Como tratar a periodontite
Saber o que é periodontite e como tratá-la é benéfico para qualquer pessoa, porque uma doença pode ser encontrada independentemente da idade e da posição. Esta doença é o estágio intermediário da doença gengival, após gengivite e antes da doença periodontal. Os sintomas incluem sangramento nas gengivas, dor e coceira.
Métodos de tratamento de periodontite

Para saber como tratar a periodontite, será útil que o paciente consulte um dentista para descobrir os sintomas e sua eliminação complexa. Em uma consulta pessoal, um periodontista irá diagnosticar, ajudar a se livrar dos sinais da doença com a ajuda de limpeza ou medicação. Em casos avançados, uma operação de imobilização ou cirúrgica será necessária e, para uma cura rápida, usar remédios caseiros.
Consulta periodontista
A primeira maneira de curar a periodontite é contatar o periodontista, onde ele examinará os sintomas da doença e prescreverá métodos adicionais para se livrar dela. A principal coisa que o médico analisa ao diagnosticar é a gravidade do sangramento, a formação de bolsas gengivais. Se disponível, o diagnóstico é confirmado e a próxima medicação é prescrita.
Se a periodontite for grave, houver uma mordida quebrada, os dentes estiverem faltando ou precisarem ser removidos, então, além do periodontista, o paciente será examinado por um ortopedista com um clínico geral. Isso é feito para prever a condição dos dentes, elaborar um plano de tratamento, uma radiografia e concordar com as próteses. Em casos simples, o paciente é examinado apenas por um periodontista.
Limpeza de goma
A próxima opção, como tratar periodontite em adultos por limpeza, será o uso de um procedimento profissional para remover o tártaro de sob e acima das gengivas. Isso é necessário porque, na maioria dos casos, a causa da periodontite é higiene insuficiente na boca.Devido à má limpeza do esmalte, formam-se placas moles e depósitos de pedras duras. Livrar-se deles com ultra-som ou laser irá eliminar a doença nos estágios iniciais.
Aparelho de vetor para o tratamento de periodontite
Se você estiver interessado em saber se a periodontite pode ser curada sem o uso de terapia complexa, os dentistas responderão positivamente. Isso é possível quando uma doença descomplicada é tratada através da limpeza com a moderna máquina de ultrassom Vector. Ele é equipado com uma cabeça especial que remove a pedra, remove microrganismos, lustra a raiz do dente e atualiza a superfície das gengivas. O resultado expresso é mostrado após uma sessão.
As vantagens de usar o dispositivo são:
- a capacidade de penetrar em bolsas periodontais sem cirurgia a uma profundidade de 1 cm;
- falta de danos ao esmalte, dentina, tecidos profundos;
- falta de dor;
- baixo custo de tratamento;
- saturação de tecidos com cálcio.
A escolha da terapia medicamentosa para várias doenças periodontais
Em continuação de como tratar a periodontite após a remoção da placa dentária e refrescando a memória da higiene bucal adequada, a terapia medicamentosa é realizada. É necessário para aliviar os processos inflamatórios, eliminar o inchaço com dor, sangue, supuração. Além disso, a terapia anti-inflamatória suprime a microflora em bolsas ósseas para que a doença não progrida.
Tratamento antibiótico da periodontite
Na difícil questão de como tratar a periodontite, pode-se distinguir separadamente a terapia geral com antibióticos. Eles são prescritos por um médico, tendo em conta a gravidade da inflamação, as características individuais do paciente. Se uma pessoa tem doenças concomitantes, é prescrito um esquema de 10 dias de injeções de antibiótico, sem elas - um ciclo de comprimidos. Drogas preferidas são:
- Metronidazol;
- Lincomicina;
- Clindamicina;
- Nolicina;
- Siflox;
- Tarado

Terapia local
Como tratar a periodontite, todos os especialistas nesta área sabem. Além da antibioticoterapia geral, existe a possibilidade de ação local. Para fazer isso, aplique:
- Lavar a cavidade bucal com anti-sépticos (Clorexidina, Miramistina);
- lavagem de bolsas periodontais com peróxido de hidrogênio;
- aplicações com géis que aliviam a inflamação com edema.
O curso da terapia local é de 10 dias, durante os quais o paciente chega à odontologia para enxaguar os bolsos e aplicar aplicações, ou enxágue independentemente em casa. Somente na odontologia é realizada fisioterapia, durante a qual a periodontite é afetada por um laser ou eletroforese. Isso alivia a inflamação e ajuda a curar o tecido rapidamente. A terapia local inclui o uso de pastas dentífricas especializadas que fortalecem as gengivas.
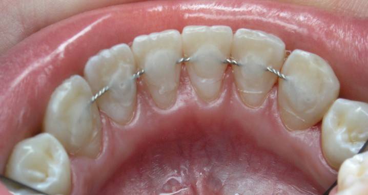
Splinting teeth for periodontal disease
Uma opção sobre como tratar a periodontite é um procedimento de imobilização. É mostrado quando os dentes têm uma mobilidade de 2 ou 3 graus, e o objetivo do processo é fortalecer os molares, aliviar a inflamação e a progressão da atrofia óssea. Tudo isso fortalece os dentes e prolonga sua vida. Quando splinting usar materiais especiais de fibra de vidro ou próteses que cubram a parte inferior das raízes dos dentes.
Durante o procedimento, um sulco é perfurado nos dentes, que é fechado com material de fibra de vidro e selado com os compostos comuns fotopolimerizáveis. Existe a opção de substituir a fita por coroas, então para elas é necessário realizar despulpação, virada das raízes e instalação das próprias próteses. O uso de próteses de fecho, que simultaneamente fortalecem os dentes e substituem os ausentes, também é possível. Os preços das próteses são especificados na clínica.

Tratamento cirúrgico da periodontite
Em casos graves, o tratamento das gengivas para periodontite exigirá intervenção cirúrgica. Este é um método radical que permite interromper completamente o desenvolvimento da doença. Durante a cirurgia, o tecido de granulação inflamado, que foi formado no local do osso reabsorvido, é removido sob as gengivas. O tecido também é removido dos bolsos, onde chips de ossos artificiais são plantados em seu lugar.
Como tratar a doença da gengiva em casa
Para tratar a periodontite em casa usando métodos alternativos, você deve primeiro consultar um médico para que ele remova os depósitos e conduza uma terapia apropriada. A periodontite não pode ser curada por si só, porque é uma doença muito grave, levando a conseqüências crônicas desagradáveis na forma de formação de pus e afrouxamento dos dentes. O tratamento máximo possível para a inflamação em casa é enxaguar a boca com decocções de camomila ou calêndula para um efeito desodorizante.
Você não pode usar soluções de óleo para tratamento, porque isso dificulta a drenagem do conteúdo inflamado dos bolsos, levando a um aumento do edema e da dor. Remova ligeiramente os enxaguamentos de inchaço com aplicações de sal marinho, refrigerante e saquinho de chá. Para desinfetar a cavidade oral, você pode usar lavagens com anti-sépticos, o uso de suco de cranberry, esfregando mel e pasta de limão nas gengivas.
Massagem periodontite
Para saber como tratar a periodontite sozinho, consulte o seu método de massagem gengival. Ajudará a melhorar a circulação sanguínea nas gengivas, periodontal, processos alveolares. A massagem é realizada com o polegar e o indicador, capturando a gengiva dos dois lados. Ao realizar a técnica, você precisa pressionar as gengivas com facilidade, fazer movimentos de baixo para cima e para trás. Durante a massagem, certifique-se de que todas as áreas são igualmente massageadas.
É melhor realizar a técnica diariamente antes de dormir depois de escovar os dentes com pincel e pasta, usando fio dental. Para aumentar o efeito, você pode adicionar mel e sal à massagem, que aliviará rapidamente a inflamação, o inchaço e a dor. Além da periodontite, a massagem elimina outras doenças da gengiva, é útil até mesmo para pessoas saudáveis, a fim de melhorar a nutrição dos tecidos da mucosa oral e dos molares.
Vídeo: tratamento a laser de periodontite
Tratamento de periodontite a laser Picasso
Comentários
Maria, 40 anos Ao descobrir que estava sangrando nas gengivas, continuei a eliminá-lo enxaguando com refrigerante. Tendo sentido uma dor aguda nas gengivas, que não consegui suportar, fui ao médico. Descobri que eu tinha periodontite, exigindo tratamento imediato. Ele teve que ser tratado com terapia antibiótica antiinflamatória.
Nikolay, 39 anos Por muito tempo adiei ir ao médico com sangramento nas gengivas, porque pensei que tudo iria. A desatenção aos dentes fez-se sentir - desenvolvi periodontite, que exigia imobilização. Eu tive que tratar a doença por muito tempo, mas esta foi uma lição para mim - eu monitorei cuidadosamente a condição da cavidade oral para prevenir a inflamação.