Décima nona semana de gravidez
Agora o cérebro da criança está se desenvolvendo rapidamente e a cabeça do bebê é desproporcionalmente grande em relação ao corpo. Um momento importante desta semana é a formação de conexões nervosas que são responsáveis pelo funcionamento do sistema músculo-esquelético, e agora o bebê pode fazer movimentos não aleatoriamente, mas relativamente direcionalmente - para movimentar os dedos das mãos e dos pés. Ocorre ativamente o desenvolvimento de outros órgãos e sistemas, o feto está se preparando ativamente para o nascimento. Uma mulher já está ativamente sentindo os movimentos do bebê, eles podem não ser distintos ainda, mas todos os dias eles estarão mais confiantes. O peso aumenta, as proporções da figura mudam, o estômago claramente se projeta para a frente, o trabalho de órgãos internos muda, o volume de sangue e a carga no coração aumentam.
O que acontece com o corpo na semana 19
19 semanas é o 5º mês obstétrico (a terceira semana) ou o quarto mês do calendário. Na próxima semana chegará o equador da sua gravidez. Nesse período, o crescimento do abdômen se acelerou, e já é claramente visível para os outros e, além disso, tornou-se desconfortável dormir de costas e às vezes é difícil encontrar uma postura confortável para relaxar. Com movimentos repentinos, a dor ocorre devido à tensão dos ligamentos do útero e à compressão dos órgãos internos. Uma bandagem pré-natal ajudará a lidar com o inconveniente.
As estrias ainda aparecem nos quadris, abdômen e peito devido ao estiramento da pele, nesses locais também pode coçar devido à deficiência de umidade. Você precisa usar produtos especiais para o cuidado da pele e usar apenas roupas feitas de tecidos naturais.
Um aumento nas secreções ocorre devido a mudanças no fundo hormonal e produção ativa de muco para proteger a vagina da infecção. Preocupações com transpiração, cárie dentária, sangramento e sensibilidade gengival podem se desenvolver. Devido à natureza da circulação sanguínea, pode haver uma diminuição na pressão, tontura, fraqueza e dor de cabeça.
O ganho de peso é de aproximadamente 3-6 kg, e é importante monitorar a dieta para não adicionar excesso e não ter dificuldades no parto. O corpo sofre alterações em conexão com a preparação ativa para o parto - gradualmente relaxando e divergindo na área pélvica para aumentar sua capacidade e expandir o anel pélvico.Isto leva a uma mudança na marcha e dor nas costas e parte inferior das costas, você precisa descansar mais frequentemente com as pernas levantadas ou em uma posição reclinada, abandonar os sapatos apertados com os saltos. A essa altura, o útero já subiu alto o suficiente e às vezes pode haver falta de ar, vale a pena aprender a respirar profunda e com firmeza. Nesse período, uma diminuição na hemoglobina pode ocorrer devido à liquefação do corte devido ao plasma. Com anemia severa, suplementos de ferro e nutrição reforçada serão recomendados.
Desenvolvimento fetal: tamanho do peso e sexo
Por esta semana o bebê atingiu um peso de 300 ge sua altura é de cerca de 24-25 cm, você já conhece o gênero exatamente - você tem uma menina ou um menino de acordo com o ultra-som. Nesse estágio, todos os órgãos internos são formados e passam pelo estágio de maturação e aperfeiçoamento. A pele torna-se mais espessa, já não está tão enrugada e fina devido ao acúmulo gradual de gordura subcutânea. Ela se tornará a principal fonte de energia para o bebê nos primeiros dias de vida e ajudará a manter a temperatura corporal do bebê. A área de órgãos internos (especialmente perto dos rins), tórax e pescoço é a primeira a "engordar". O sistema nervoso passa por um grande estágio de desenvolvimento todos os dias com a formação de numerosas novas conexões neurais, formação de circunvoluções e córtex e crescimento cerebral. Devido a isso, os reflexos incondicionados da criança são melhorados, seus movimentos são complicados. Ele pode mover ativamente seus membros, engolir e chupar um dedo, piscar e enrugar, abrir a boca e fazer caretas. Uma criança pode reagir ativamente violentamente a sons altos, mas sons melódicos o acalmam.
Durante este período, o intestino está ativamente envolvido no trabalho, as fezes originais (mecônio) se acumulam nele, os reflexos digestivos são formados, a bile é secretada para a digestão do líquido amniótico. Os rins estão trabalhando ativamente, formando urina, que o bebê secreta da bexiga para o líquido amniótico. Além disso, ocorre a formação dos pulmões do feto e da árvore brônquica, embora ainda esteja longe da respiração independente. No entanto, o corpo da criança ainda é imperfeito e seus órgãos e sistemas, se nascidos neste período, não são viáveis, por isso agora é extremamente importante monitorar a saúde. O feto atingiu um tamanho impressionante e seus movimentos ativos já podem ser capturados por quase todas as mães. Este é um indicador importante da condição do feto nesta semana, embora o número exato de movimentos ainda seja difícil de calcular.
As glândulas fetais estão trabalhando ativamente, produzindo um lubrificante primordial para proteger a pele e o processo de nascimento. A pele do feto é coberta de cotão (lanugo) e irá retê-lo até mais tarde na gravidez. Neste período, os rudimentos dos dentes permanentes são colocados sobre os rudimentos de uma mordida de leite.

Sentimentos de uma futura mãe
Neste momento, as principais sensações para a futura mãe serão o movimento do bebê. Se você é magra ou não é seu primeiro bebê, então os movimentos já podem ser bem distintos, para mulheres grávidas gorduchas e precoces, as sensações geralmente são mais leves - como transbordamento de água, rolamento de pássaros, movimento gradual, uma forma distinta de bater e sacudir. Além disso, a falta de ar e fadiga podem ocorrer devido ao ganho de peso e pré-carga dos pulmões pelo útero em crescimento, você já se sente muito gordo, especialmente na cintura e no abdômen. O cabelo mais grosso tornou-se agora, torna-se mais oleoso e cai menos, mas a pele da cabeça e todo o corpo se tornou sensível, coceira e vermelhidão podem ocorrer. Com a exposição prolongada ao sol aberto, a pigmentação da pele nas mãos, corpo e rosto pode ser mais pronunciada. Cuidados devem ser tomados em cosméticos e perfumes, devido ao funcionamento alterado do sistema imunológico, alergias podem ocorrer com freqüência. Pode haver comichão na pele nos quadris e no abdômen, o que pode ser um prenúncio de estrias, por isso mantenha a pele hidratada. A.
Em geral, agora você ainda se sente relativamente confortável, pode ir trabalhar, fazer coisas familiares, viajar e manter a intimidade com um parceiro. Sensações desagradáveis podem ocorrer apenas ocasionalmente devido ao crescimento gradual do abdômen e da própria gravidez. Isso pode incluir descarga do tórax, congestão nasal, quedas de pressão, constipação e flatulência, azia ao comer demais, músculos da panturrilha e distração. Pode haver algum desconforto no umbigo e sua protrusão devido à pressão uterina.
Condição do útero
O útero está crescendo ativamente e ganhando peso com o bebê, até o final da gravidez vai atingir um peso de 1,5 kg, e agora seu peso é de cerca de 350 g, o fundo do útero é sentida 1,6 cm abaixo do umbigo, a altura do fundo do útero é de cerca de 19-20 cm.
Com o crescimento do útero, o desconforto no abdômen pode ocorrer devido à tensão dos ligamentos e da pele. Cólicas ou sensações que o útero é pedregoso tornam-se muito densas, especialmente se tais sensações ocorrem regularmente e por um longo tempo. Esta é uma ocasião para atenção médica imediata. Nesse período, com longa permanência em decúbito dorsal, é possível a síndrome da “veia cava inferior” com tontura e náusea devido à compressão do útero dos vasos próximos à coluna vertebral.
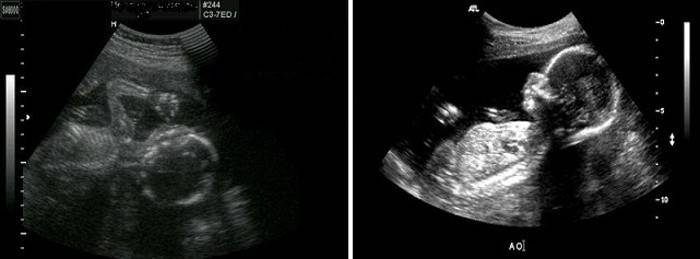
Ultrassonografia
Durante esse período, a maioria das mulheres é submetida à ultrassonografia como parte de uma segunda triagem de gravidez. Neste período, você especificará o sexo do seu bebê. Se possível, você pode ir e ultra-sonografia 3D do feto, onde você pode ver seu bebê em toda a sua glória. Mas para os especialistas em ultrassonografia é necessário não apenas determinar o sexo, mas também determinar os indicadores como:
- idade gestacional
- altura e peso fetal estimados,
- a localização da placenta e sua condição,
- quantidade e condição do líquido amniótico,
- o tamanho dos ossos do feto da circunferência do abdômen e da cabeça.
O médico avaliará a estrutura dos órgãos internos, avaliará os batimentos cardíacos fetais e a circulação sanguínea, além de verificar se o feto apresenta malformações congênitas e suspeitas de patologias genéticas. Se houver um nascimento anterior por CS, o médico irá avaliar a condição da sutura e fixação da placenta.

Secreções genitais
Neste período, a quantidade de secreções pode aumentar ligeiramente devido ao aumento das quantidades de estrogênio, elas podem ser brancas ou transparentes, impurezas inodoras e patológicas, não causam qualquer desconforto para a futura mãe. Secreção esverdeada ou amarelada, cinzenta, coalhada ou espumosa, com um odor ou muco desagradável, ardor e comichão na vagina podem tornar-se perigosos. Na maioria das vezes, o sapinho é ativado durante este período, que deve ser tratado de forma que não provoque a ameaça de interrupção da gravidez. Não menos perigosas são as infecções urogenitais, que podem levar à infecção das membranas e do feto.
A secreção sanguinolenta é especialmente perigosa, indicando uma possível interrupção da gravidez, descolamento da placenta ou outras patologias. A descarga marrom após o sexo é possível na presença de erosão cervical. Na presença de tais secreções, você deve consultar imediatamente um médico.Um sangue escarlate ou escuro é especialmente perigoso contra o pano de fundo da dor abdominal e tom uterino, chame uma ambulância imediatamente!
Que testes fazer
Neste período, são realizados estudos clínicos gerais - exames de sangue e urina, um exame de sangue para os níveis de glicose, urina para um nível de proteína total. Se a triagem não tiver sido feita antes, você será testado neste período de tempo:
- hCG grátis
- níveis de alfa-fetoproteína
- nível estriol
O que no complexo dará o conceito de haver um risco aumentado de desenvolver anormalidades cromossômicas e malformações congênitas, mas esses indicadores dão apenas probabilidade, mas não fazem diagnósticos definitivos.
Dor abdominal
Com o curso normal da gravidez neste período, não há sensações dolorosas especiais.Apenas sensações de curto prazo de desconforto nos lados do abdômen devido à tensão dos ligamentos do útero e deslocamento de órgãos internos podem ocorrer. Mas, se ocorrer dor abdominal, eles devem ser tratados com especial cuidado. Uma das causas da dor abdominal pode ser envenenamento ou infecção intestinal - com elas há diarréia, pode ocorrer febre e ocorre dor abdominal intensa. Para mulheres grávidas, isso é perigoso e requer atenção médica imediata e tratamento intensivo.
Não menos perigosa pode ser a sensação que puxa o baixo-ventre. isso pode ser um sinal de infecção urinária, pielonefrite, tônus uterino ou problemas cervicais. Se durante duas ou três horas de descanso tais sensações não passarem, se se intensificarem ou se ocorrerem outros sintomas desagradáveis, procure imediatamente um médico.
Ansiedade com cólicas abdominais, com uma forte compactação do útero e a presença de secreção sanguinolenta do trato genital, devem ser especialmente graves. Estes podem ser sinais de aborto ou descolamento prematuro da placenta. Precisa de hospitalização imediata e terapia.
Dieta e peso da mamãe
Para o pleno desenvolvimento do bebê e a preservação da saúde da mãe, é necessária uma nutrição completa e adequada. A dieta deve consistir de saudável e equilibrada para todos os elementos de alimentos - proteínas, minerais e vitaminas, carboidratos e gorduras. Os alimentos não devem ser fritos, é melhor assar sem usar muita gordura, vale a pena abandonar carnes fumadas e alimentos condimentados, conservantes e corantes, bem como reduzir a quantidade de doces e salgados consumidos. Certifique-se de incluir alimentos de cálcio e ferro em sua dieta. Esta é aveia e trigo mourisco, damascos secos, figos, mirtilos, caquis, suco de tomate, coelho e carne. Não menos útil será verduras com legumes e frutas, bem como queijos, ovos, língua cozida e fígado. É necessário comer pequenas porções, de modo a não sentir fome, mas também não transmitir, para que não haja desconforto no sistema digestivo.
Semanalmente você precisa controlar o peso, aumentos semanais não devem exceder 250, máximo de 300 g, por esta altura você pode adicionar cerca de 3-6 kg, dependendo do corpo, mas a taxa de aumento é determinada individualmente pelo médico, com base no peso antes da gravidez e da dinâmica do seu aumento ou perda no primeiro trimestre. Além disso, o ganho de peso depende da idade, do físico, da ausência ou da presença de uma patologia crônica.

Sinais de uma gravidez congelada
É importante acompanhar de perto o estado do seu corpo, porque neste período, embora com pouca frequência, pode haver sinais de uma gravidez morta, uma condição especial do corpo. Quando desaparece, o desenvolvimento fetal pára durante a sua morte intra-uterina. Geralmente isso acontece no início da jornada de nove meses, mas também pode ocorrer no meio devido a anormalidades genéticas, malformações congênitas graves, doença da mãe ou exposição a fatores negativos externos. Ao mesmo tempo, os movimentos fetais desaparecem, não há crescimento no abdômen e na altura do fundo uterino. Descarga de sangue da vagina pode se juntar, de acordo com ultra-som, o batimento cardíaco não é ouvido, não há movimentos fetais, líquido amniótico pode ser nublado e heterogêneo. Com tal tragédia, o aborto é necessário devido ao perigo de complicações sépticas da mãe. Para evitar tais complicações, visitas regulares ao médico e monitoramento da condição do feto são necessárias.
Sexo
No segundo trimestre, é hora das relações sexuais, não há ameaças de gravidez, a sensualidade da mulher aumentou, os genitais estão cheios de sangue e, graças a isso, a mulher tem mais prazer. Nesse caso, o estômago impõe algumas restrições na escolha das posturas e na profundidade da penetração. No entanto, em geral, a frequência de contatos sexuais e sua duração não é limitada, eles dependem do desejo e capacidade dos parceiros. Um médico pode proibir o sexo se houver uma ameaça de interrupção da gravidez, baixa placentação e placenta prévia, insuficiência istmo-cervical ou alguns problemas de gravidez.Em outros casos, este é o momento mais grato para você e seu parceiro.