Hnisavá angína: ako liečiť chorobu
Ak sa u dieťaťa alebo dospelého pacienta zistí hnisavá tonzilitída, je ťažké liečiť doma. Príznaky tohto ochorenia sa rýchlo vyvíjajú, majú vážne následky a miestne komplikácie, preto by ste nemali odkladať návštevu lekára. Oboznámte sa so známkami prejavov choroby, možnými príčinami, metódami liečby a prevencie.
Čo je hnisavá angína
V medicíne sa angína chápe ako množstvo infekčných chorôb dýchacích ciest. Jedná sa o zápal palatínových oblastí a mandlí, ku ktorým dochádza v dôsledku rôznych infekcií. Ochorenie je sprevádzané nepríjemnými symptómami, nákazlivými, môže sa prenášať kontaktom a vzduchovými kvapkami - prostredníctvom riadu, hygienických potrieb. Je užitočné naučiť sa doma liečiť hnisavé bolesti v krku a určiť jej príznaky, aby sa minimalizovali vedľajšie účinky.

príznaky
Angína s vredmi na mandlích sa vyznačuje nasledujúcimi obvyklými príznakmi pre deti a dospelých. Toto je:
- častá horúčka;
- zväčšené lymfatické uzliny, ich bolesť;
- opuch krku, hrtana;
- kožné vyrážky;
- kašeľ, nádcha;
- bolesť brucha
- bolesti kĺbov;
- slabosť tela, človek vyzerá unavene;
- teplota 39 stupňov;
- ťažkosti s prehĺtaním potravín, tekutín.
U detí
Už vo veku troch rokov môže mať dieťa bolesti v krku. Je to kvôli reštrukturalizácii ochranných mechanizmov imunitného systému. Príznaky prejavu nákazlivej choroby u detí sú:
- odmietnutie jedla;
- slabosť;
- vysoká horúčka;
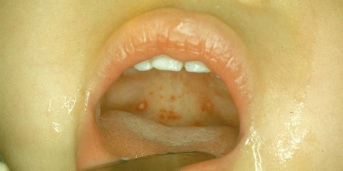
- purulentný biely plak alebo hnisové uzliny s léziami mandlí;
- ťažkosti s rozprávaním;
- bolesti celého tela;
- bolesti hlavy, nepríjemné pocity v hrdle po požití.
dôvody
Závažný zápal mandlí môže vyvolať bolesť hrdla v dôsledku vniknutia infekčných patogénov - baktérií. Kýchaním, kašľom a hovorením s pacientom sa týmto ochorením ľahko nakazíte, takže pacienti sú na chvíľu izolovaní od ostatných. Infekčné ochorenie sa môže objaviť, ak existuje:
- akékoľvek ochorenie ďasien, kaz, stomatitída;
- neošetrený výtok z nosa;
- znížená imunita;
- podchladenie;
- nepretržité vdychovanie znečisteného vzduchu;
- fajčenie;
- poranenia mandlí;
- chronické ložiská vírusovej infekcie ORL orgánov (adenoidy, sínusitída);
- citlivosť tela na streptokokové antigény.
klasifikácia
Podľa typu lokalizácie ochorenia lekári klasifikujú nasledujúce typy hnisavej angíny, ktoré sa líšia symptómami:
- flegmonózní - Angína sa vyznačuje zvýšením telesnej teploty nad 40 stupňov, opuchom krku, existuje riziko zastavenia dýchania. Vyžaduje okamžitú lekársku pomoc.
- Lacunar angina - na lazniach mandlí je viditeľný belavý povlak, ktorý sa môže šíriť okolo vredov. Je odstránený lekárom pomocou špeciálnych nástrojov.
- katarálnej horúčky oviec - znaky prejavu sú sčervenané zväčšené mandle. Najbezpečnejší typ, ale malo by sa s ním zaobchádzať. Nezanecháva to žiadne následky.
- Folikulárna tonzilitída - ťažko zanedbaný katar. Vlasové mandle zväčšujú, zväčšujú sa, je cítiť silnú bolesť, nie je možné prehltnúť tuhé jedlo. Pacientka má horúčku, bolesť a zvýšenie lymfatických uzlín.
komplikácie
Ak urobíte diagnózu včas a začnete s liečbou, angína nezanecháva následky. Komplikácie po chorobe, ako napríklad:
- prenikanie mikróbov krvou do srdcového svalu, vytvorenie zápalového centra, ktoré po niekoľkých mesiacoch môže viesť k reumatickej myokarditíde a nevoľnosti;
- zápal stredného ucha, zväčšené lymfatické uzliny, otrava krvi;
- akútna bakteriálna tonzilitída - veľké množstvo hnisu a mikroorganizmov v blízkosti miesta zápalu mandlí vyžaduje chirurgický zákrok;
- chronická tonzilitída, folikulárna tonzilitída, hltanový absces - sú časté u detí, jedná sa o hromadenie hnisu v lymfatických uzlinách v blízkosti hltanu, plné udusenia;
- laryngitída, šarlach, reumatická horúčka, septická artritída;
- ochorenie obličiek
- sínusitída, sínusitída, hnisavá angína.
diagnostika
Inkubačná doba trvá týždeň. Ak zistíte prvé príznaky bolesti v krku, mali by ste okamžite kontaktovať otolaryngológa. Po vyšetrení pacienta a zistení charakteristických príznakov sa diagnostikuje podľa klinického obrazu a faryngoskopie. Pacientovi sa odoberie náter zo sliznice orofaryngu a vyseje sa na detekciu hemolytickej streptokokovej infekcie. Ďalej sa vykonáva sérologický test (krvné sérum) na stanovenie protilátok proti antigénom streptokokových baktérií.
Purulentná liečba angíny
Striktná schéma a dodržiavanie liečebného postupu sa líšia pri liečbe hnisavej angíny u dospelých a detí. Nemôžete svojvoľne prestať brať drogy, aj keď nastane úľava. Neošetrený proces poškodenia mandlí vedie ku komplikáciám a relapsom. Pacientovi s hnisavou tonzilitídou a dopravnými zápchami je predpísaný odpočinok na lôžku, šetrná strava s tekutými jedlami a bohatý nápoj na odstránenie toxínov.
Približný liečebný režim pozostáva z užívania mnohých liekov rozdelených do skupín:
- antibiotiká - vyberte polosyntetické aminopenicilíny (Augmentin, Amoxiclav), cefalosporíny (Cefotaxím, Ceftriaxón, Cefuroxím). Makrolidy (makropén, azitromycín) (zakázané počas tehotenstva).
- Kombinované lieky.
- Miestne oplachovanie - pomoc s antiseptikami (Lugol, chlorhexidín, Ingalipt, chlorofylipt), resorpčné tablety (Trachisan, Oracept, Gorlospas).
- Antihistaminiká a protizápalové lieky - Claritin, Tavegil, Erius, Paracetamol, Nurofen.
- Infúzna detoxikačná terapia a glukokortikoidy (Metylprednizolón, dexametazón, hydrokortizón) na ošetrenie tkanív v oblasti palatínov.
- Profylaxia bicilínu - po odstránení exacerbácie je pacientovi predpísané antibiotikum - penicilínový prípravok Bicilín-5.

Ako kloktať
Ak máte bolesti v krku, pociťujete bolestivé prehltnutie, musíte odstrániť hnis, musíte vypláchnuť ústa dezinfekčnými roztokmi, striedajúcimi sa formuláciami. Vezmite:
- roztok sódy, soli a jódu, medu;
- šťava z červenej repy, citrónová infúzia, odvarky z harmančeka, nechtíka, eukalyptu;
- Lugolov - ako súčasť jódu, glycerolu a jodidu draselného slúži ako antibakteriálny roztok, ničí stafylokoky, huby, droždie, môžu iba rozmazávať tkanivá mandlí;
- furatsilin - silné antiseptikum, dve tablety sa rozpustia v pohári prevarenej vody na podanie;
- Chlorophyllipt - hotový roztok, oplachovanie sa vykonáva každú hodinu;
- roztok kyseliny boritej (lyžička na pohár), tri percentá peroxidu vodíka, manganistan draselný.
antibiotiká
Na odstránenie príčiny hnisavého hrdla typu hnisavé (baktérie) sa vyžadujú antibakteriálne prípravky penicilínu:
- Azitromycín, klaritromycín - zničiť infekciu, spôsobiť minimálne vedľajšie účinky;
- bioparoks - lokálne antibiotikum, ktoré eliminuje zameranie zápalu, je rýchle účinné;
- Gramidín Neo a jeho variant s anesteticko - resorpčnými tabletami s antibiotikami, zmierňuje bolesť, ničí zápalovú infekciu.
Metódy tradičnej medicíny
Aby sme pochopili, ako liečiť hnisavú tonzilitu doma, je potrebné venovať pozornosť metódam tradičnej medicíny:
- rýchle oplachovanie s odvarom harmančeka, eukalyptu, kvetov nechtíka alebo šťavy z červenej repy;
- žuvať koreň calamus päťkrát denne, nechajte v ústach 15-20 minút;
- vypite odvar anízu (lyžičku v pohári vriacej vody, nechajte 20 minút);
- vezmeme čerstvú cibuľu trikrát denne na lyžičku;
- žuť plátok citróna pomaly, nejedzte po hodine, opakujte postup každé štyri hodiny;
- v noci položte na tvár kúsok propolisu a cez deň kloktajte infúziou.
Liečba hnisavej angíny u detí
Na odstránenie choroby je potrebné prísne dodržiavať liečebný režim predpísaný pediatrom. Pri tejto chorobe sú zakázané otepľovacie krémy, obklady a inhalácie pary. Liečba hnisavej tonzitídy u dieťaťa (lieky predpisuje lekár):
- Rýchla liečba hrdla pomocou aerosólov Ingalipt, Faringosept, Lugol (neodporúča sa používať u dojčiat), Hexoral, Tantum Verde (kontraindikovaná až tri roky) - raz denne.
- Opláchnite roztokom Miramistin, roztok jódu (od dvoch rokov).
- Absorpčné tablety - Faringosept, Stopangin, Strepsils, Grammidin, Hexoral tabs (od 5 rokov).
- Antipyretické lieky - suspenzia paracetamolu, čapíky Panadol, Kalpol, Ibuklin, Ibufen, Nurofen tablety. U dojčiat sa odporúča znížiť teplotu na 38 stupňov po roku - 39, s rizikom záchvatov - 37,5.
- Antibiotiká sa predpisujú: penicilíny, amoxicilín, flemoxín, solutab, makrolidy sumamed, azitrox, cefalosporíny cefixím, cefalexín. Liečba trvá 5 až 10 dní. Sulfonamidy (Biseptol, Bactrim) nie je možné predpísať z dôvodu nízkej účinnosti.
- Antihistaminiká - Cetrínový sirup, Suprastin, Fenistil.

Dôsledky
Po zotavení sa pacient podrobí všeobecným vyšetreniam krvi a moču, podrobí sa elektrokardiogramu. Mesiac po chorobe sa dieťaťu nepodávajú očkovania a reakcie na Mantoux. Nebezpečné komplikácie za mesiace alebo niekoľko rokov sú:
- encefalitída, pankaritída, myokarditída, perikarditída;
- hemoragická vaskulitída, trombocytopenická purpura;
- akútna pyelonefritída, glomerulonefritída;
- meningitída, sepsa;
- lymfadenitída s abscesom alebo hlienom.
prevencia
Na prevenciu hnisavého alebo iného závažného typu angíny pectoris sa odporúča použiť preventívne opatrenia:
- vyhnúť sa podchladeniu;
- Nezneužívajte studené nápoje, zmrzlinu, najmä v horúcom prostredí;
- posilňujú imunitu s vitamínmi a tvrdnutím;
- včasné ošetrenie zubného kazu a iných chorôb ústnej dutiny;
- pravidelne vypláchnite ústa a krk vriacou vodou alebo slabým soľným roztokom.
Fotografie hnisavého bolesti v krku




video
Hnisavá tonzilitída. Ako liečiť chronickú angínu? Hovorí EXPERT / Hovorí odborník /