Wirusowe zapalenie migdałków u dzieci i dorosłych - sposoby infekcji, objawy i leczenie lekami
W ciele dorosłego pacjenta i dziecka ból gardła może powodować wirusowe zapalenie gardła, które ma charakter zakaźny, nieprzyjemne objawy. Choroba jest niebezpieczna, obarczona poważnymi powikłaniami, a zarazem przenoszona na zdrowe osoby z otoczenia przez unoszące się w powietrzu kropelki. Ważne jest, aby leczyć wirusową dusznicę bolesną u dziecka w odpowiednim czasie, w przeciwnym razie choroba wywoła poważne zatrucie organizmu dziecka.
Co to jest wirusowe zapalenie migdałków
Jest to choroba zakaźna, której towarzyszy ostre zapalenie migdałków i tworzenie ropnych wyprysków w jamie ustnej gardła. Proces patologiczny jest powodowany przez niebezpieczne bakterie, często postępuje na tle osłabionej odporności. Aby postawić prawidłową diagnozę, ważne jest, aby odróżnić charakterystyczną dolegliwość od innego ostrego zapalenia migdałków z ogólnym zatruciem ciała.
Różnica między wirusowym bólem gardła a bakteryjnym
W środowisku domowym trudno jest odróżnić wirusowe zapalenie migdałków od zapalenia migdałków w postaci bakteryjnej i grzybowej, ponieważ objawy tych diagnoz mają oczywiste podobieństwa. Jednak różnicowanie dolegliwości jest niezwykle ważne, ponieważ leczenie zachowawcze ma swoje własne znaczące różnice. W tym celu pacjent będzie musiał skonsultować się ze specjalistą, ale dla siebie wskazane jest, aby na zawsze pamiętać:
- w postaci wirusowej kaszel jest głównym objawem choroby, podczas gdy bakteryjne zapalenie migdałków występuje tylko na skomplikowanych obrazach klinicznych;
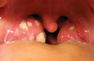
- przy bakteryjnym zapaleniu migdałków na migdałkach widać obfite ropnie, z wirusową postacią choroby - zaczerwienienie gardła, obrzęk węzłów chłonnych, biały nalot;
- białe plamy z bakteryjnym zapaleniem migdałków są zlokalizowane w jamie ustnej gardła, podczas gdy w przypadku wirusowego wykraczają poza wskazane limity.

Jak objawia się choroba?
W wyniku zapalenia migdałków, z zaostrzeniem wirusowego zapalenia migdałków, pacjent zaczyna skarżyć się na ból gardła podczas połykania. Nie dzieje się to natychmiast po zakażeniu, ponieważ okres inkubacji trwa od 2 do 14 dni. Następnie patogenny patogen powoduje ból gardła, któremu towarzyszy biała powłoka migdałków podniebiennych. Przed zakupem leków przeciwzapalnych musisz zasięgnąć porady otolaryngologa.
Przyczyny
Głównym czynnikiem prowokującym są patogenne mikroorganizmy, które są przenoszone na zdrowe osoby przez unoszące się w powietrzu kropelki. Mogą to być wirusy opryszczki, enterowirusy, adenowirusy, szczepy grypy, wirusy Coxsackie, które znacznie uszkadzają dotknięte ciało. Inne sposoby infekcji:
- kontakt-gospodarstwo domowe (z pocałunkami i używaniem zwykłych artykułów gospodarstwa domowego);
- kałowo-doustny (poprzez zanieczyszczoną żywność).
Zakaźne zapalenie migdałków - objawy
Taka nieprzyjemna choroba może wywołać epidemię, dlatego ważne jest, aby dorośli pacjenci i dzieci wiedzieli, jak się objawia, aby uniknąć niebezpiecznych powikłań, masowej infekcji. Miejscowe objawy całkowicie zależą od rodzaju zapalenia migdałków, podczas gdy ogólne objawy przedstawiono poniżej:
- ból gardła z białą płytką;
- silne bóle głowy;
- przypadki gorączki;
- gorączka, dreszcze;
- napady nudności i wymiotów;
- całkowity brak apetytu;
- osłabienie mięśni, bóle stawów.
W każdym razie tej chorobie wirusowej towarzyszy ostre zatrucie organizmu i nienormalny wzrost wielkości węzłów chłonnych. Inne objawy objawiają się lokalnie, w zależności od specyfiki dusznicy bolesnej w konkretnym obrazie klinicznym. Poniżej znajdują się cechy wyróżniające szybkość ostatecznej diagnozy:
- Catarrhal. Najczęstszy rodzaj wirusowego bólu gardła bez powikłań. Pacjent charakteryzuje się suchymi błonami śluzowymi, zwiększonym wydzielaniem śliny, zapaleniem węzłów chłonnych, bólem podczas połykania, bolącymi stawami i osłabieniem mięśni.
- Lacunar. Postępuje w skomplikowanej formie, ponieważ oprócz bólu gardła pacjent skarży się na zespół ostrego bólu mięśnia sercowego, źle śpi i zachowuje się drażliwie.
- Pęcherzykowe Migdałki migdałków biorą udział w procesie patologicznym, które są silnie spuchnięte i pokryte białą powłoką. Pacjent cierpi na katar, źle oddycha i ma mdłości podczas rozmowy.
- Wrzód-film. Objawy zatrucia są nieobecne, jednak gardło jest pokryte powłoką, boli. Z ust wydobywa się nieprzyjemny zapach, tworzą się rany płaczące, zmienia się struktura migdałków (staje się niejednorodna, krucha).
- Opryszczka. Choroba wywołana przez wirusa Coxsackie, trwająca do 3 lat, przebiega w skomplikowanej formie, może powodować epidemię. Drobnoustrój jest przenoszony drogą kałowo-ustną, występuje wyraźna symptomatologia ogólnego zatrucia organizmu.
Metody diagnostyczne
Dzięki badaniu wizualnemu lekarz może rozpoznać ropne zapalenie gardła, ale ważne jest, aby mieć pełny obraz postępującej choroby. Specjalnie do tych celów należy przepisać badania krwi - ogólne i biochemiczne. W ten sposób można z najwyższą dokładnością określić charakter patogennego patogenu i wybrać skuteczną terapię w celu jego dalszej eksterminacji. Aby poprawnie rozróżnić diagnozę, odpowiednie są następujące metody diagnostyczne:
- faryngoskopia;
- ELISA (test serologiczny na przeciwciała);
- Diagnostyka PCR (rozmaz z jamy ustnej w celu ustalenia drobnoustroju);
- elektrokardiografia pod kątem potencjalnych powikłań.
Leczenie
Intensywna terapia dla pacjenta klinicznego rozpoczyna się od całkowitego odpoczynku i leżenia w łóżku, podczas gdy konieczne jest picie większej ilości ciepłego płynu, na przykład skuteczne leczenie bulionem rumiankowym. Konieczne jest stosowanie środków oficjalnej i alternatywnej medycyny, prawidłowe odżywianie, przyjmowanie witamin i wykonywanie procedur fizjoterapeutycznych na zalecenie lekarza prowadzącego. Dodatnią dynamikę obserwuje się, gdy stan zapalny węzłów chłonnych zmniejsza się stopniowo i przestaje boleć przy badaniu palpacyjnym. W stali wszystko jest indywidualne.
Dorośli
Podobnie jak w przypadku infekcji grzybiczej, wirusowe zapalenie gardła bez szybkiego leczenia jedynie postępuje, jest obarczone poważnymi powikłaniami. Podstawą intensywnej terapii są leki przeciwwirusowe, które mogą zniszczyć chorobotwórczą florę w możliwie najkrótszym czasie. Są to Tsitovir 3, Kagocel, Neovir, Viferon, Cycloferon, które mają kilka form uwalniania. Pozostałe grupy farmakologiczne mononukleozy zakaźnej przedstawiono poniżej:
- leki przeciwhistaminowe w celu zmniejszenia ognisk wysypki: Suprastin, Tavegil, Erius;
- przeciwgorączkowe przeciwko wysokiej temperaturze: Nise, Ibuklin, Tsefekon;
- immunomodulatory: Likopid, Amiksin, Imunoriks.
W czasie ciąży
Trudno leczyć ból gardła w postaci wirusowej, gdy rodzi się płód. Słaba odporność wymaga silnych leków, ale takie mogą znacznie zaszkodzić rozwojowi wewnątrzmacicznemu. Ze względu na takie ograniczenia farmakologiczne postać enterowirusową najlepiej leczy się za pomocą medycyny alternatywnej, na przykład wywaru z rumianku lub nagietka. W takim przypadku można dodatkowo leczyć gardło za pomocą Lugola i innych leków, które minimalnie dostają się do krążenia ogólnoustrojowego, działają lokalnie.
Dzieci
Trudno jest przyzwyczaić małego pacjenta do leżenia w łóżku, ale jest to niezwykle konieczne. W przypadku dzieci często rozwija się paciorkowcowe zapalenie migdałków, które wymaga szybkiego leczenia. Aby wytępić chorobotwórczą florę, wymagane są leki przeciwwirusowe i immunostymulujące, zgodnie z kategorią wiekową pacjentów. Ponadto lekarze zalecają miejscowe środki antyseptyczne do leczenia krtani, witaminy na odporność, ludowe przepisy na ropne złogi i okłady rozgrzewające przeciwko procesowi zapalnemu.

Jak leczyć wirusowe zapalenie migdałków
Zdjęcie pacjenta frustruje wygląd jamy ustnej, gdzie biała płytka zakrywa błonę śluzową będącą w stanie zapalnym, a widoczna jest obecność bolesnych pęcherzyków z dalszym przekształcaniem się we wrzody. Tkanki miękkie są szczególnie wrażliwe na paciorkowce lub inny patogenny wirus, dlatego leczenie należy rozpocząć natychmiast po kompleksowej diagnozie. Główną technikę leczenia przedstawiono poniżej:
- ścisłe leżenie w łóżku;
- przywrócenie odporności;
- płukanki antyseptyczne;
- środki przeciwbólowe;
- leczenie uzależnień;
- procedury fizjoterapeutyczne;
- terapia witaminowa.
Czy potrzebuję antybiotyków?
Leki przeciwbakteryjne są nieskuteczne przeciwko wirusom chorobotwórczym, więc nie ma sensu brać ich z bólem gardła w postaci wirusowej. Wyjątkiem jest bakteryjne zapalenie migdałków, gdzie ogólnoustrojowe antybiotyki można polecać wyłącznie na skomplikowanych zdjęciach klinicznych. W każdym razie takiego spotkania powinien dokonać wyłącznie lekarz prowadzący.
Przeciwwirusowe
Jest to skuteczny cel farmakologiczny w walce z pęcherzykowym zapaleniem migdałków i innymi postaciami zapalenia migdałków w postaci wirusowej. Lista leków jest obszerna dla pacjentów w każdym wieku. Szczególny nacisk zaleca się na następujące leki, skutecznie eliminujące chorobotwórczą florę:
- Anaferon. Lek jest dostępny w postaci tabletek, skutecznie zwalcza wirusy i wzmacnia układ odpornościowy.Dorośli otrzymują 1 tabletkę do 6 razy, a dzieci - do 3 razy dziennie. Przebieg leczenia wynosi od 7 do 10 dni. Zalety - wysoka wydajność, wada - namacalna cena.
- Cycloferon. Lek zapewnia skuteczne leczenie w domu. Dostępne w postaci tabletek, zalecane doustnie przed posiłkami. Dzienne dawki zależą od wieku pacjenta: 4 - 6 lat - 1 tabletka, 7 - 11 lat - 2 pigułki, od 12 lat i dorosłych - 3 pigułki dziennie. Zaletą jest szybki wynik, wadą jest wysoka cena.
- Grippferon. Są to krople do nosa, które zapewniają leczenie i zapobieganie zapaleniu migdałków w postaci wirusowej. Dzienne dawki są określane na podstawie wieku, na przykład dzieci poniżej 1 roku życia - 1 emisja w każdym przewodzie nosowym, a dla pacjentów w wieku od 3 do 14 lat - 2 krople 4-5 razy dziennie. Kurs trwa 7-14 dni. Zaletą jest łatwość użycia, doskonałe wyniki.
Leki przeciwgorączkowe
Formie wirusowej towarzyszy wysoka gorączka. Dziecko zachowuje się kapryśnie, odmawia jedzenia, źle śpi. Aby złagodzić uczucie wewnętrznego ciepła, zaleca się następujące leki:
- Nurofen Są to syrop i tabletki, w zależności od wieku pacjenta. Konieczne jest przyjmowanie leku w wysokiej temperaturze między posiłkami, postępowanie zgodnie z instrukcjami. Zalety - przyjemny smak syropu, działanie - 20 minut po przyjęciu pojedynczej dawki. Wady - przeciwwskazania.
- Panadol. Jest to syrop dla dzieci z odmierzonym dozownikiem. Ma przyjemny smak, jest zalecany do podawania doustnego w wysokiej temperaturze. Pojedyncza dawka zależy od masy ciała i wieku dziecka. Celem jest ustabilizowanie reżimu temperaturowego. Dla dorosłych zalecane są tabletki o tej samej nazwie.
- Paracetamol Są to dobrze znane tabletki, które powinny być pijane wraz ze wzrostem temperatury ciała. Pojedyncza dawka to 1 tabletka, ale nie więcej niż 3 do 4 tabletek dziennie. Oczywiście, aż alarmujące objawy znikną całkowicie. Zalety - niska cena, wada - nie wszystkim pomagają.
Wdychanie i płukanie gardła
Są to lokalne środki terapeutyczne, które pomagają szybko zmniejszyć rozległe ogniska patologii, przywrócić uszkodzoną błonę śluzową gardła. Wdychania i płukania można wykonywać w domu, najważniejsze jest, aby wybrać skuteczny lek. Poniżej znajdują się najskuteczniejsze leki na wirus dławicy piersiowej:
- Miramistin. To rozwiązanie terapeutyczne ma właściwości regeneracyjne i bakteriobójcze, przeznaczone do stosowania zewnętrznego. Dostępne w postaci roztworu i sprayu. Przebieg leczenia wynosi od 7 do 10 dni, dzienne dawki to do 4 do 5 zabiegów. Zalety - wysoka wydajność, bez wad.
- Furatsilin. Jest to tani lokalny środek antyseptyczny, który szybko usuwa wszystkie objawy bólu gardła w postaci wirusowej. Konieczne jest rozcieńczenie 2 tabletek na 1 litr wody, stosowanie gotowej kompozycji do regularnego płukania jamy ustnej. Oczywiście, dopóki objawy dusznicy bolesnej nie znikną całkowicie. Zalety - cena, wada - działanie selektywne.
- Roztwór manganu Możesz płukać gardło słabym roztworem nadmanganianu potasu, najważniejsze jest najpierw upewnić się, że kryształy zostały rozpuszczone w wodzie. Liczba codziennych płukań nie jest ograniczona i zaleca się leczenie w ten sposób, aż do całkowitego wyzdrowienia.

Miejscowe środki znieczulające
Tabletki znieczulające proces połykania z bólem gardła można kupić w każdej aptece. Asortyment produktów farmakologicznych jest szeroki, zasada działania jest identyczna - konieczne jest rozpuszczenie pigułki, aby ból gardła opadł, nawet tymczasowo. Przebieg leczenia wynosi od 7 do 12 dni. Oto kilka skutecznych leków:
- Lizobakt. Lek usuwa ból gardła, łagodzi stany zapalne i obrzęki. Dzienne dawki dla pacjentów w wieku od 12 lat wynoszą 6-8 tabletek dziennie, w wieku 7-12 lat: 4 tabletki, od 3 do 7 lat 3 tabletki. Zalety - wysoka wydajność, minimalne przeciwwskazania, bez wad.
- Pharyngosept. Pastylki do ssania do ust w celu szybkiego usunięcia bólu gardła z wirusowym bólem gardła i nie tylko.Należy wziąć jeden cukierek trzy do pięciu razy dziennie, najlepiej kwadrans po jedzeniu. Zalety - przystępna cena i szybkie wyniki, wadą są przeciwwskazania.
- Ogarnięty Preparat złożony ze składnikami ziołowymi w postaci tabletek miętowych. Dorośli i młodzież w wieku od 12 lat zaleca się rozpuścić 1-2 tabletki; dzieci w wieku 6-12 lat - 1 tabletka dziennie przez tydzień. Zalety - przystępna cena, wady - nie wszystkie elementy instalacji są odpowiednie.
Kompresuje
Lokalne leczenie zapalenia migdałków obejmuje stosowanie okładów rozgrzewających w celu usunięcia obrzęku, łagodzenia stanów zapalnych i bólu gardła. Często obejmują zbiory roślin, na przykład wywar z rumianku lub kory dębu. Jest to leczenie pomocnicze, które jest indywidualnie zalecane przez otolaryngologa.Wybierając kompozycję, ważne jest, aby wykluczyć tendencję do alergii na jeden ze składników. Alternatywnie możesz umieścić kompres alkoholowy na noc.
Procedury fizjoterapeutyczne
Wirusowe zapalenie migdałków jest leczone kompleksowo, oprócz stosowania leków lekarze nalegają na przeprowadzenie procedur fizjoterapii w pełnym cyklu - 10-12 sesji. Jest to ważne, aby przyspieszyć proces gojenia, aby wykluczyć dalszy rozwój niebezpiecznych powikłań. Oto najskuteczniejsze procedury fizjoterapeutyczne:
- inhalacje parowe i olejowe;
- Promieniowanie ultrafioletowe i ultradźwięki;
- mycie luk w szpitalu.
Środki ludowe
Przed skorzystaniem z pomocy medycyny alternatywnej ważne jest zbadanie wrażliwości organizmu na naturalne składniki, na przykład poszczególne zioła, miód i alkohol. Jeśli nie ma ograniczeń zdrowotnych, zapewniona jest dodatnia dynamika. Jeśli rozwinie się wirusowa dławica piersiowa, oto najskuteczniejsze środki ludowe z minimalną listą przeciwwskazań:
- Zajmuje od 2 do 3 łyżek. l Suszone łupiny cebuli zalać 500 ml wody, zagotować. Gotować na wolnym ogniu przez 7 minut, a następnie zdjąć, przykryć i nalegać. Stosuj jako gardło na ból gardła do 3-5 razy dziennie, ale najpierw musisz odcedzić kompozycję. Kurs trwa 7 dni.
- Weź łyżkę posiekanego babki i szałwii, zalej 500 ml wody. Gotuj kompozycję na małym ogniu przez 7 minut, a następnie nalegaj przez pół godziny. Dodaj 1 łyżeczkę. kochanie, płukać gardło przez cały dzień. Kurs trwa 7 dni.
- Zmiel czosnek, dodaj kilka kropel przegotowanej wody do przygotowanej zawiesiny, wymieszaj. Smaruj gardło jednorodną mieszanką przed snem, nie pij płynu. Powtarzaj procedurę do 5 dni.

Możliwe komplikacje i konsekwencje
Jeśli wirusowe zapalenie migdałków nie zostanie natychmiast leczone metodami zachowawczymi, obraz kliniczny jest znacznie skomplikowany, szczególnie u małych dzieci. Konsekwencje zdrowotne nie są najkorzystniejsze, nie zawsze są związane z życiem pacjenta. Poniżej przedstawiono potencjalne powikłania po wirusowym bólu gardła, które trudno jest skutecznie leczyć. To jest:
- zapalenie mózgu;
- krwotoczne zapalenie spojówek;
- zapalenie opon mózgowych
- bóle mięśni;
- zapalenie mięśnia sercowego.
Wideo
Angina - Szkoła Dr Komarowskiego
Dlaczego dławica piersiowa jest niebezpieczna?