Neutrófilos segmentados em um teste de sangue - causas e conseqüências de anormalidades em crianças ou adultos
No mercado médico, você pode ver muitas ofertas para diagnosticar a condição do corpo com uma gota de sangue. As tecnologias modernas nos permitem tirar conclusões profundas sobre as contagens de sangue reveladas. Um indicador é o nível de neutrófilos segmentados nas células do sangue que protegem nossa saúde quando expostos a fatores indesejados no corpo.
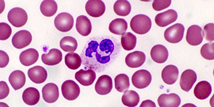
O que são neutrófilos segmentados
O maior subgrupo de células leucocitárias (48-78% da massa leucocitária total do corpo), que desempenha importante função no processo de neutralizar infecções fúngicas e bacterianas, é chamado de neutrófilos. As células do sangue humano são classificadas por maturidade. O primeiro grupo inclui granulócitos imaturos (0,5% do total), os linfócitos de segunda faceta (1 a 6%) e o terceiro segmentado (47 a 72%).
As células são produzidas na medula óssea vermelha e amadurecem imediatamente até o segundo estágio (em forma de bastonete), após o que entram no plasma sanguíneo, onde são divididas em segmentos. Uma célula segmentada se torna no final do processo de divisão, e após 2-5 horas ela já pode ser enviada para as paredes dos capilares para proteger todos os sistemas do corpo humano.
Os neutrófilos têm um efeito antibiótico direcionado particularmente pronunciado, que ocorre devido à presença de proteínas antibióticas maduras em seus grânulos. As células lutam ativamente pelo foco da inflamação, entram nos tecidos danificados e destroem a microflora patogênica. A principal função dos neutrófilos é a fagocitose ativa. A migração para a área afetada se torna possível devido a um aumento no local da infecção por fatores quimiotáticos especiais que atraem as células.
A vida útil dos neutrófilos é de 5 a 9 dias em mulheres e homens. A célula inclui lisozima e fosfatase alcalina, que destroem as membranas de bactérias patogênicas. Junto com essas substâncias, a lactoferrina, uma proteína que inclui:
- conecta íons de ferro;
- participa no processo de ligação de bactérias;
- regula a quantidade de neutrófilos produzidos pela medula óssea.
Para determinar as capacidades do corpo na luta contra a inflamação resultante, o médico pode prescrever um teste de sangue segmentado. As principais indicações para examinar os níveis de células são:
- amigdalite;
- sépsis
- tuberculose
- apendicite
- sangramento
- ataque cardíaco;
- gangrena
- tumores;
- envenenamento e lesão;
- leucemia linfocítica.

Norma de sangue segmentada
Indicadores normativos de células são indicados em porcentagem. Este parâmetro faz parte da fórmula leucocitária, graças à qual podemos concluir sobre o estado do corpo. O nível da norma depende da idade da pessoa. Desvio aceitável da norma na direção do aumento durante a gravidez e a permanência do corpo em situações de emergência. Os valores específicos obtidos da análise são comparados com o seguinte padrão:
Categoria etária | Norma,% |
---|---|
Crianças até um mês | 45-80 |
1-6 meses | 16-45 |
6-12 meses | 16-45 |
De um ano a 6 anos | 25-26 |
7-12 anos | 35-60 |
12-15 anos | 40-65 |
Adultos | 47-72 |
Neutrófilos segmentados aumentados
O desvio da norma para um aumento de leucócitos neutrofílicos é chamado de neutrofilia e é um sinal claro de que as forças imunológicas do corpo resistem a bactérias ou vírus penetrados. Essa análise é especialmente importante em crianças pequenas, que até agora não podem formular claramente reclamações sobre seu bem-estar. Se os neutrófilos segmentados são elevados, esta é uma ocasião para um diagnóstico mais aprofundado, que pode especificar a razão para o desvio do nível celular do normal. As razões são:
- linfossarcoma;
- disfunção tireoidiana;
- processos inflamatórios de várias etiologias;
- tuberculose.

Neutrófilos segmentados abaixo do normal
Se, de acordo com os resultados da análise, se verificar que os neutrófilos segmentados são reduzidos, então isso pode indicar diferentes patologias e distúrbios em crianças e adultos, tais como:
- leucemia nuclear aguda;
- anemia
- radiação ou dano de radiação;
- neutropenia congênita ou adquirida;
- envenenamento químico;
- ecologia pobre;
- uso prolongado de drogas (Analgin, Penicilina);
- alergias
- Anomalia de Pelger (alteração benigna dos glóbulos brancos);
- genética - predisposição do tipo hereditário.
Analgin leva a uma diminuição no número de células no sangue. Com seu volume reduzido em uma criança ou adulto, a catapora, a gripe e a hepatite podem ser diagnosticadas. Se os neutrófilos se desviarem da norma, não entre em pânico imediatamente. Os resultados não dão uma garantia de 100% de patologia. Somente após passar os testes e obter o mesmo indicador, é necessário identificar a causa dos desvios e encaminhar o paciente para o tratamento.
Normalização de neutrófilos segmentados
Se o paciente tiver uma diminuição ou aumento de neutrófilos segmentados no sangue, a causa do desvio da norma é primeiro identificada e, então, é selecionada uma maneira de combatê-la. Mais frequentemente, a patologia é causada por doenças inflamatórias ou virais, eliminadas por tomar antibióticos ou medicamentos antivirais. Se a inflamação é causada por uma alergia, anti-histamínicos são prescritos.
Muitas vezes, o desvio das células da norma causa helmintíase, enquanto você precisa tomar medicamentos antiparasitários e medicamentos para sustentar o fígado. Na inflamação crônica, que é rara, os medicamentos hormonais são prescritos. A automedicação é perigosa - a dosagem, frequência de uso e duração do curso de tomar as drogas é determinada pelo médico.
Como complemento à terapia tradicional, o tratamento com remédios populares pode ser usado. Com inflamação e ataques de vírus no corpo, você precisa beber uma grande quantidade de líquido para remover toxinas. Algumas ferramentas ajudarão:
- uma decocção de cones de coníferas;
- frutas, bagas, verduras;
- decocções de rosa mosqueta, buckthorn mar;
- infusão de folhas de nogueira;
- inclusão de carne magra e fibra em alimentos;
- camomila, erva-cidreira, chás de hortelã;
- é útil andar mais no ar fresco, praticar esportes, abandonar os maus hábitos.

Video
Teste de sangue de neutrófilos