Wybielanie zębów za pomocą nadtlenku wodoru: recenzje i przepisy
We współczesnym świecie nie jest łatwo znaleźć osobę, która nie wie, że piękny uśmiech z białymi zębami jest znakiem sukcesu jego właściciela, symbolem zdrowia i dobrego samopoczucia. Pozytywne wrażenie uśmiechu powstaje dzięki kolorowi zębów. Aby uzyskać śnieżnobiały uśmiech w domu, pomoże wybielanie zębów za pomocą nadtlenku wodoru.
Zastosowanie jego rozwiązania do płukania jamy ustnej skutecznie pomaga rozjaśnić szkliwo zębów bez dużych strat finansowych i ciągłych wizyt u dentysty.
Jak działa nadtlenek wodoru na zęby
Żółknięcie lub płytka nazębna na szkliwie zębów pojawia się z powodu częstego używania śmieciowego jedzenia, kawy, herbaty i palenia. Ale nie każdy może odmówić porannego aromatycznego napoju lub pysznego jedzenia. Usuwanie płytki nazębnej za pomocą nadtlenku jest procesem chemicznego utleniania. Rozwiązanie mające kontakt ze szkliwem przenika nawet najgłębsze tkanki zęba, przyczyniając się do jego wyjaśnienia, jednak proces ten nie przebiega bez konsekwencji. W wyniku utleniania następuje szybkie zubożenie i mikrouszkodzenie warstw szkliwa.
Jak wybielić zęby w domu - nadtlenek

Istnieje kilka skutecznych sposobów wybielania zębów za pomocą nadtlenku wodoru w domu. Aby zapewnić dobry wynik i bezpieczne wybielanie, musisz przestrzegać kilku zaleceń:
- Jeśli wykonujesz procedurę po raz pierwszy, należy przeprowadzić test pod kątem braku reakcji alergicznych na główny składnik roztworu.
- Maksymalne stężenie substancji chemicznej do użytku domowego wynosi 3%. Zastosowanie roztworu o wysokim odsetku pociąga za sobą nieprzyjemne konsekwencje, takie jak zniszczenie szkliwa, oparzenia błony śluzowej.
- Jeśli podczas zabiegu poczujesz pieczenie, szczypanie lub inne nieprzyjemne odczucia, natychmiast przerwij wybielanie i dobrze wypłucz usta wodą.
- Do wybielania zębów zawsze używaj świeżego roztworu. Jeśli butelka z roztworem była otwarta przez długi czas, aktywne właściwości substancji zaczynają spadać.
- Stosowanie jedzenia jest możliwe po 30-60 minutach po sesji bielenia.
- Jeśli w jamie ustnej są rany, niezagojone rany zaleca się odkładanie pękających wybielaczy, ponieważ roztwór może podrażniać rany skóry.
- Nie wolno połykać nadtlenku, może powodować oparzenia, wymioty lub śmierć. Jeśli przypadkowo połkniesz rozwiązanie, natychmiast poszukaj pomocy medycznej.
Płukanie roztworu
Płukanie jest najłatwiejszą i najłatwiejszą metodą wybielania zębów, którą można wykonywać codziennie. Aby stworzyć rozwiązanie, potrzebujesz:
- Pasta do zębów zawierająca fluor.
- Woda
- Nadtlenek wodoru.
Sekwencja działań:
- Zmieszaj wodę z nadtlenkiem w stosunku 1: 1.
- Wlać 2 łyżki. łyżki przygotowanego roztworu w ustach i płukać przez 1 minutę.
- Wypluj mieszaninę i dobrze przepłucz usta wodą.
- Umyj zęby pastą do zębów, aby usunąć z nich pozostałe cząsteczki roztworu.
Z sodą

Skuteczną metodą jest wybielanie zębów nadtlenkiem wodoru za pomocą sody i pasty do zębów. Procedura może być wykonywana nie częściej niż raz w tygodniu, przy ścisłym przestrzeganiu środków ostrożności. Do wybielania potrzebujesz:
- Nadtlenek wodoru - 2 łyżeczki.
- Soda - 3 łyżeczki.
- Pasta do zębów - 0,5–1 łyżeczki.
- Sól jest szczypta.
- Ekstrakt z mięty pieprzowej do smaku.
Metoda użycia:
- Wlej sodę oczyszczoną na talerz, dodaj do niej nadtlenek wodoru. Przenieś wszystko dobrze, aby uzyskać jednorodną masę, która wizualnie przypomina konsystencję pasty do zębów.
- Aby uzyskać świeży aromat, dodaj do mieszanki kroplę ekstraktu z mięty i odrobinę pasty do zębów.
- Aby jakościowo usunąć płytkę nazębną z powierzchni zębów, zaleca się dodanie szczypty soli do mieszaniny.
- Nałożyć uzyskaną pastę na szczoteczkę do zębów i wcierać mieszaninę w szkliwo małymi ruchami okrężnymi, odczekać dwie do trzech minut.
- Następnie myjemy wszystko z zębów ciepłą wodą.
- Pozostałą mieszaninę ze szkliwa usuwa się pastą do zębów.
Czy bielenie zębów nadtlenkiem wodoru jest szkodliwe?
Chociaż nadtlenek wodoru ma dobre właściwości wybielające, ma poważne skutki uboczne. Wśród możliwych komplikacji są:
- Demineralizacja. Występuje z powodu wyczerpania szkliwa, ponieważ podczas bielenia nadtlenek wodoru wyługuje substancje mineralne. Na zębach pojawiają się białe plamki, a następnie miejsca próchnicy.
- Ponowne wybielanie. Czasami zdarza się to u osób, które bardzo często uciekają się do zabiegu. W wyniku nadmiernego wybielenia górna warstwa szkliwa zostaje całkowicie wymazana, zęby tracą swój naturalny błyszczący połysk, stają się kredowe. Podczas ponownego wybielania należy natychmiast skonsultować się z dentystą.
- Nadwrażliwość na kwaśne, zimne lub gorące potrawy. Bardzo często występuje w wyniku zubożenia szkliwa i pojawienia się na nim pęknięć. Dyskomfort związany ze specjalną pastą do zębów został wyeliminowany.
- Podrażnienie dziąseł. Pojawia się z powodu narażenia gumy na wysokie stężenie roztworu. Kiedy pojawi się taki objaw, należy przerwać procedurę wybielania i skonsultować się z dentystą.
Nie warto wybielać zębów nadtlenkiem wodoru, gdy:

- Ciąża, laktacja.
- Próchnica zębów
- Miąższ otwarty
- Choroby jamy ustnej i dziąseł.
- Drobna emalia.
- Z chorobami przyzębia lub zapaleniem przyzębia.
- Nadwrażliwość zębów na zimne lub gorące jedzenie.
- Obecność złośliwych nowotworów lub ran w jamie ustnej.
- Noszenie systemów wsporników.
- Alergie na rozwiązanie.
Recenzje
Julia, 28 lat: Raz w tygodniu przez miesiąc robię roztwór nadtlenku wodoru za pomocą sody i dodaję kolejną kroplę soku z cytryny. Po zabiegu zęby stają się zauważalnie jaśniejsze, płytka nazębna jest całkowicie usuwana. Przed rozpoczęciem wybielania radzę skonsultować się z dentystą.
Valentina, 30 lat: Czasami w celu profilaktyki w ciągu tygodnia płuczę nadtlenkiem wodoru. Jestem bardzo zadowolony z wyniku, uważam, że jest to dobra opcja budżetowa, z zastrzeżeniem wszystkich zasad ostrożności.
Karina, 35 lat: Próbowałem wybielić zęby mieszaniną nadtlenku i sody. Po pierwszej procedurze wynik był ledwo zauważalny, powtórzony jeszcze kilka razy. Zadowolony z efektu. Dla tych, którzy nie mogą sobie pozwolić na wybielanie u dentysty, ta opcja nie jest zła.
Ksenia, 27 lat: Początkowo bałem się przepłukać usta nadtlenkiem, po prostu wziąłem zwilżony wacik i delikatnie wbiłem go w zęby. Na tydzień zabiegów żółknięcie zębów zniknęło, stały się białe. Szczególnej szkody, zniszczenia szkliwa, nadwrażliwości na gorące lub zimne jedzenie, nie czułem po zabiegach.
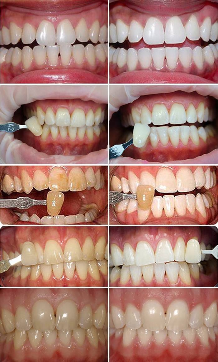
Zdjęcia przed i po zabiegu
Nadtlenek wodoru jest szeroko stosowany nie tylko w domu, ale także do wybielania zębów medycznych. To prawda, że sesja wybielania u dentysty odbywa się przy użyciu bardziej stężonego nadtlenku wodoru (15% lub więcej). A po zabiegu stosuje się remineralizujące żele z gliceryną w celu ochrony szkliwa. Zastosowanie nadtlenku w domu zapewnia delikatne wyjaśnienie szkliwa 1-2 ton. Nie należy liczyć na więcej, a częste procedury lub stosowanie wysokoprocentowego rozwiązania mogą powodować poważne problemy.
