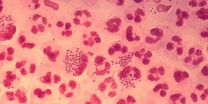
Diplococci v nátere u žien a mužov
Laboratórne testovanie biologického materiálu na prítomnosť patogénnych a podmienečne patogénnych mikroorganizmov je jedným zo štandardných postupov, ktoré musí každý rok podstúpiť. Počas testu sa často zistí, že osoba má diplococcus v nátere, čo naznačuje prítomnosť patologického infekčného procesu, ktorý si vyžaduje neodkladnú liečbu antibiotikami. Skontrolujte príčiny a metódy infekcie, typy týchto baktérií.
Čo sú diplococci
Patogénne Diplococci sú baktérie patriace do Neisseria alebo Streptococcus, ktoré majú guľatý alebo okrúhly tvar. Spravidla sú spojené vo dvojiciach a pokryté hustou ochrannou obalom alebo kapsulou. Tieto patogénne baktérie sú grampozitívne aj gramnegatívne. Tieto choroby sa považujú za nebezpečnejšie a spôsobujú vývoj niektorých pohlavne prenosných chorôb (cervicitída, kvapavka) a mozgových infekcií. Diplococci pri vstupe do ľudského tela ovplyvňujú orgány genitourinárneho, dýchacieho a nervového systému.
Medzi klinickými prejavmi diplokokovej infekcie sa rozlišuje prítomnosť nepríjemného zápachu z vagíny, ktorý pripomína podobu zastaranej ryby. Okrem toho pacienti oboch pohlaví infikovaných týmito patogénnymi baktériami zaznamenávajú svrbenie, pálenie, bolesť pri močení, pohlavný styk. Často dochádza k veľkému výtoku žltej alebo bielej viskóznej konzistencie. Diplococcal infekcia je často kombinovaná s prítomnosťou iných patogénnych baktérií.
Odrody diplococci
Existuje veľa druhov diplococci, ale nie všetky z nich sú pre človeka nebezpečné. Najbežnejšie patogény sú:
- Gonokoky. Tieto mikroorganizmy sú pôvodcami kvapavky, ktorá je najviac patogénnym zástupcom diplococci.
- Meningokokmi. Spôsobuje zápal horných dýchacích ciest a meningov.
- Pneumokokmi. Baktérie spôsobujú zápal pľúcneho tkaniva - zápal pľúc.
Diplococci je diagnostikovaná škvrna z močovej trubice, vagíny, hltanu a, ak je to potrebné, punkcia peritoneálneho priestoru. Ak chcete získať čo najpresnejší výsledok analýzy, musíte sa pripraviť na náter:
- Dva dni pred testom sa musíte zdržať pohlavného styku.
- Neodporúča sa vykonávať intímnu hygienu 10 - 12 hodín pred náterom, inak sa všetka potrebná mikroflóra vymýva.
- Pri prechode z náteru hrdla si nečistite zuby ani nepoužívajte ústnu vodu. Okrem toho sa pred analýzou neodporúča jesť jedlo, piť čaj alebo kávu.

gonokokki
Tento druh diplococcus ako gonococcus spôsobuje pohlavne prenosnú chorobu kvapavka. U mužov sa toto ochorenie prejavuje silnou bolesťou počas močenia, erekcie a opuchu penisu. Dievčatá nakazené kvapavkou zaznamenávajú hnisavý výtok s nepríjemným zápachom, vývin drozdov spôsobených zníženou imunitou. Diplococci v nátere u mužov a žien sa nachádzajú spolu s veľkým počtom bielych krviniek.
Gonokoky sa prenášajú primárne nechráneným sexom, v zriedkavých prípadoch prostredníctvom hygienických potrieb pre domácnosť. Diagnóza je vyhodnotením klinického obrazu a výsledkov náterov z močovej trubice a pošvy. Liečba a prevencia liekov sa uskutočňujú pomocou antibiotík, ako je tetracyklín, doxycyklín, amoxiclav, ceftriaxón a biseptol. Okrem toho sú gonokoky citlivé na vysoké teploty a roztoky dezinfekčných prostriedkov chlórhexidínu.
Meningokoková infekcia
Táto forma baktérií sa vyznačuje infekciou slizníc nosohltanu a mozgu. Hlavným faktorom patogenity meningokokov je toxín, závažnosť ochorenia závisí od jeho množstva. Existujú dva typy tejto infekcie: generalizovaná (meningitída, meningoencefalitída) a lokalizovaná (nazofaryngitída). Inkubačná doba po vstupe patogénu do tela je až 10 dní. Baktérie z horných dýchacích ciest vstupujú do krvného obehu, potom sú poškodené mozog a sliznice, sprevádzané vysokou horúčkou, vyrážkou.
Vo vonkajšom prostredí sú patogény nestabilné, citlivé na nízke okolité teploty, sušenie. Choroby, ktoré spôsobujú meningokoky, sa liečia antibiotikami zo skupín tetracyklínov, penicilínov, erytromycínov. Baktérie sú rezistentné na sulfamidy, ristomycín. Špecifická profylaxia proti meningokoku sa vykonáva pomocou vakcín a je nešpecifická - dodržiavanie prísne protiepidemického režimu.
Pneumokoková infekcia
Neinvazívne a invazívne formy pneumokokových lézií sa rozlišujú. Invazívna skupina zahŕňa závažné, život ohrozujúce ochorenia: pneumónia, sepsa, perikarditída, artritída. Medzi neinvazívne formy pneumokokového ochorenia patrí akútna bronchitída, pneumónia získaná v komunite, konjunktivitída, zápal stredného ucha, sínusitída. Zvyčajne ide o komplikácie iných infekcií. Diagnostikujú pneumokoky pomocou krvného testu, rádiografie. Lieková terapia sa uskutočňuje pomocou nasledujúcich antibiotík: Benzylpenicilín, Amoxiclav, Ceftriaxón.
Spôsoby infekcie diplococci
Infekcia pochádza od chorého. Prenosové cesty týchto patogénnych baktérií závisia od ich typu:
- Intracelulárne polymorfné a extracelulárne diplococci (gonokoky) prenikajú do tela nechráneným pohlavím, s použitím jednotlivých predmetov osobnej hygieny v domácnosti (uteráky, zubné kefky), ako aj in utero.
- Meningokokové diplokoky sa prenášajú z chorého na zdravého človeka, zvyčajne vo vzduchových kvapkách. Foc infekcie sa nachádza na sliznici nosohltanu, výstelke mozgu.
- Pneumokoky sú prenášané vzduchom prenášanými kvapkami vo vzduchu v domácnosti.
Príčiny výskytu diplococci v nátere
Pri infekcii kvapavky je predovšetkým potrebné stretnúť sa s patogénom, ale dôležitú úlohu zohráva aj nedodržiavanie základných hygienických pravidiel. Medzi faktory, ktoré vyvolávajú prítomnosť diplococci v nátere, patria:
- Nadmerné používanie antiseptických dezinfekčných roztokov (napríklad manganistanu draselného alebo chlóramínu) na liečbu vaginálnej dutiny. Spôsobujú smrť normálnej mikroflóry a dysbiózy.
- Nekontrolovaná dlhodobá terapia antibiotikami.
- Diplococci v nátere u žien sa objavujú kvôli noseniu spodnej bielizne vyrobenej zo syntetických materiálov alebo príliš tesnej.
- Včasný začiatok sexuálnej aktivity.
- Časté zmeny sexuálnych partnerov.
- Nedodržiavanie zásad osobnej hygieny.
- Nedostatok prevencie infekcie (napríklad používanie kondómov).
