Herpetická infekcia u detí - príčiny, typy, príznaky a metódy liečby
Niektorí rodičia túto chorobu mýlia s kožnou vyrážkou. Herpetická infekcia u detí je bežným javom, herpes vírus môže preniknúť do tela dieťaťa v lone, počas pôrodu alebo bezprostredne po narodení. Patológia si vyžaduje povinnú liečbu, keď sa objavia prvé príznaky. Herpes postihuje nielen pokožku, ale aj iné tkanivá tela, vnútorné orgány. Podľa štatistík je HSV v 80% celkovej populácie planéty.
Čo je to herpetická infekcia
Herpes u dieťaťa je celá skupina chorôb, ktoré sa prenášajú z jednej osoby na druhú. Jednoduchá forma vírusu ovplyvňuje pokožku, centrálny nervový systém, sliznice tela, vnútorné orgány, oči. Existuje niekoľko typov patogénov, najbežnejší je typ I, ktorý sa tiež nazýva jednoduchý. Spôsobuje nasledujúce patológie: malária na perách, herpetická stomatitída.
budič
Herpetická infekcia u detí sa vyvíja, keď do ľudskej krvi vstupujú patologické mikroorganizmy. V bunkách infikovaných patogénom sa tvoria intranukleárne inklúzie, ktoré spúšťajú proces tvorby obrovských viacjadrových buniek. Infekcia je termolabilná, inaktivovaná, keď dosiahne 50 - 52 stupňov Celzia, bunky sa rýchlo rozrušia pod ultrafialovým žiarením alebo röntgenovými lúčmi. Škodlivé účinky sú organické rozpúšťadlá, éter, etylalkohol, opary nie sú citlivé na nízke teploty a sušenie.
Podľa sérového a antigénneho zloženia sa rozlišujú dva sérotypy patogénu:
- 1. vyvolal vývoj poškodenia slizníc úst, pokožky tváre, centrálneho nervového systému, očí.
- 2. ovplyvňuje genitálne membrány. Existuje pravdepodobnosť infekcie obidvoma sérotypmi.

klasifikácia
Infekcia herpes vírusom u detí je spôsobená rôznymi typmi patogénov. To ovplyvňuje priebeh patológie, symptómov a prognóz. Rozlišujú sa tieto typy patológie:
- Vírus je prvým typom. Toto je najbežnejší typ patogénu, ktorý vyvoláva výskyt príznakov na perách, vývoj herpetickej stomatitídy, panaritia (na prstoch), vírusovej encefalitídy, sykózy, herpetického ekzému, ezofagitídy, keratokonjunktivitídy a herpetickej angíny.
- Vírus je druhého typu. Často sa stáva príčinou genitálneho typu choroby. U detí je diagnostikovaná spravidla vo forme novorodeneckého oparu alebo diseminovanej infekcie. Prvé dva typy sa tiež nazývajú herpes simplex.
- Tretí typ patogénu sa stáva príčinou ovčích kiahní, ktoré sú známe všetkým rodičom. S relapsom môže vyvolať pásový opar. Častejšie sa diagnostikuje u dospelých, ale u detí sa tiež môže prejaviť.
- Štvrtý typ infekcie sa nazýva vírus Epstein-Barrovej. Stáva sa príčinou málo známej patológie - infekčnej mononukleózy. Často ju berú nachladnutie a nerobia správnu diagnózu, tento typ patogénu niekedy spôsobuje niektoré onkologické ochorenia.
- Cytomegalovírus je piatym typom herpesu. Podľa vyjadrení jednotlivých odborníkov je touto infekciou infikovaná každá osoba na svete, ale nie každý o nej vie, pretože vírus je v perzistentnej forme a nijakým spôsobom sa neprejavuje.
- Roseolovírus alebo typ 6. Vyvoláva náhly exantém, je to aj detská ruža.
- 7. typ je identický s predchádzajúcou možnosťou, u dospelých spôsobuje chronickú únavu.
- Druhý typ je zle študovaný, existuje teória, ktorá vyvoláva vývoj Kaposiho sarkómu.
Metódy infekcie
Toto ochorenie má vysoký stupeň nákazy. Herpes v krvi dieťaťa možno zistiť infekciou vzduchovou alebo kontaktnou infekciou. Keď sú vezikuly (papuly) na koži, choroba má najvyšší stupeň infekčnosti. Kvapalina vo vnútri týchto papúl obsahuje veľké množstvo vírusových častíc. Herpes sa spravidla dostane k dieťaťu, keď dieťa komunikuje s prepravcom alebo prostredníctvom domácich potrieb. Ochorenie sa neobjaví okamžite a je v tele po asymptomatické po dlhú dobu, pri oslabení imunitného systému dochádza k generalizácii.
Príznaky oparu u detí
Patológia má inkubačnú dobu - časové obdobie medzi prienikom patologických mikroorganizmov do tela a výskytom prvých príznakov choroby. Herpes vírus u dieťaťa je akútny, deti majú zjavné príznaky intoxikácie, a to aj pri lokalizovanej forme. Medzi tieto príznaky patrí:
- slabá chuť do jedla;
- zvýšenie telesnej teploty;
- bolesť svalov, úzkosť, bolesti hlavy;
- letargia, slabosť a ďalšie príznaky výrazného poklesu pohybovej aktivity;
- pálenie, svrbenie kože;
- vzhľad herpetickej vyrážky.
Herpes simplex
Najbežnejší typ vírusu je prenášaný vzduchovými kvapkami a je v kontakte s nosičom. Herpes vírus u detí sa prejavuje týmito príznakmi:
- herpetická vyrážka na slizniciach a pokožke: prsty, pery, nos, ústa;
- nálada a slabosť;
- zväčšené lymfatické uzliny;
- triaška;
- všeobecná nevoľnosť.

Kuracie kiahne
Takmer všetky deti trpia ovčími kiahňami a nosia ich oveľa ľahšie ako dospelí. Môže sa opakovať v staršom veku vo forme pásového oparu. Patológia má nasledujúce príznaky:
- intoxikácia tela;
- vezikuly (vezikuly) v tele;
- horúčka.

Genitálny herpes
Vo väčšine prípadov sa prenáša počas pôrodu z matky na dieťa. Infekcia sa vyskytuje vo vnútri lona alebo počas prechodu cez pôrodný kanál.Vírusový opar u detí sa tiež nazýva novorodenec. Klinický obraz choroby závisí od formy infekcie:
- Lokalizovaný sa prejavuje poškodením pier, ústnej dutiny, očí a slizníc.
- Generalizovaná infekcia má celý rad symptómov: cyanóza, letargia, apnoe, dýchavičnosť, regurgitácia, horúčka.
- Škodlivá forma ovplyvňuje nervový systém, môže vyvolať meningencefalitídu, hydrocefalus, mikrocefáliu. Charakteristické príznaky: kŕče, chvenie, cytóza, znížená chuť do jedla.

Vírus Epstein-Barra
Tento typ herpesu vyvoláva infekčnú mononukleózu, útočí na lymfoidný systém. Existuje teória, že sa stáva príčinou množstva onkologických ochorení. Diagnózu je možné vykonať iba krvným testom. Nebezpečenstvo choroby je, že u novorodencov je niekedy asymptomatická. Medzi hlavné príznaky tohto typu patológie herpesvírusu patrí:
- bolesť hrdla;
- zväčšené lymfatické uzliny, adenoidy;
- horúčka;
- zväčšenie sleziny, pečene.

Cytomegalovírusová infekcia
Po infekcii sa dieťa stáva vírusovým nosičom, choroba bude v latentnom stave bez zjavných príznakov. Keď je imunitná obrana oslabená, aktivuje sa infekcia vírusom herpesu a objavia sa nasledujúce príznaky:
- bolesti hlavy, bolesti svalov;
- triaška;
- príznaky intoxikácie;
- Môžu byť prítomné lézie centrálneho nervového systému a vnútorných orgánov (pľúca, pečeň, žľazy).

Rozeolovirus
Táto patológia dostala druhé meno - pseudo-rubeolu. Tento typ infekcie vírusom herpesu vyvoláva nasledujúce príznaky:
- vyrážky malých ružových papúl po celom tele;
- horúčka;
- podobné alergiám, príznakom akútnych infekcií dýchacích ciest.

Diagnóza herpetickej infekcie
Skúsený lekár určí prítomnosť oparu vizuálnymi príznakmi, na stanovenie diagnózy však môže byť potrebný laboratórny test. Diagnóza tejto patológie je založená na klinických príznakoch. Lekár rozlišuje charakteristické vezikulárne vyrážky na pozadí intoxikácie tela, čo je nárast regionálnych lymfatických uzlín. Presný typ oparu môžete určiť pomocou krvného testu.

Herpetické erupcie
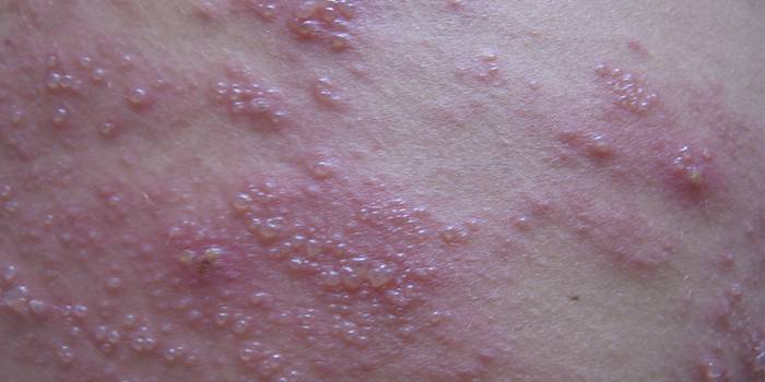
Toto je typický a zrejmý znak oparu v krvi dieťaťa. Herpetická vyrážka sa u detí objavuje na slizničných dutinách, pokožka je vo forme vezikúl a vo vnútri je číra tekutina. Tento charakteristický symptóm sa vyvíja postupne, po 3 dňoch je obsah vezikúl zakalený, papuly praskajú, vred alebo sa tvoria otvorené rany. Po chvíli vyschnú, zakryjú sa kôrou, ktorá po niekoľkých dňoch zmizne a vyrážka prechádza bez stopy. Postihnuté oblasti majú tendenciu bolieť, svrbieť a majú pocit pálenia.

Teplota oparu u detí
Tento príznak nie je špecifický pre patológiu herpetického vírusu, čo môže skomplikovať proces diagnostiky. Zvýšeniu teploty, intoxikácii často predchádzajú vyrážky, najmä často u detí, a preto sa tieto príznaky môžu mýliť za príznaky akútnych infekcií dýchacích ciest. Intenzita zvyšovania teploty závisí od umiestnenia lézie, hodnoty môžu byť buď normálne, alebo stúpať na 40 stupňov.
Najvyšší počet sa pozoruje pri léziách na slizniciach dieťaťa. Po prvé, zimnica, nadmerné vzrušenie a slza predchádzajú zvýšeniu teploty. Potom prudký skok začína na 39-40 stupňov. Až potom sa na tele objaví charakteristická menšia vyrážka a svrbenie. Počas dňa môžu byť mierne kolísania teploty.

Herpes vírus v krvi
Na konečnú diagnostiku a objasnenie typu herpetickej infekcie sa používajú laboratórne testy. Ošetrujúci lekár predpisuje testy podľa nasledujúcich metód:
- fixácia reakcie komplementu;
- s enzýmom spojený imunosorbentový test v párových sérach;
- polymerázová reťazová reakcia (PCR);
- nepriama imunofluorescencia.
Prítomnosť herpetickej infekcie potvrdí zvýšenie titra IgM viac ako 4-krát. Opakujúci sa typ patológie potvrdí štvornásobné zvýšenie titra IgG. Detekcia, identifikácia infekčných agens sa môže vykonať pomocou virologického vyšetrenia tekutiny z vezikúl, zoškrabania erózie, oplachovania nosohltanu, mozgomiechového moku, moču, krvi, ejakulátu alebo mozgovej biopsie (so smrteľným následkom).

Liečba oparu u detí
Terapeutickú patológiu má predpisovať ošetrujúci lekár na základe vyšetrení a analýz. Prognóza liečby závisí od formy ochorenia, rozlišujú sa tieto možnosti:
- Vrodený opar má zlú prognózu. Závažné malformácie vedú k smrti dieťaťa v priebehu niekoľkých mesiacov. Sú časté prípady vnútromaternicovej smrti plodu, spontánneho potratu.
- Ak je novorodenec infikovaný počas priechodu cez pôrodný kanál, prognóza je pozitívna za predpokladu, že antivírusová liečba je včasná.
- Získaná povaha choroby spôsobuje zriedkavo nebezpečné komplikácie. Liečba acyklovirom poskytuje dlhodobú remisiu patológie.
Akékoľvek podozrenie na vývoj herpetickej patológie u dieťaťa by malo byť dôvodom na návštevu nemocnice. Samoliečba môže viesť k vážnym komplikáciám alebo dokonca k smrti. Liečebný režim predpísaný lekárom predpokladá presnú implementáciu všetkých odporúčaní od začiatku do konca. Neexistujú žiadne alternatívy k antivírusovým liekom, preto sa musia užívať.

Ako liečiť opar u detí
Terapia sa vykonáva komplexnou metódou, používajú sa antivírusové lieky, imunomodulačné lieky a všeobecné posilňujúce postupy. S ťažkými nepohodliami kvôli vyrážkam sa deťom podáva paracetamol. Lieky pomáhajú urýchliť hojenie vredov, rozvoj relapsov a komplikácií infekcie. Antivírusová terapia je nevyhnutne potrebná pri generalizovanom priebehu ochorenia, oslabená imunita, v prípade genitálneho oparu, závažné poškodenie mozgu.
Výber dávky konkrétneho lieku sa uskutočňuje v súlade s telesnou hmotnosťou, vekom dieťaťa a jeho stavom. Na ošetrenie sa používajú nasledujúce pokyny:
- pleťové vody s proteolytickými enzýmami na odstránenie odumretého tkaniva;
- liečenie lézií antiseptickými, analgetickými liečivami;
- prostriedky na posilnenie imunity založené na interferóne;
- Terapia acyklovirom;
- desenzibilizačná terapia;
- antiherpetická vakcína na tvorbu protilátok, aby sa zabránilo reaktivácii infekcie a prechod na chronickú herpetickú patológiu;
- diétna terapia.

Ako liečiť opar
Základom liečby je antivírusová liečba a posilnenie imunity dieťaťa. Liečba je predpísaná deťom vo veku do 1 roka, aby sa zabránilo vzniku komplikácií a niekedy aj smrti. Používajú sa tieto skupiny liekov:
- Imunomodulačné činidlá. Prekonanie infekcie sa ukáže iba s dobrou imunitou, Immunoflazid, Immunal sú predpísané.
- Interferónová skupina na boj proti infekcii.
- Antipyretické lieky. Potrebné na symptomatickú liečbu a zvýšenie pohodlia dieťaťa.
- Antihistaminiká. Potrebné na liečbu vyrážok, použite Fenkarol, Tavegil, Diazolin.

video
Herpes - škola Doc. Komarovsky - Inter
Opary, kožné prejavy oparu - čo potrebujete vedieť? Tipy pre rodičov - Zväz pediatrov Ruska.