Čo je trichomoniáza - príznaky a príčina choroby, spôsoby infekcie, diagnostika a metódy liečby
V medicíne sa pod trichomoniázou rozumie urogenitálna infekcia, ktorá spôsobuje zápal genitourinárneho systému. Zaujíma jedno z vedúcich miest medzi pohlavne prenosnými chorobami. Infekcia je rovnako bežná u žien aj u mužov, ale u mužov je ťažšie diagnostikovať. Bez ohľadu na pohlavie je ochorenie ťažko liečiteľné. Dôvod je ten, že patogén je najjednoduchší mikroorganizmus, ktorý je prispôsobený prostrediu ako mikróby.
budič
Trichomonas vyvoláva chorobu - parazity zo skupiny jednobunkových anaeróbnych mikroorganizmov, ktoré sú v prírode rozšírené. Sú typu protozoov a bičíkovcov. Na človeka majú vplyv tri typy trichomonád:
- vaginálny Trichomonas vaginalis - najväčší, najaktívnejší a patogénny;
- črevné Trichomonas hominis - často vedie k gastritíde, hemokolitíde, enterokolitíde, cholecystitíde;
- orálne Trichomonas tenax - svojou štruktúrou je podobná črevu, má zriedkavo agresívny vplyv na človeka.
Všetky druhy Trichomonas sú vďaka svojej bičíky aktívne a mobilné. Tento druh prvokov nemá pohlavný styk, je všežravý a za optimálnych podmienok sa rýchlo rozmnožuje. Priaznivá pre Trichomonas je teplota 35 - 37 stupňov a nedostatok kyslíka. Trichomonas vaginalis je fixovaný v bunkách genitourinárneho traktu, čo spôsobuje jeho zápal. Ľudské telo je intoxikované kvôli odpadovým produktom parazita.
Okrem pohlavných orgánov môžu Trichomonas prenikať aj do krvného riečišťa, odkiaľ vstupujú do lymfatických ciest a medzibunkových priestorov. V tomto najjednoduchšom enzýme - hyaluronidáza pomáha. Trichomonády sa dobre prispôsobujú životu v ľudskom tele:
- maskované ako krvné plazmatické bunky - krvné doštičky a lymfocyty;
- naviazať na seba ďalšie mikróby, čím sa vyhneme vplyvu imunitného systému.
Urogenitálna trichomoniáza je choroba často spojená s kvapavkou, ureaplazmózou, kandidózou, herpes vírusom a cytomegalovírusom. Dôvod je ten, že pôvodcovia týchto chorôb nachádzajú ochranu pred účinkami liekov v Trichomonas. Tieto prvoky nesú gonokoky, chlamýdie, huby a ureaplazmy cez krvné cievy a genitourinárny systém. Trichomoniáza sa prenáša dvoma hlavnými spôsobmi:
- Sexuálne. Počas intimity sa môžete nakaziť s chorou osobou v prípade odmietnutia kondómov.
- Kontaktujte domácnosť. Príčinná látka sa prenáša cez uterák, uteráky, posteľnú bielizeň, plavky.
- Kontakt s biologickými tekutinami. K infekcii dochádza kontaktom krvi, slín a spermií chorého.
- Vertikálne. Táto cesta prenosu je charakteristická pre infekciu dieťaťa pri narodení.

Inkubačné obdobie
Čas od požitia parazitov do začiatku prvých príznakov sa nazýva inkubačná doba. Pri trichomoniáze sa pohybuje od 4 do 14 dní. Prvé menšie príznaky si môžete všimnúť po 4-5 dňoch. Príznaky závisia od toho, ktorý orgán bol napadnutý Trichomonasom. Zasiahli:
- semenné váčky, močová trubica, semenníky a ich doplnky, prostata - u mužov;
- vagína, krčka maternice a močová trubica - u žien.
príznaky
Charakteristické príznaky choroby sú spôsobené deštrukciou sliznice genitourinárneho traktu. Infekčný agens preniká bunkami a ničí ich. Zvláštnosťou tejto choroby je to, že sa môže objaviť v latentnej forme po dlhú dobu. V tomto prípade sa výrazné príznaky objavia aj po niekoľkých rokoch. Vyvolávajú ich často iné patológie: extragenitálna, genitálna, znížená imunita. Príznaky trichomoniázy závisia od pohlavia pacienta.
U žien
Trichomoniáza u žien sa vyskytuje vo forme vulvovaginitídy, bartholinitídy, uretritídy, krčka maternice. Najbežnejším príznakom tohto ochorenia u žien je vaginálny výtok. Ich farba je biela, žlto-zelená, štruktúra je penovitá. Vôňa vypúšťania je nepríjemná, pripomína rozmaznané ryby. Iné klinické príznaky trichomoniázy u žien:
- podráždenie a začervenanie sliznice a pošvy genitálu;
- bolesť v dolnej časti brucha;
- dysuria, t.j. poruchy močenia;
- nepríjemné pocity pri pohlavnom styku;
- erózia a boláky na sliznici pohlavných orgánov;
- dermatitída vnútorných stehien.
Symptómy sa zosilňujú pred nástupom menštruácie a po podchladení. Trichomoniáza sa dá pozorovať v detstve. U dievčat sa každodenne vyvíja v dôsledku nákazy chorou matkou prostredníctvom domácich potrieb a spodného prádla. V detstve choroba pokračuje vo forme vulvovaginitídy. Príznaky tohto ochorenia sú podobné príznakom trichomoniázy u dospelých žien.
U mužov
Infekcia Trichomonas u mužov prebieha vo forme uretritídy. To znamená, že parazit infikuje močovú trubicu a spôsobuje dysurické poruchy. Tento stav je komplikovaný svrbením v perineu, mukopurulentným výtokom z močovej trubice. Sú sivobiele alebo priehľadné. Nasledujúce príznaky tiež naznačujú trichomoniázu u mužov:
- bolesť, pálenie počas močenia a po pohlavnom styku;
- pevné infiltráty a striktúra moču, ktoré sa pozorujú počas vyšetrenia;
- erózia a vredy sliznice penisu, zápal stredného stehu (zriedkavo vidieť).
Aké je riziko trichomoniázy
Podľa moderných vedcov môže trichomoniáza spôsobiť mastopatiu, alergické prejavy a dokonca aj cukrovku. Okrem toho zvyšuje riziko infekcie HIV, ktoré vedie k AIDS.U žien je trichomónová infekcia nebezpečná pri rozvoji nasledujúcich komplikácií:
- sexuálne poruchy vo forme anorgazmie a frigidity;
- neplodnosť;
- zápal panvových orgánov;
- chronický zápal maternice;
- upchatie vajcovodov;
- prenatálne vypúšťanie vody, potraty, predčasný pôrod, intrapartum a prenatálna smrť plodu;
- zhubné procesy v krčku maternice.
Trichomoniáza môže u mužov spôsobiť neplodnosť. Zástupcovia silnejšieho pohlavia tiež inhibujú mobilitu zárodočných buniek. Dôvodom je negatívny vplyv životne dôležitých produktov Trichomonas. Kvôli nízkej lokomotorickej aktivite nemôžu spermie vajíčko oplodniť. Medzi ďalšie možné komplikácie trichomoniázy u mužov patria:
- prostatitis;
- tvorba prostatických kameňov a cýst;
- skleróza prostaty;
- vezikulitída - zápal semenných váčkov;
- orchitída - zápal semenníkov;
- chronický zápal močovej trubice.
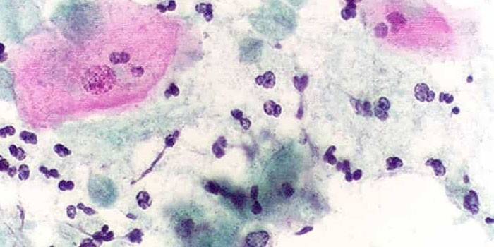
diagnostika
Podstatou diagnostiky je identifikácia patogénu v tele pomocou niekoľkých metód. Venereológ môže mať podozrenie na prítomnosť osoby s týmito parazitmi na základe vyšetrenia a sťažnosti pacienta. Počas konzultácie lekár odhalí príznaky zápalu: hyperémiu, vaginálny edém u žien a sliznicu genitálu u mužov. Okrem odberu anamnézy, na diagnostiku použitia trichomoniázy:
- Kolposkopia. Počas tejto laboratórnej štúdie sa objaví tzv. Jahodový krčka maternice. Je to sčervenanie sliznice s presným a fokálnym krvácaním. Ďalej je možné pozorovať epiteliálnu dyspláziu alebo atypické epitelové bunky.
- Mikroskopické vyšetrenie materiálu. U mužov sa na analýzu odoberajú z mužov močový kanál, vylučovanie prostaty, spermie, u žien výtok z močovej trubice a vagíny. Štúdia sa nevykonáva po vaginálnom ultrazvuku a kolposkopii, pretože porušujú flóru a môžu ovplyvniť presnosť analýzy.
- Kultúrny výskum pomocou umelých kultivačných médií. Na siatie odoberte biologický materiál z močovej trubice alebo vagíny. Vysieva sa na živné médium a potom sa analýza umiestni do termostatu. Po určitú dobu rastie kultúra.
- Imunologické metódy. Sú zamerané na detekciu antigénu Trichomonas v tele, čo naznačuje prítomnosť Trichomonas u ľudí.
- Diagnostika PCR. Toto je spôsob polymerázovej reťazovej reakcie. Na výskum sa materiál odoberá z močovej trubice alebo z krčka maternice, krvi alebo moču. Skúmajú sa na prítomnosť Trichomonas DNA, tj ich genetického materiálu. Presnosť analýzy je 100%.

Liečba trichomoniázy
Terapia je nevyhnutná pre oboch sexuálnych partnerov, pretože sa choroba prenáša počas intimity. V čase liečby by sa malo vylúčiť, aby sa zabránilo opätovnej infekcii. Okrem pozorovania sexuálneho odpočinku je potrebné dodržiavať diétu s výnimkou mastných a korenených jedál, alkoholu. Samoliečba nie je povolená, predpisuje ju iba lekár.
Trichomonas sa lieči liekmi, ktoré pôsobia proti anaeróbnym mikroorganizmom - 5-nitroimidazolom. Ich základom je metronidazol. Okrem užívania liekov proti trichomonám je potrebné dodržiavať aj hygienické pravidlá:
- Genitálie sa denne premývajú antiseptickými činidlami, napríklad roztokom furatsiliny alebo manganistanu draselného.
- Žinky, mydlo, uteráky by mali byť individuálne.
- Predpokladom je denná výmena bielizne.
prípravky
Objavené trichomonády v nátere si vyžadujú špeciálne zaobchádzanie. Základom liečby sú metetridazol a jeho deriváty: Flagil, Ornidazol, Ternidazol, Trichopolum. Tieto systémové lieky majú anti-trichomonázovú aktivitu.Niekoľko schém ich prijímania:
- 0,5 g Trichopolum (alebo 0,25 g Metronidazolu) 1 tableta 2-krát denne. Liečba trvá 7 dní.
- 150 mg Fazizhiny dvakrát denne počas jedného týždňa.
- Tinidazol 0,5 mg v jednej dávke 4 tabliet naraz. Ďalšou možnosťou je 1/3 za týždeň. 2-krát denne.
Systémové lieky sa musia používať v kombinácii s miestnymi liekmi. To zvyšuje účinnosť terapie a urýchľuje regeneráciu. Lokálna terapia sa vykonáva:
- Metrogil gél - používa sa vaginálne;
- Sviečky Terzhinan, Betadin, Klion-D - sa podávajú rektálne alebo vaginálne.
Ak má pacient kontraindikácie na používanie systémových liekov proti trichomonám, potom mu ako alternatívu predpíše Osarbon alebo Osarcid. Sú to sviečky na báze osarsolu - látky, ktorá ničí enzýmový systém Trichomonas. Okrem toho sa v zložení týchto čapíkov nachádza streptocid s protizápalovým účinkom.
Priebeh liečby musí byť ukončený, inak existuje vysoké riziko recidívy infekcie, ku ktorej môže dôjsť aj po niekoľkých rokoch. Medzi lieky bežne používané na trichomoniázu patria:
- Metronidazol. Základom lieku je zložka s rovnakým názvom. Droga patrí do kategórie antimikrobík a antibiotík s vysokou anaeróbnou aktivitou. Metronidazol sa používa na uretritídu, giardiázu, Trichomonas vaginitídu, amébovú úplavicu. Pri trichomoniáze sa predpisuje 250 mg denne na 10 dní. Pri použití dávky 400 mg sa môže priebeh skrátiť na 5-8 dní. Kontraindikácie lieku: dojčenie, vysoká citlivosť na metronidazol, leukopénia, lézie organického centrálneho nervového systému, zlyhanie pečene. Vedľajšie účinky sú početné, a preto by sa mali objasniť v podrobných pokynoch pre tento liek. Výhodou metronidazolu je účinnosť až do 90%, pri ktorej u väčšiny pacientov všetky príznaky infekcie zmiznú 3 až 4 týždne po ukončení liečby.
- Metrogil. Je to vaginálny gél na báze metronidazolu účinný proti anaeróbnym infekciám. Tento nástroj sa používa na vaginitídu a trichomoniázu. Používa sa intravaginálne jedenkrát denne v dávke 2 g alebo 500 mg 2-krát denne. Liečba trvá 10 dní. Vedľajšie účinky sú zriedkavé a prejavujú sa suchosťou a spálením pokožky. Medzi kontraindikácie patrí leukopénia, narušená koordinácia pohybov, tehotenstvo, zlyhanie pečene, epilepsia. Plus - keď sa aplikuje topicky, neabsorbuje sa do krvi, a preto nemá systémový účinok na telo.
- Osarbon. Aktívnou zložkou týchto čapíkov je acetarsol. Táto látka narúša metabolizmus améby a trichomonád. Čapíky sú indikované pre trichomonas colpitis počas liečby systémovými anti-trichomonasovými liečivami a rezistencie mikróbov na metronidazol. Dávkovanie - 1 čapík denne po dobu 10 dní. Po zavedení do vagíny je možná dermatitída a horúčka. Liek je kontraindikovaný pri cukrovke, zlyhaní obličiek a pečene, tehotenstve, laktácii, hemoragickej diatéze. Plus - vysoká biologická dostupnosť v porovnaní s podobnými liekmi.
Môžem otehotnieť s trichomoniázou
Toto ochorenie spôsobuje zápal na miestnej úrovni, ktorý ovplyvňuje pohlavné orgány. V dôsledku toho môže patológia nepriaznivo ovplyvniť priebeh tehotenstva. Trichomoniáza spôsobuje predčasný pôrod alebo spontánny potrat. Skutočnosť, že toto ochorenie sa zistí u tehotných žien, potvrdzuje možnosť počatia počas infekcie. Z tohto dôvodu je pri plánovaní dieťaťa veľmi dôležitá trichomoniáza. Tehotenstvo nie v priebehu infekcie, ale po zotavení je lepšou možnosťou.
Ak sa ochorenie nelieči, prúdi do chronického štádia, vďaka ktorému reprodukčná funkcia začne prerušovane fungovať.V dôsledku zmien prostredia vagíny trichomonádami môžu spermie odumrieť bez toho, aby sa dostali do vajcovodov. Ďalšie možné dôvody, že gravidita sa nevyskytuje pri trichomoniáze:
- reprodukciu patogénu v maternici, čo sťažuje implantáciu zygotu;
- adhézie vo vajcovodoch;
- mimomaternicové tehotenstvo.

Preventívne opatrenia
Všetky preventívne opatrenia sú zamerané na prevenciu nielen trichomoniázy, ale aj iných chorôb prenášaných pohlavným stykom. Patria k nim syfilis, kvapavka, chlamýdie. Dodržiavanie nasledujúcich pravidiel pomáha predchádzať ich rozvoju:
- starostlivý výber sexuálnych partnerov;
- použitie počas blízkosti kondómu;
- vylúčenie nečitateľného pohlavia;
- návšteva gynekológa raz ročne;
- liečenie sprievodných chorôb močového a pohlavného systému;
- použitie jednotlivých toaletných potrieb;
- liečba všetkých možných ohnísk infekcie pred plánovaním tehotenstva.
video
Trichomoniáza. Dôsledky „náhodných“ spojení