Typy pozbavenia osoby: mená s fotografiami
Líška označuje kožné ochorenia, ktoré sa vyskytujú veľmi často. Nepríjemný okamih, súhlasíte? Zapálené ložiská alebo malá vyrážka s neustálym svrbením sú nielen nepohodlné, ale tiež príliš atraktívne. Symptómy a typy lišajníkov u ľudí sú rôzne. Klasifikácia vám umožňuje čo najpresnejšie rozoznať druh choroby a aplikovať účinnú liečbu na odstránenie svrbivých škvŕn. Ako vyzerá lišajník na ľudskom tele, aké črty každého druhu a ktoré časti tela sú postihnuté častejšie ako iné?
Prvé príznaky lišajníka
Druhy lišajníka u ľudí sa delia v závislosti od príčiny vzhľadu: infekčné (plesňové) poškodenie alebo neinfekčné. Druhý typ zahŕňa výskyt lišajníka na pozadí stresu, alergických reakcií, problémov v tele alebo zníženej imunity. Na rozdiel od infekčnej choroby nie je choroba spôsobená takýmito problémami nákazlivá. Huby a vírusy sa dajú ľahko preniesť na osobu, ktorá je v kontakte s chorými lišajníkmi.

Príznaky lišajníka sú diagnostikované s typom choroby. Špecialista na infekčné choroby alebo dermatológ bude presnejší pri určovaní typu choroby ako ktokoľvek iný, preto sa pri prvom podozrení spojte so špecialistom, aby sa situácia nezhoršila. Ochorenie sa môže oddialiť, takže ak počas liečebného cyklu nebude účinnosť fondov pozorovaná dlho - nepanikařte, ale choďte na vyšetrenie.
U dospelých
V závislosti od typu sa pokožka lišajníkov prejavuje rôznymi spôsobmi. Časté príznaky:
- vyrážka škvŕn;
- malá červená nodulárna vyrážka;
- oblasti vyrážok s odlupovaním a vypadávaním vlasov;
- pocit bolesti, pálenie na zapálené ohniská;
- pri vyrážke sa pozoruje bolesť v rebrách;
- obrovské oblasti postihnutej kože červenej alebo červeno-fialovej.
U detí
Liška u detí začína objavením sa ružových škvŕn nepravidelného tvaru na pokožke. Môže to byť jedno miesto alebo sa môžu pripojiť ďalšie vyrážky. Po nejakom čase sa vyrážka z lišajníkov zvyšuje a zhlukuje, čím vytvára obrovské postihnuté oblasti.Najzraniteľnejšie časti tela: ruky, žalúdok, nohy, hlava, krk (najmä oblasť pod vlasmi). Prvé škvrny sa po niekoľkých dňoch začnú odlupovať, veľa svrbia.

Lišky niekedy vyvolávajú zvýšenie teploty dieťaťa, zvýšenie lymfatických uzlín. Najbežnejšia je detská koža. Po diagnostikovaní tejto choroby je dieťa okamžite izolované od ostatných, návšteva školy, škôlky a detských ihrísk je zakázaná. Po zistení príznakov lišajníka by malo dieťa vyšetriť dermatológ alebo špecialista na infekčné choroby. Mali by sa skontrolovať aj zvieratá v kontakte s dieťaťom (mačky, psy), aby sa predišlo opätovnej infekcii.
Odrody lišajníka a ich príznaky
Existuje klasifikácia, ktorá obsahuje hlavné druhy lišajníkov u ľudí:
- ružová;
- pásový opar;
- plochá červená;
- pásový opar;
- pityriasis;
- tropická biela a čierna;
- krtičnatý lišajník;
- farebné;
- solar;
- farbu.
Liečba je vybraná na základe rôznych ochorení, symptómov a pocitov pacienta. Dôležitá etapa procesu, ktorá určuje intenzitu liečebného cyklu a mieru škodlivých účinkov na ľudské telo a ďalšie. Tomuto ochoreniu sa musí predchádzať čo najskôr, pretože lišajník má schopnosť sa rýchlo šíriť a „zdobiť“ telo obrovskými zapálenými oblasťami, ktoré sa zlúčia do jedného celku.
Herpes zoster
Vzťahuje sa na vírusové druhy lichenov. Pôvodca spôsobuje patogén - vírus, ktorý vyvoláva výskyt veterný mlyn, Osoba, ktorá už mala ovčie kiahne, môže byť vystavená pásovým oparom. Vírus je uložený v ľudskom tele, čo významne znižuje imunitu proti všetkým druhom chorôb. Ak osoba nemala ovčie kiahne, potom môže byť osoba s herpes zoster infikovaná ovčími kiahňami.
príznaky:
- teplota postupne stúpa do vysokých nadmorských výšok;
- triaška;
- nevoľnosť;
- svrbenie;
- vzhľad malých bublín s priehľadnou tekutinou;
- asymetrické umiestnenie lézií;
- zbavenie červeného pozadia;
- bubliny po pár dňoch prasknú a kôra;
- zraniteľná zóna - medzery medzi rebrami;
- komplikácie: poškodenie očí a prudké zhoršenie zraku až do slepoty.

Pityriasis (viacfarebná)
Vrchná koža je pokrytá viacfarebnými škvrnami s viditeľným peelingom. Viacfarebný typ choroby je častejší u mladých ľudí. Takýto lišajník je nákazlivý (spôsobený plesňou), ale za určitých podmienok: narušenie endokrinného systému, zmeny kyslosti kože, vysoké potenie, kontakt s poškodenou pokožkou zdravého človeka. Teplota, intoxikácia u pacientov nie sú pozorované.
príznaky:
- škvrny na krku a trupu;
- charakteristické miesta: okrúhly tvar, s roztrhnutými okrajmi a rôznymi veľkosťami, nevystupujú nad úroveň kože;
- stránky sa nelúpajú;
- nie je pozorované svrbenie;
- postupne sa zlúčiť;
- škvrna: žltá, hnedá, ružová, hnedá, belavá (na opálenej koži);
- bolesť u pacienta chýba.

ružový
Hlavná skupina ľudí, ktorí „chytia“ túto chorobu, je vo vekovej skupine od 15 do 40 rokov. Vývoj choroby je najaktívnejší v období jesene a jari. Ružový lišajník nie je nákazlivý, táto odroda sa viac pripisuje alergickým prejavom. Hlavné príznaky:
- špecifická hojná vyrážka s „materskými“ (majoritnými) a „dcérskymi“ plakmi;
- farba vyrážky je ružová, okraje plakov sú jasné a jasné;
- horúčka ľudského tela;
- bolesť kĺbov
- slabosť, zmena srdcovej frekvencie;
- hlavné oblasti výskytu: žalúdok, chrbát, boky, krk, dolné a horné končatiny, kožné záhyby;
- škvrny sa časom zväčšujú, ich stredná oblasť zožltne a odlupuje sa;
- niekedy zasiahnuté postihnuté oblasti;
- po 2-3 týždňoch lišajník zmizne.

Červený byt
Chronická forma choroby, ktorá najčastejšie postihuje ženskú polovicu planéty. Neexistujú žiadne dôkladne študované a potvrdené dôvody výskytu červeného lišajníka, existuje však možnosť, že sa tento typ vyvinie, keď sa narušia metabolické mechanizmy a imunitný systém. Ploché lišajníky sa objavujú na pokožke, nechtoch, slizniciach. Nemá zápalové účinky.
Kľúčové vlastnosti:
- vyrážka svetlej farby (malina, červená, šarlátová, červená s fialovým odtieňom);
- tvar vyrážok je nepravidelný, vrchná vrstva je lesklá;
- svrbivé pocity;
- niekedy vyrážky;
- vyrážky sa spájajú v oblastiach;
- nové vyrážky sa nachádzajú blízko starých;
- po ošetrení zostávajú škvrny na koži;
- nechty „zdobia“ drážky, pruhy, doska je zničená.

strihanie
Aby ste sa neinfikovali kožnými ochoreniami, je potrebné dodržiavať povinnú hygienu: nemôžete použiť jeden hrebeň, spodnú bielizeň, špongie a kožené výrobky. Spanie s chorou osobou na rovnakej posteli je tiež plné infekcie. Najjednoduchšie je chytiť kožného ochorenia, ak máte zníženú imunitu pokožky v určitých oblastiach alebo ak pravidelne nedodržiavate pravidlá osobnej hygieny. Častými nositeľmi lišajníkov sú deti.
Charakteristiky choroby:
- ružové škvrny s bielym šupinatým stredom;
- silné svrbenie v postihnutých oblastiach;
- výskyt škvŕn na určitej časti tela je spôsobený kontaktom hubovej infekcie so zdravou pokožkou;
- vlasy sa zlomia na hlave, po niekoľkých mesiacoch sa objaví zubný povlak a pokožka sa pokryje pľuzgiermi.

trubkový
Huba Malassesia ovplyvňuje pokožku a pretrváva dlho v mazových žliazach, presnejšie ich kanáliky. Potrubné lišty nespôsobujú pacientovi bolesť, objavujú sa ihneď po pozorovaní zníženia imunity a nadmerné potenie, Ako sa prejavuje:
- malé šupinaté škvrny;
- okraje pozemkov sú nerovnomerné;
- po určitom čase sa oblasti zlúčia do jednej škvrny žltej, ružovej alebo nahnedlej farby;
- žiadne svrbenie.
šupinatý
Populárny názov tejto odrody je psoriáza. Šupinaté lišajníky sa objavujú na lakťoch, kolenách a iných kĺboch. Toto je neprenosná choroba a nedá sa infikovať. Tento druh sa javí rovnako pre zástupcov akéhokoľvek pohlavia bez ohľadu na vekovú kategóriu. Psoriáza je chronické ochorenie, ktoré sa prejavuje v individuálnych podmienkach (nervové poruchy, emocionálny šok, hormonálne poruchy). Choroba pomaly postupuje, nemusí o sebe roky poskytovať „správy“ a potom sa náhle rozžiari.
Vďaka modernej medicíne pre liečba psoriázy aplikovať lieky (injekcie, roztoky na kvapkanie, tablety), ktoré znižujú a eliminujú prejavy choroby, ale nie samotné ochorenie. V súčasnosti sa choroba považuje za nevyliečiteľnú. Časté príznaky:
- začervenanie určitých plôch rôznych priemerov na koži;
- výskyt špecifických útvarov s tekutinou v oblastiach červenej kože;
- silné svrbenie ohnísk;
- kožná porucha: praskanie, krvácanie.

Popraskanie postihnutých oblastí pokožky hrozí, že dôjde k vzniku rôznych infekcií, a preto je v tomto stave nevyhnutná intenzívna liečba. Osoba, ktorá sa musela vysporiadať s psoriázou, sa musí chrániť pred stresom, nervovými stavmi, posilniť svoj imunitný systém a chrániť svoju pokožku pred účinkami škodlivých látok. U žien, ktoré boli napadnuté lišajníkmi, sa oplatí venovať pozornosť použitým prostriedkom, nemali by znova vyvolávať výskyt škaredých oblastí na koži.
video
Preventívne opatrenia sú ochrana vás a vášho tela pred škodlivými účinkami na životné prostredie. Medicína rozlišuje medzi niekoľkými druhmi lišajníkov, ktorým treba zabrániť. Sú to nepríjemné pocity, škaredý vzhľad a opakované infekcie. Video konzultácia uvedená nižšie vám pomôže pochopiť momenty správnej prevencie chorôb. Otázka sa týka najmä rodičov, ktorí chcú chrániť svoje deti. Vyhnúť sa problému s lišajníkmi je jednoduchšie ako ich vyriešiť, preto vezmite do úvahy všetky opatrenia. Bezpečnosť pokožky a tela je vo vašich rukách! Naučte sa, ako zaobchádzať lišajník u ľudí.
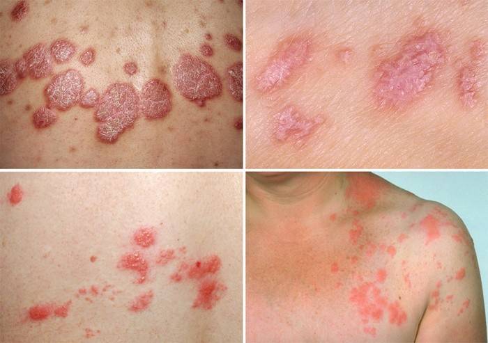
Ako vyzerá lišajník na človeku - fotografia
Červené veľké zasiahnuté oblasti, malá vyrážka uzlín s tekutinou, hlavné ložiská s ďalšími útvarmi v okolí - to všetko sú lišajníky. V závislosti od odrody sa líšia:
- tvar škvŕn (guľatý, nepravidelný);
- okraje pozemkov (výrazné, asymetrické);
- farba (žltá, červená, biela, ružová, žltá, hnedá a fialová);
- stred škvrny (červený, biely, šupinatý, s bublinkami);
- štruktúra postihnutej pokožky (šupinatá, hladká, temperamentná);
- vypuklé škvrny.

