Ako identifikovať a liečiť polypy maternice
Pretože novotvary maternice sú benígnej povahy, neohrozujú život. Niekedy sa však premieňajú na zhubné nádory. Polypy v maternici, ktorých príznaky a liečba môže určiť iba gynekológ, sa vyskytujú u žien rôzneho veku. Bez ohľadu na to, či novotvary spôsobujú nepohodlie alebo nie, odborníci odporúčajú chirurgické odstránenie alebo použitie konzervatívnej liekovej terapie.
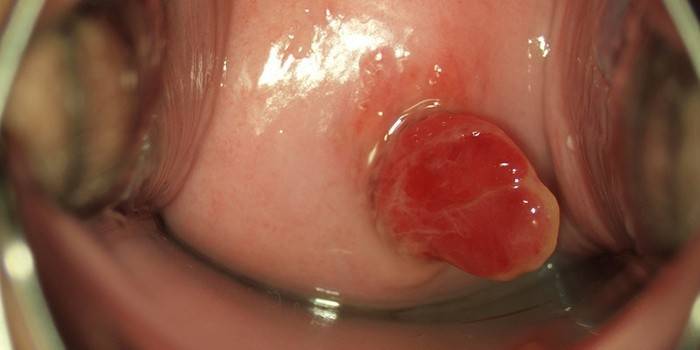
Čo sú polypy v maternici
Toto je benígna formácia, ktorá sa vyskytuje v maternicovej dutine v dôsledku proliferácie endometriálnej sliznice (orgánovej membrány). Polyp má často malý proces, ale môže dosiahnuť 2 až 3 centimetre. V ženskom tele sa môžu vyvinúť 2 typy útvarov: polyp krčka maternice a jeho tela. Spravidla sa v skorom štádiu vývoja takéto výrastky liečia doma, ale pri neskorej diagnóze patológie nie je možné vynechať chirurgický zákrok.
Polyp tela maternice alebo krčka maternice ženského orgánu sa môže vyskytovať v jednom množstve alebo v skupinách niekoľkých subjektov. Vyzerajú ako žltkasté alebo tmavo fialové malé valce s pórovitou štruktúrou. Cez ich tenkú membránu sú viditeľné krvné cievy. Gynekológia delí polypy v maternici na tri odrody, ktoré majú charakteristické rozdiely. Patria sem:
- myómy, Vyskytujú sa v dôsledku hyperplázie (proliferácie) spojivových tkanív orgánu. Spravidla sa vyvíjajú súbežne s iným typom nádoru.
- glandulární, Častejšie u mladých ako zrelých žien. Rastú z tkaniva žľazy.
- adenomatóznej, Tvorba polypov je sprevádzaná tvorbou adenómov. Tento druh sa považuje za najnebezpečnejší, pretože adenomatózne výrastky sa často zastavujú pri zhubných nádoroch.

príznaky
Počas menopauzy je akékoľvek špinenie bez ohľadu na ich množstvo a frekvenciu alarmujúcim zvončekom, pretože môže hovoriť o vývoji onkológie alebo hyperplázie maternice. Ak je podobný príznak pozorovaný u ženy staršej ako 40 - 50 rokov, ktorá po dlhšiu dobu nemala menštruáciu, oplatí sa navštíviť okamžite gynekologickú kanceláriu. Znaky polypov maternice sú:
- bolesť v dolnom bruchu (s veľkými polypmi);
- nepravidelné obdobia;
- belavý výtok medzi menštruáciou;
- neplodnosť;
- špinenie počas neprítomnosti menštruácie;
- silné krvácanie počas menštruácie.
Dôvody pre vzdelanie
Jednou z bežných príčin vzniku polypózy je hormonálne zlyhanie ženského tela. Menej často sú nádory dôsledkom chronických infekcií pohlavných orgánov. U polypov z krčka maternice, ktorých príznaky a liečba sú individuálne, sa spravidla diagnostikujú ženy vo veku nad 40 rokov, ale patológia sa môže vyvinúť aj u mladých dievčat. Zriedkavejšie príčiny choroby sú:
- prenesené zranenia krčka maternice (polypy v maternici po kyretáži, potratoch, dlhodobom nosení špirály);
- choroby endokrinného systému (obezita, cukrovka, patológia štítnej žľazy, hypertenzia);
- potlačená imunita;
- silná depresia a stres;
- neúplné odstránenie placenty po prerušení tehotenstva;
- zápal slepého čreva, infekcie pohlavných orgánov.

Čo je nebezpečný polyp v maternici
Endometriálny polyp je podľa lekárov prekancerózny stav. Nebezpečným dôsledkom takýchto novotvarov je ich transformácia na zhubný nádor. Okrem toho môže polypóza spôsobiť neplodnosť alebo poruchu menštruačného cyklu, ktorý následne stimuluje rozvoj anémie (jej príznaky sú slabosť, mdloby, únava). Polyp počas tehotenstva často komplikuje obdobie tehotenstva a pôrodu. Nádory deformujú membránu ženských orgánov, čo znižuje pravdepodobnosť normálneho upevnenia oplodneného vajíčka.

Odstránenie polypu z maternice a hysteroskopia
Na diagnostikovanie polypózy maternice lekári robia ultrazvukové vyšetrenie, metrografiu a hysteroskopiu. Pomocou týchto postupov odborník určí stav vzdelania, jeho veľkosť a umiestnenie. Ak sú výrastky sprevádzané zápalom, takže polypy zmiznú, je potrebné odstrániť iba zameranie infekcie. Pomocou hysteroskopu môže gynekológ odstrániť aj veľké nádory, čím sa minimalizuje riziko komplikácií.
Liečba maternice na polypózu sa spravidla vykonáva chirurgickým zákrokom. Lekár vykoná kyretáž a zavedie endoskop cez vagínu, čo vám umožní vidieť dutinu maternice na monitore počítača. Polypektómia hrá dôležitú úlohu pri liečbe novotvarov. Tento postup pomáha nielen pri určovaní charakteristík polypov, ale zahŕňa aj možnosť ich chirurgickej liečby. Odstránenie polypu v maternici laserom zabezpečuje úplné odstránenie formácií, vykonáva sa v prvej fáze cyklu.
Kyretáž polypu v maternici môže mať negatívne následky:
- horúčka;
- bolesť v dolnej časti brucha;
- silné krvácanie;
- perforácia maternice (punkcia steny orgánov);
- zápal ženských orgánov.

Liečba bez chirurgického zákroku
Ak pacient odmietne operáciu, gynekológ môže predpísať lieky na endometriálnu polypózu. Okrem hormonálnych a iných liekov je ženám predpísaný komplex vitamínu a minerálov.Pri liečbe maternicových formácií majú veľký význam vitamíny B (ióny železa), ktoré pomáhajú vyrovnať stratu krvi. Na potlačenie proliferácie endometria sa pacientovi môžu predpísať lieky nasledujúcich skupín:
- progestíny, Účinnou látkou týchto prostriedkov je progesterón, ženský pohlavný hormón. Prijímanie gestagénov je predpísané pre druhú fázu cyklu, liečba trvá 3 mesiace až 6 mesiacov. Táto skupina fondov zahŕňa Utrozhestan a Dufaston.
- Kombinované perorálne kontraceptíva, Liečba sa predpisuje ženám, ktoré nie sú staršie ako 35 rokov. Maximálny účinok COC sa prejavuje v liečbe glandulárnej alebo glandulárnej-cystickej polypózy. Drogy sa používajú na rozvoj maternicového krvácania a odstraňujú potrebu kyretáže. Liečba trvá približne 3 týždne. Táto skupina zahŕňa „Norgestimat“, „Gestoden“.
- Antibiotická terapia, Ak vznikne polypóza na pozadí chronického infekčného ochorenia, na jej liečenie sa predpisujú antibakteriálne látky. Gynekológ môže predpísať erytromycín, Ofloxacín a Tetracyklín.
- agonisty, Sú považované za najúčinnejšie pri liečbe hyperplázie krčka maternice. Sú predpísané ženám od 35 rokov, ktoré mali menopauzu. Liečba trvá 3 - 6 mesiacov. Do tejto skupiny liekov patrí Zoladex, Supercourt.
Okrem liekov sa praktizuje liečba ľudovými liekmi na polypózu maternice:
- Bylinkový zber na vnútorné použitie, V drvenom stave sa zmiešajú 3 lyžičky lyžičky. šípky, 2 lyžičky. listy žihľavy dvojdomej, 1 lyžička bobule čierneho ríbezle. Jedna polievková lyžica zmesi sa varí v 2 šákoch vriacej vody a trvá na tom hodinu. Potom sa tekutina vypustí a postupne sa vypije denne. Liečba trvá 2 mesiace.
- Odvar byliniek pre výkop, Nasekané 4 lyžice. l. dubová kôra a 2 lyžice. l. rebríček, rozmarín a listy šalvie. Zložky sa dôkladne premiešajú v smaltovanej panvici, nalejú sa do 2,5 litra vriacej vody a privedú sa do varu. Keď vývar varí pol hodiny, dá sa vysledovať. Výkopový postup sa vykonáva denne po dobu 2 až 3 týždňov.
Zistite, ako sa prejavujú príznaky maternicových fibroidov.
Video: ako liečiť polyp v maternici
Čo robiť, keď je diagnostikovaná polypóza maternice? Ak sa v tele maternice nájdu malé polypy, ktorých príznaky a liečba určuje lekár, nie je dôvod na paniku. Ošetrenie malých útvarov sa často nevyžaduje bez operácií a hormonálnych metód. Nevyhnutným predpokladom liečby je však pozorovanie lekára a pravidelné vyšetrenia. Po pozeraní videa sa dozviete, aké metódy liečby polypózy existujú.
Polypy v dutine maternice. Ako zaobchádzať?
Recenzie na odstránenie polypov
Eugene, 42 rokov Mal som výrastky na tele maternice, operácia to odmietla. Najskôr som sa rozhodol vyskúšať ľudové metódy. Trávu zachytila „červená kefa“ (štvorročná rádiol), ktorá sa varila podľa pokynov. Okrem toho vzala výživový doplnok Oleksin. Posledný ultrazvuk ukázal, že neexistujú žiadne formácie.
Anna, 28 rokov Keď bola diagnostikovaná, rozhodla sa vyhľadať na internete, čo je to polypóza. Fotografie vyzerali strašne, bol som vystrašený a rozhodol sa laserovou formáciou odstrániť. Operácia bola úspešná a bezbolestná, ale musel som veľa zaplatiť, ako som to urobil na súkromnej klinike.
Nonna, 55 rokov Nedávno objavil polyp v maternici, odmietol som operáciu a mesiac som sa snažil zotaviť pomocou ľudových liekov. Nič nevyšlo, tak som sa rozhodol pre hormonálnu liečbu drogami. Lekár povedal, že už existujú zlepšenia.