Kandidóza jazyka u detí a dospelých - príčiny, príznaky a liečba
Ak sa v ústnej dutine objaví biely povlak, môže to naznačovať choroby tráviaceho traktu alebo nadmernú aktivitu huby, ktorá vyvoláva ochorenie, ako je kandidóza jazyka. Ovplyvňuje všetky vekové skupiny - od novorodencov až po starších ľudí, takže každý by mal poznať hlavné príznaky a rizikové faktory. Prečo sa toto ochorenie vyskytuje a dá sa vyliečiť samostatne?
Čo je kandidóza v jazyku
U ľudí sa toto ochorenie nazývalo "drozd" pre hlavný príznak - zrážané masy, ktoré sa hromadia v centre rozmnožovania patogénnych mikroorganizmov. Lekársky názov pochádza z pôvodcu choroby: kvasinková huba Candida Albicans. Drozd jazyka je typom plesňovej infekcie a jej patogén sa považuje za podmienečne patogénny, pretože je prítomný v mikroflóre zdravého jedinca. Na prechod na nebezpečnú triedu je potrebné zatlačiť zvonku.
Súvisiace choroby
Existuje niekoľko porúch fungovania vnútorných orgánov a systémov, ktoré idú ruka v ruke s kandidózou jazyka. Niektorí lekári považujú túto chorobu za predzvesť cukrovky, pretože prostredie, ktoré sa vyvíja na pozadí aktívnej konzumácie potravín bohatých na jednoduché sacharidy, je ideálne pre aktivitu a množenie húb Candida. Choroba môže byť sprevádzaná:
- Candida cheilitis - očkovanie plesňovými spórami sliznice pier a kože okolo nich, potom patogénny mikroorganizmus preniká do úst.
- Gingivitída je zápal ďasien, pri ktorom sa zvyšuje počet patogénnych mikróbov a je narušené zloženie mikroflóry, vďaka čomu je huba Candida aktívna.
- Mykotické záchvaty - objavujú sa na pozadí rozbitého zhryzu, spôsobujú menšie zranenia, cez ktoré môže huba preniknúť do tkaniva.
- Dysbakterióza - narušenie črevnej mikroflóry v neprítomnosti liečby môže spôsobiť problémy s mikroflórou ústnej dutiny.

Príčiny choroby
K prechodu huby z kategórie podmienečne patogénnych na nebezpečnú kategóriu dochádza najmä na pozadí všeobecného poklesu imunity, čo vyvoláva nekontrolovanú reprodukciu mikroflóry. Ohrozené sú deti, staršie osoby, ľudia s HIV. Ďalej v zozname príčin choroby sú:
- Tehotenstvo - vyvoláva výkyvy v hormonálnom prostredí, ktoré ovplyvňujú stav mikroflóry.
- Nedostatok vitamínov B, kyselina askorbová.
- Vysoký psychologický stres - depresia so stresom oslabuje imunitný systém.
- Poranenie slizníc ústnej dutiny, najmä ďasien (často u ľudí s protézami) - je porušením ochrannej bariéry, ktorá pomáha húb preniknúť dovnútra a začať zápalový proces.
- Príjem hormonálnych prípravkov, najmä perorálnych kontraceptív - stav mikroflóry, hormonálne zmeny pozadia.
- Dlhodobá liečba antibiotikami, imunosupresívami - negatívne ovplyvňuje aj imunitný systém.
- Radiačná terapia, chemoterapia - analogicky s liečbou liekom ovplyvňuje stav obranyschopnosti tela.
Príznaky kandidózy
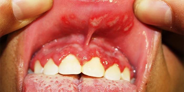
Klasický príznak drozdov ovplyvňujúcich ústnu dutinu, lekári nazývajú vznik belavého povlaku, ktorý môže úplne pokryť sliznicu a môže sa objaviť iba na určitých miestach. Kandiáza má však niekoľko podôb, z ktorých jedna často prebieha úplne bez prítomnosti tvarohovej hmoty. Medzi ďalšie príznaky je tiež možné zaznamenať prítomnosť bolesti alebo nepohodlia počas jedla, ale úplný klinický obraz je potrebné študovať pre každú formu osobitne.
U dospelých
Ak sú deti prevažne charakterizované pseudomembranóznou formou, ktorá je vždy akútna, potom u dospelých môže byť kandidóza jazyka chronická a dá sa vyjadriť niekoľkými spôsobmi. Lekári vykonajú nasledujúcu klasifikáciu tejto choroby podľa jej príznakov:
- Pseudomembranózne - zjemnenie povrchu jazyka, hyperémia slizníc, pokrytie hustou belavou vrstvou na vnútornej strane líc, podnebie. Je možné, že pálenie, bolesť pri jedle.
- Hyperplastický - vzhľad papúl a plakov, ktoré majú nepravidelný tvar a môžu tvoriť skupiny, ktoré sa navzájom spájajú. Lokalizácia je vo vnútri líca a jazyka. Ústna dutina sa stáva suchou, nepohodlie je neustále prítomné.
- Akútna atrofia - začervenanie povrchu jazyka a rohov pier, rednutie epitelu, atrofia papily jazyka, opuchy. Množstvo plaku typického pre toto ochorenie je minimálne, je lokalizované na periférii. Prípady horúčky sú zriedkavo diagnostikované.
- Chronická atrofia - suchý okraj pier a slizníc, hyperémia membrán, výskyt plaku, bolesť a pocit pálenia.
Známky drozdu u detí
Podľa lekárskych štatistík je u novorodencov kandidóza jazyka pozorovaná častejšie ako u starších detí alebo dospelých. Väčšinou je to kvôli nedokonalosti imunitného systému, ale problém sa môže zhoršiť prenosom huby z matky (počas pôrodu alebo počas kŕmenia dieťaťa), čo zvyšuje jeho množstvo v tele dieťaťa. Ochorenie pokračuje v akútnej forme, preto má nasledujúce príznaky:
- poruchy spánku;
- plačlivosť;
- vzhľad bielych zŕn v ústach, ktorých počet sa postupne zvyšuje, úplne prekrývajú povrch jazyka;
- tvorba krvácavých vredov, ktoré spôsobujú nepohodlie dieťaťa.
diagnostika
Na diagnostiku jednoduchého vyšetrenia a na štúdium anamnézy nestačí - so zameraním na sťažnosti pacienta bude môcť zubný lekár zostaviť iba počiatočný obrázok. Na potvrdenie hypotéz sa však budú vyžadovať laboratórne štúdie bakteriologického materiálu a štúdia stupňa kontaminácie slizníc v ústach. Dôvodom dôkladnej diagnózy je podobnosť symptómov kandidózy a lišajníkov, aftóznej stomatitídy a niekoľkých ďalších infekčných zubných chorôb.
Klinické štúdie
Primárnou analýzou je darovanie krvi pre PCR - polymerázovú reťazovú reakciu. Táto analýza poskytuje absolútne presný výsledok, ktorý nájdete v ten istý deň. Pohodlie spočíva v jednoduchosti čítania výsledkov: ak je známka pozitívna, patogén je prítomný a aktívny, ak nie, chýba. Okrem toho sa na vylúčenie cukrovky budú vyžadovať krvné testy na huby Candida a na chronickú kandidózu a hladinu cukru.
Škrabanie jazyka
Povinný diagnostický postup pri podozrení na drozd je zoškrabanie jazyka a následné laboratórne vyšetrenie materiálu. 2 hodiny pred návštevou lekára by ste nemali piť ani jesť jedlo, preto vám odporúčame, aby ste si ráno ráno neperovali zuby. Materiál sa odoberie pomocou špeciálnej špachtle, po ktorej sa získaná látka v banke prenesie do laboratória, kde sa vyšetrí pod mikroskopom. Výsledok má iba dve možnosti:
- Nezistené - žiadne ochorenie.
- Zistené - je prítomný špecifický fragment DNA.

Liečba dospelých
Terapia by mala byť lokálna a interná: tá druhá zahŕňa všeobecné posilnenie imunity a používanie antimykotík, ktoré sa používajú navonok. Okrem toho sa do schémy lokálnej terapie zavádzajú výplachy ústnej dutiny, ktoré menia pH mikroflóry. Je možné, že budete musieť konať v súvislosti s sprievodnými chorobami, aby ste zabránili bakteriálnym infekciám, ktoré sa môžu vyvinúť na pozadí kandidózy. Všeobecný terapeutický režim zahŕňa:
- miestne a vonkajšie antimykotiká;
- polyénové antibiotiká;
- imunostimulanty;
- glukonát vápenatý;
- Vitamíny B;
- zdroje železa.
Lokálna terapia
Kandidózu jazyka a niekoľko ďalších zubných chorôb vo väčšine štádií, s výnimkou posledného, s tvorbou plakov a prichytením bakteriálnej infekcie, je možné liečiť použitím vonkajších činidiel. Inhibujú aktivitu huby a zabraňujú prenikaniu mikroorganizmov do tkanív. Na tento účel môžete použiť ako protiplesňové masti (pery, pokožku okolo), tak aj oplachovacie roztoky. Lekári radia:
- Chlórhexidín.
- Hexetidín.
- Metylén.
- Fukortsin.
- Lugolov.
- Dekamin.
Systémová antimykotická liečba
Ak závažnosť drozdu v jazyku spôsobuje, že lokálna terapia nie je účinná, lekári pripoja k hlavnému režimu jedno alebo viac systémových liekov patriacich do skupiny antimykotík. Ovplyvňujú huby v celom tele, zastavujú jeho činnosť a bránia rozmnožovaniu. Medzi rôznymi antimykotikami patria iba:
- Diflucan;
- Nizoral;
- nystatín;
- amfotericín;
- ekonazol;
- Levorinum.

Funkcie liečby u detí
Všeobecná schéma boja proti orálnemu ochoreniu u dojčiat je takmer rovnaká ako u dospelých - začnú liečbu lokálnou antimykotikou a ak je to potrebné, sú spojené systémové lieky. V závažnom prípade sa používajú antibiotiká, ale pod dohľadom lekára. prednosti:
- Opláchnutie sa uskutočňuje roztokom manganistanu draselného, peroxidu vodíka, sódy.
- Sliznice sa pravidelne ošetrujú Lugolom, roztokom striebra.
- Ako antimykotiká sa používajú flukonazol, Nizoral a Diflucan.
Ako liečiť drozd v jazyku
Presnú schému použitia vonkajších a miestnych liekov na kandidózu by mal zostaviť lekár so zameraním na vlastnosti tela a stupeň rozvoja choroby. V niektorých prípadoch stačí užiť tablety nystatínu a vypláchnuť ich antiseptikami a pri silnom drozde po jazyku u dospelých môže byť potrebných niekoľko antimykotík v kombinácii s antibiotikami. V tabuľke sú uvedené najúčinnejšie lieky:
|
Názov lieku |
Uvoľnenie formulárov |
Trvanie liečby |
|---|---|---|
|
Diflucan |
Kapsuly 50/100 mg |
2 týždne |
|
Nizoral |
200 mg tablety |
3 týždne |
|
nystatín |
Tablety 250/500 tisíc jednotiek Masť 100 tisíc kusov |
10 dní |
|
amfotericín |
Prášok 50 tisíc kusov Masť 30 tisíc kusov |
2 týždne |
|
imidazol |
Tablety mikonazolu 250 mg Klotrimazol tablety 100 mg |
3 týždne |
|
Levorinum |
Tablety 25/50 tisíc jednotiek |
10 dní |
Prípravky na obnovu mikroflóry jazyka
Spolu s užívaním liekov, ktoré ovplyvňujú huby, lekári považujú za potrebné používať lieky, ktoré normalizujú mikroflóru. Časť tohto sa dá dosiahnuť správnym stravovaním (fermentované mliečne výrobky), ale budú sa vyžadovať aj lieky, ktoré sa užívajú počas 14 až 20 dní. Obzvlášť efektívne, podľa odborníkov:
- laktulóza;
- Ayufolak;
- bifidumbacterin;
- Bifistim;
- Maksilak.
Ako vypláchnuť ústa
Hlavným spôsobom liečby postihnutých oblastí je opláchnutie, ktoré sa vykonáva pomocou antiseptických liekov alebo bylinných nálevov. Všetky tekutiny musia byť zásaditej povahy, musia mať protizápalové alebo dezinfekčné vlastnosti. Procedúra sa vykonáva podľa harmonogramu, s intervalom 2 hodín, posledný - pred spaním. Má zmysel oplachovať:
- roztok jedlej sódy;
- alkoholová tinktúra nechtíka (1 lyžička v 200 ml vody);
- kyselina boritá (2%);
- jódinol (1 lyžička v 200 ml vody).

Špeciálna strava
Výrobky z droždia, všetky druhy chleba a syry pre ľudí s diagnózou kandidózy jazyka by mali byť odstránené z ponuky. Je dôležité znížiť množstvo kyslých potravín: odmietnuť čerstvé ovocie, mäso, huby, sušené ovocie, ocot. Zdroje cukru sú tiež zakázané. Správne zásadité prostredie vytvorí zelenina, orechy, hnedá ryža, strukoviny, mliečne výrobky. Povinný cesnak a grapefruit. Jedlo sa podáva varené, tekuté alebo drvené tak, aby nepoškodilo sliznicu ústnej dutiny.
Ľudové lieky
Ako pomocnú metódu pridanú k hlavnému liečebnému postupu kandidózy sa môžu použiť alternatívne lekárske predpisy. Najčastejšie ľudovými prostriedkami na hubové infekcie sú infúzie na oplachovanie, zmesi na obklady alebo čistenie jazyka. Výluky a čaje, ktoré je potrebné opiť, sa nevylučujú, ale ich cieľom je skôr posilniť obranyschopnosť tela ako bojovať proti hubám.
Čaj z nechtíka lekárskeho
Na zmiernenie bolesti bude užitočné potlačiť zápalový proces. Použije sa jednoduchý čaj, ktorý sa pripravuje na báze kvetov nechtíka. Recept je jednoduchý: lyžička sušeného kvetenstva sa naleje pohárom vriacej vody, nechá sa stáť 10-15 minút, filtruje sa, opije sa ako jednoduchý čaj, ale nesladí sa. Na jeden deň si môžete vypiť 2 poháre, a ak je to potrebné, na vypláchnutie úst použite ten istý čaj niekoľkokrát denne.
Namazanie jazyka cibuľou alebo cesnakovou šťavou
Silné prírodné antiseptiká ako cibuľa a cesnak dokonale ovplyvňujú acidobázickú rovnováhu ústnej dutiny. Postup pre ich použitie nie je najpríjemnejší, ale dokonale zvládajú prejavy kandidovej glositídy a iných infekčných chorôb zubov. Cibuľa musí byť nakrájaná na polovicu, strúčik cesnaku môže byť rozdrvený.Šťava by sa mala ošetrovať očisteným povrchom jazyka ráno a večer, pol hodiny po zákroku nič nevnášajte do úst.
Suchá infúzia harmančeka a brezy
Dobrý protizápalový účinok na oblasti postihnuté kandidózou má jarná tráva, harmančekové kvety a breza. Berú sa v rovnakých pomeroch, zmiešané tak, aby dostali lyžicu so sklíčkom. Po zozbieraní je potrebné variť 5 minút a naliať do 300 ml vody. Po dobu 5 hodín bude tekutina vylúhovaná pod vekom a potom sa použije na vyplachovanie, pričom sa rozdelí dvakrát. Pokúste sa prehĺtať, pretože lastovička je jedovatá.
Žiadosti z odvarovania dubovej kôry
Keď je choroba v počiatočnom štádiu, pomáhajú prírodným miestnym antiseptikom, z ktorých jedným je dubová kôra, zabrániť hlbšiemu prenikaniu huby. Polievková lyžica drvených surovín by sa mala variť v pohári vody (3 minúty) a potom sa nechať vychladnúť bez filtrácie. Výsledná tekutina sa impregnuje niekoľkokrát zloženou gázou, ktorá sa aplikuje na postihnuté oblasti sliznice. Procedúru môžete vykonať až 5-krát denne.

Éterické oleje na odstránenie zubného povlaku
V boji proti nepríjemným zápachom a plesňovým infekciám, najmä kvasinkovej stomatitíde, sa dobre prejavujú 3 éterické oleje: škorica, klinček a známy antiseptický - čajovníkový olej. Používajú sa výlučne zriedené a existujú 2 aplikácie:
- Ak zmiešate 2 kvapky éterického oleja s 3 lyžicami. l. oliva, výsledný produkt je ošetrený ústnou dutinou, pričom sa osobitná pozornosť venuje jazyku.
- Ak riedite 4-5 kvapiek éterického oleja v pohári teplej vody, vypláchnite ústa výsledným roztokom až 3-krát denne.
Ako vyzerá drozd na jazyku - foto

video
Ako liečiť drozd - Dr. Komarovsky