Ropnie w gardle u dziecka i osoby dorosłej - przyczyny, diagnoza i metody leczenia
Zjawisko to nie jest niezależną chorobą, działa jako objaw innej patologii i wskazuje na potrzebę terapii. Kiedy u dorosłego lub dziecka rozwijają się wrzody w gardle, temperatura może być nieobecna, wtedy nadal musisz leczyć wrzody. Po badaniu specjalista będzie w stanie ustalić prawdziwą przyczynę wysypki i przepisać odpowiednie, skuteczne leczenie.
Jakie są wrzody w gardle
Ten objaw pojawia się tylko w przypadku poważnego problemu i nie działa jako niezależna choroba. Rany na gardle pojawiają się w wyniku zapalenia błon śluzowych, infekcji, powikłań innych aktualnych patologii. Z reguły powstają, gdy migdałki są dotknięte drobnoustrojami kokosowymi, na przykład:
- paciorkowce;
- gronkowce;
- enterokoki;
- pneumokoki
Ropnie stają się konsekwencją działania Pseudomonas aeruginosa lub uszkodzenia ciała przez patogenne grzyby z rodzaju Candida, które wywołują grzybicze zapalenie migdałków. Zapalenie występuje na błonie śluzowej, w której gromadzi się ropa. Po otwarciu ropnej zatyczki pozostają małe wrzody (ropnie), które goją się z czasem. Zafunduj sobie, bez konsultacji z lekarzem, nie mogą być z wielu powodów:
- Bez badań nie będzie możliwe prawidłowe i dokładne określenie pierwotnej przyczyny powstawania wrzodów. Zakażenia grzybicze, bakteryjne i wirusowe, które atakują migdałki i błony śluzowe, mogą powodować pojawienie się wysypki w jamie ustnej i konieczne jest leczenie ich różnymi lekami.
- U dziecka wysypki mogą sygnalizować rozwój poważnych patologii, które również wymagają potwierdzenia za pomocą specjalnych badań.
- Przy niewłaściwej terapii istnieje ryzyko poważnego osłabienia organizmu, a początkowa choroba przejdzie w stan przewlekły, może rozwinąć się reumatyzm, co niekorzystnie wpływa na tkankę łączną stawów, mięsień sercowy.
Objawy
Białe rany w gardle dziecka lub osoby dorosłej wskazują na rozwój choroby podstawowej, przeciwko której występują zmiany na błonie śluzowej.Niektóre z nich stanowią realne zagrożenie dla zdrowia ludzi, ponieważ powodują powstawanie kolejnych krost. Im więcej ran, tym wyższa temperatura, a to zaostrza proces zapalny, co zwiększa liczbę ognisk nagromadzenia ropy z limfocytów.
Procesy te wskazują na obecność następujących patologii: zapalenie migdałków, zapalenie gardła, zapalenie krtani, zapalenie migdałków. Wszystkie te choroby mają podobne objawy, które objawiają się następująco:
- Silny i ostry wzrost temperatury ciała do 40 stopni. Należy go zmniejszyć, aby białka we krwi nie zaczęły się krzepnąć.
- Ciepło zlokalizowane w klatce piersiowej, twarzy, które na przemian z dreszczami kończyn.
- Zapalenie węzłów chłonnych jest zapaleniem węzłów chłonnych tylnej części gardła.
- Zwiększenie wielkości gruczołów, co prowadzi do duszności, bólu podczas połykania stałego pokarmu, trudności w zamykaniu więzadeł.
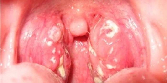
- Pojawienie się skupisk żółtych, białych wrzodów na migdałkach, ścianie gardła, podniebieniu.
- Na policzkach od wewnątrz, z tyłu gardła i na niebie pojawia się sieć naczyń krwionośnych.

Mechanizm rozwoju
Ropienie staje się reakcją organizmu na przenikanie flory oportunistycznej lub patogennej. Biała ropa w gardle pojawia się w wyniku wejścia mikroorganizmu do błon śluzowych, zaczynają go atakować makrofagi. Następnie powstaje duża objętość białych krwinek, które po śmierci zamieniają się w biały płyn z czopów. Występuje następująca kolejność pojawiania się, dojrzewania wrzodów w jamie ustnej:
- Bakterie dostają się do błony śluzowej. Dzieje się tak podczas rozwoju przeziębienia, gdy wirus dostaje się do gardła. Przyczyną może być powikłanie po ARVI, jeśli bakterie nadal się namnażają na błonie śluzowej.
- Ciało wykrywa i zaczyna walczyć z czynnikiem wywołującym chorobę. Ten etap charakteryzuje się pojawieniem się grudek i wrzodów, które są pokryte białą powłoką.
- Konfrontacja z infekcją. Na tym etapie występuje ostre zapalenie węzłów chłonnych, ponieważ gromadzi się duża liczba toksyn, martwych białych krwinek. Powstają w wyniku działania bakterii i wirusów.
- Zniknięcie ropni. Kiedy włamuje się korek, pojawia się ból, a następnie leczy się gardło. Węzły chłonne zyskują zwykły rozmiar, badanie dotykowe nie jest wyczuwalne.
Powody
Ropień w gardle powstaje w wyniku działania patogennej mikroflory na błony śluzowe. Ropne grudki tworzą się w wyniku odpowiedzi obrony immunologicznej na agresję patogenów. Mechanizm edukacji jest następujący:
- w celu zwiększenia ochrony wysyłane są białe krwinki z grupy pomocników T, co przyczynia się do wzrostu odporności;
- komórki te znakują białko obcej bakterii, aby makrofagi mogły je zaatakować;
- te ostatnie atakują bakterię, absorbują ją i gromadzą się w dotkniętym obszarze, który wygląda wizualnie jak ropne grudki.
Pojawienie się wrzodów jest wynikiem walki organizmu z patogenną mikroflorą, krosty są nagromadzeniem toksyn, produktów rozpadu, które są wydalane przez układ limfatyczny. Proces ten może powodować wzrost temperatury ciała, zagęszczenie i wzrost węzłów chłonnych. Najczęstsze patologie to:
- zapalenie migdałków (przewlekłe i ostre);
- błonica;
- ropne zapalenie migdałków, lakunarne lub nieżytowe;
- opryszczka ból gardła;
- kandydoza krtani, gardła;
- powikłania dusznicy bolesnej (ropień przynosowy);
- uszkodzenia mechaniczne i oparzenia gardła.
Brak temperatury
W niektórych przypadkach, z tworzeniem się grudek na powierzchni gardła, nie ma innych charakterystycznych znaków. Takie przypadki nazywane są nietypowym przebiegiem choroby, który czasami prowadzi do niewłaściwego leczenia, środki przeciwbakteryjne mają negatywny wpływ na układ odpornościowy i zmniejszają jego zdolność do obrony.Takie patologie obejmują zapalenie migdałków, w którym boli gardło, powstają wrzody, ale temperatura nie wzrasta. Inną przyczyną ropnej płytki nazębnej bez gorączki są choroby grzybowe.
Gardło nie boli, ale są wrzody
Innym nietypowym objawem patologii może być brak bólu. Przewlekłe zapalenie migdałków może wywoływać wrzody z tyłu gardła bez bólu, pojawiają się korki, które na zewnątrz są podobne do płytki nazębnej, jak w ostrej dławicy piersiowej. Obraz kliniczny z zakażeniem grzybiczym gardła jest bardzo podobny, gdy rozwija się zapalenie jamy ustnej. W diagnozie patologii nie wykluczaj kiły zapalenie migdałków, choroby Venchana.
Jeśli dana osoba rozwinęła głęboką immunosupresję (na tle innych patologii lub leków), wrzody mogą tworzyć się na migdałkach, ale nie powodują bólu ani wzrostu temperatury ciała. Ciało staje się bezsilne wobec infekcji i nie jest w stanie z nią walczyć. Po znalezieniu podobnej do kropki płytki białej w migdałkach należy skontaktować się ze specjalistami w celu uzyskania pomocy.
Krosty u dziecka
Z reguły u dzieci zapalenie migdałków staje się przyczyną tego objawu. Jeśli na gardle znajduje się ropna płytka nazębna, oznacza to chorobę zakaźną, a gdy pojawiają się grudki, uszkodzenie błony śluzowej gardła już się rozpoczęło. Występuje z następującymi patologiami:
- zapalenie migdałków i jego powikłania;
- zapalenie migdałków;
- uraz błony śluzowej gardła z dodatkiem flory bakteryjnej.

Brak temperatury
Ten obraz kliniczny jest charakterystyczny podczas budowania kawałka jedzenia w szczelinach migdałków, co wiąże się z ich luźną strukturą. Znikają same po połknięciu wody po 1-2 dniach. W takich przypadkach dodatkowa pomoc nie jest potrzebna. Ropnie bez gorączki w gardle są nietypowymi objawami, z reguły są konsekwencją nietypowej lub ukrytej patologii. Główne powody:
- faryngomikoza - uszkodzenie migdałków, gardło przez mikroorganizmy grzybowe, pojawiają się skupiska o zsiadłej postaci;
- nietypowa postać ostrego zapalenia migdałków powstaje przy niewłaściwym stosowaniu antybiotyków, znacznie zmniejszonej odporności organizmu;
- aftowe zapalenie jamy ustnej - powstaje na policzkach, gardle, migdałkach, małych białych ranach w postaci wrzodów, które są otoczone czerwonym nimbem, czasami osiągającym 1 cm średnicy.
Z temperaturą
Jest to przejaw typowego przebiegu większości infekcji, które dotykają błon śluzowych gardła i odnoszą się do obrazu klinicznego następujących chorób:
- zapalenie migdałków;
- zapalenie migdałków;
- zapalenie jamy ustnej
- błonica;
- uszkodzenie mechaniczne.
Jak leczyć
Lekarz powinien wybrać schemat terapii lekowej po zakończeniu badania. Leki są przepisywane w zależności od przyczyny problemu. Konieczne jest określenie rodzaju mikroorganizmu, który spowodował objawy, i wybór leków, na które jest wrażliwy. Z reguły w tym celu stosuje się antybiotyki i środki przeciwgrzybicze, roztwory do płukania. Ogólne zalecenia obejmują następujące elementy:
- leżenie w łóżku;
- obfity ciepły napój;
- z bólem podczas połykania musisz jeść miękkie jedzenie;
- 7-8 razy dziennie musisz spłukać, aby oczyścić krosty.
Terapia lekowa
Fundusze są wybierane w zależności od patologicznej mikroflory, która wpłynęła na błony śluzowe. Wszystkie leki opisane poniżej stosuje się tylko wtedy, gdy przyczyną choroby są mikroorganizmy grzybowe. Jest to grupa leków przeciwgrzybiczych, z których często przepisuje się następujące opcje:
- Flukonazol Weź to w postaci pastylek do ssania, które muszą zostać wchłonięte. Pomaga to skierować maksymalną ilość substancji leczniczej bezpośrednio na zmianę. W aptece można również znaleźć lek w postaci tabletek, maści.Dawka jest ustalana przez lekarza, ale z pleśniawki zwykle przyjmuje się 50 mg substancji 2 razy dziennie.
- Amfoterycyna Uwalniają lek w postaci proszku, maści, w złożonych przypadkach lepiej nadaje się kroplomierz. Gardło leczy się kremem z wazeliną i składnikiem przeciwgrzybiczym. Możesz wykonywać inhalację z lekiem przez 15 minut 2 razy dziennie.
- Nystatyna Dostępne w postaci tabletek lub maści. Kapsułki pije się 3 razy dziennie po 1 szt. po jedzeniu. Lek należy do trzeciej generacji, ma wysoką skuteczność.
- Ketokonazol Zgodnie z instrukcją musisz wziąć 1 kapsułkę dziennie, czas trwania terapii wynosi 14-20 dni. Uzupełnij to narzędzie o inhalacje, maści i płukanki.

Leki przeciwbakteryjne
Jest to najczęstsze leczenie, jeśli przyczyną objawu jest ropień lub bakteryjne zapalenie migdałków. Antybiotyki są zalecane na zapalenie zatok, zapalenie migdałków, zapalenie gardła. Lista popularnych leków przeciwbakteryjnych:
- Sumamed. Głównym lekiem jest azytromycyna. Antybiotyk, który jest szeroko stosowany w leczeniu górnych dróg oddechowych, narządów ENT. Jest stosowany w leczeniu wrzodów wywołanych szkarlatyną, przewlekłym zapaleniem gardła, zapaleniem migdałków. Nie jest skuteczny przeciwko infekcjom grzybiczym.
- Flemoksyna. Głównym składnikiem aktywnym jest amoksycylina. Lek należy do grupy penicylin, jest skuteczny przeciwko infekcjom koksu. Antybiotyk jest przepisywany w leczeniu dusznicy bolesnej wywołanej przez gronkowce i paciorkowce.
- Augmentin. Analog Amoxiclav różni się tylko niższą ceną w aptece. Głównym lekiem jest amoksycylina wraz z kwasem klawunianowym. Skuteczny lek przeciwko mikroorganizmom Gram-dodatnim i ujemnym.
Płukanie migdałków
Jest to profesjonalna procedura, która pomaga w przewlekłym zapaleniu migdałków pozbyć się ropnych zatyczek. Przeprowadzanie na własną rękę nie jest zalecane, ponieważ istnieje ryzyko uszkodzenia delikatnej tkanki, wszystkie działania wymagają zrozumienia procesu i wysokiej dokładności. Luki myje się, aby usunąć zawartość strumieniem wody, a następnie stosuje się odsysanie próżniowe. Podczas mycia lekarz bezpośrednio kontaktuje się z lukami, kierując na nich strumień wody. Pozwala to usunąć ropną zatyczkę z migdałków.
Według niektórych lekarzy ta metoda usuwania zawartości migdałków nie zapewnia wyzdrowienia, ponieważ tylko tymczasowo eliminuje objawy. W zdrowym stanie oczyszczanie odbywa się samoistnie, ale praktykujący laryngolodzy twierdzą, że stopniowe przywracanie funkcji migdałków następuje po wykonaniu szeregu prań.

Spłukać
Jest to jeden z obszarów leczenia większości chorób gardła. Płukanie roztworem pomaga usunąć część zanieczyszczeń i patogenną mikroflorę z powierzchni błony śluzowej, aby poprawić samopoczucie. Do tych celów przygotowywane jest specjalne narzędzie:
- Roztwór sody z solą. Musisz włożyć pół łyżeczki. sól i soda w 1 szklance ciepłej wody. Aby wzmocnić efekt, możesz dodać 3-4 krople jodu. Jeśli jest sól morska, lepiej ją użyć, ponieważ zawiera więcej minerałów. Konieczne jest płukanie 7-8 razy dziennie.
- Działanie antyseptyczne ma rozwiązanie furatsiliny. Konieczne jest rozpuszczenie 1 tabletki leku w 0,5 l wody.
- Nalewka z nagietka. Kwiaty tej rośliny mają działanie przeciwzapalne, lecznicze. Konieczne jest rozpuszczenie 5-10 kropli nalewki w szklance ciepłej wody i spłukanie. Jest zalecany w leczeniu zapalenia migdałków, zapalenia krtani. Płukać przez 30 sekund.
Wdychanie
Do leczenia ścian gardła krost można z powodzeniem zastosować inhalację. Do tych celów nadaje się urządzenie nebulizatora. Aby wyeliminować problem, stosuje się różne rozwiązania antyseptyczne, pomagają zwalczać grzyby, infekcje bakteryjne i wirusy. Najbardziej skuteczne są następujące fundusze na inhalacje:
- Bioparox. Fusafungina działa jako główny składnik aktywny.Ten lek należy do antybiotyków o szerokim spektrum działania. Jest sprzedawany w butelkach, w zestawie znajduje się kilka dysz, które można stosować zarówno do nosa, jak i jamy ustnej. Przed wstrzyknięciem przepłukać usta ciepłą wodą.
- Dekasan. Konieczne jest zmieszanie substancji w równych częściach z solą fizjologiczną. .
- Furatsilin. 0,25% roztwór leku dobrze nadaje się do zabiegu. Możesz użyć go w czystej postaci, do 1 inhalacji potrzebujesz 3-5 ml leku. Musisz oddychać 2 razy dziennie.
Metody ludowe
Kiedy u ludzi rozwija się kaszel, zwiększa się migdałki, zaczyna się ból gardła z powodu suchości w jamie ustnej, a następnie przed użyciem silnych leków należy wypróbować wywary z ziół, napary i inne środki ludowe. Możesz użyć następujących przepisów, które są używane do płukania i nawadniania:
- Rumianek i kora dębu. Konieczne jest pobranie równych części kwiatu i kory roślin, dokładne wymieszanie i umieszczenie 25 g mieszanki w pojemniku. Wlać 800 ml wrzącej wody i utrzymywać na małym ogniu przez 3 minuty. Po odcedzeniu i użyciu spłucz 6-7 razy dziennie. W przypadku zapalenia zatok można wejść za pomocą strzykawki lub strzykawki w nosie.
- Szałwia i mięta. Wymieszaj oba materiały w równych ilościach i wlej 20 g mieszanki do litra wody. Gotuj płyn przez 2-4 minuty w ogniu. Pozostawić do ostygnięcia do temperatury pokojowej, wziąć strzykawkę na 20 kostek i irygować gardło bez igły. Powtarzaj procedurę co godzinę.
- Nagietek z eukaliptusem. Wymieszaj równe ilości kwiatów i eukaliptusa z trawy. Wybierz 1 łyżkę. l wymieszać i zalać 500 ml wrzącej wody. Owiń produkt ręcznikiem przez 2 godziny, a następnie spuść roztwór przez sitko i wyrzuć trawę. Płucz usta co najmniej 5 razy dziennie.

Zapobieganie
Powstawanie owrzodzeń w jamie ustnej może być spowodowane różnymi chorobami, dlatego przy pierwszym podejrzeniu rozwoju procesu zapalnego (kaszel, któremu towarzyszy łaskotanie, bolesne jest przełykanie, temperatura ciała wzrasta), należy rozpocząć leczenie, aby nie usunąć migdałków. Aby zmniejszyć prawdopodobieństwo rozwoju takich patologii, konieczne jest wykonanie prostych środków zapobiegawczych:
- wzmocnić obronę immunologiczną;
- nie dopuszczaj czynników prowokujących, na przykład hipotermii;
- jakikolwiek proces zapalny w jamie ustnej jest nużący do usunięcia (infekcje narządów laryngologicznych, zębów, dziąseł itp.).
Zdjęcie krosty na gardle

Wideo
Andrey Duyko. Jak usunąć ropne zatyczki z gardła.