. A expectativa de vida por dano hepático sem tratamento é de 4 meses. Ao receber assistência adequada e pontual, a vida de uma pessoa é prolongada até 1,5 anos, a quimioterapia pode dar outro ano.
- Pulmões. Com uma única ou múltipla metástase desse órgão, sua aparência torna-se um fator desfavorável antes de 12 meses após a cirurgia para remover o local primário do câncer. Sobrevivência por 5 anos após uma única neoplasia secundária, o tratamento adequado é de cerca de 40%.
