Vigésima semana de gestação
Você chegou no meio do semestre, a partir desta semana a contagem regressiva já vai para o parto, o que pode acontecer no período de 38 a 41 semanas. A criança já cresceu o suficiente em sua barriga, ele já amadureceu e está se movendo ativamente, e você sente isso. Mas agora ele ainda não está apto para uma vida extra-uterina e você ainda precisa percorrer metade do caminho antes de nascer. O garoto já se parece com um homenzinho, embora ainda não seja muito proporcional, mas agora você já conhece o gênero dele, e você pode gradualmente preparar o dote. Seu corpo também mudou muito, seu estômago já está claramente visível, e estrias e manchas podem aparecer devido à tensão da pele. Agora o peso do feto e do útero já é palpável pelas suas costas, a marcha mudou.
Mudanças no corpo na semana 20
A 20ª semana de gravidez é o quarto mês lunar, ou o quinto mês obstétrico, você chegou ao equador da gravidez. Agora seu corpo ficou volumoso o suficiente, e sua gravidez é claramente visível para todos, ocorrem mudanças na pele: pigmentação aparece na pele ao redor dos mamilos, sardas podem ficar mais escuras devido ao aumento na produção de melanina (pigmento da pele), que dá uma faixa escura no estômago. A aparência do cloasma é possível - manchas escuras perto do nariz, na testa, maçãs do rosto e no lábio. Estes também são distúrbios pigmentados que ocorrem no segundo trimestre e passam após o parto. Para reduzir suas manifestações, vale a pena proteger seu rosto da luz solar.
Lutas especiais de treinamento podem ocorrer - uma tensão curta e indolor do útero, preparando-o para o parto. À medida que o prazo aumenta, esses ataques de Brexton Heights ocorrerão com mais frequência. Mas se esta tensão se tornar regular e doer, consulte um médico imediatamente.
Episódios de tontura podem ocorrer devido à permanência prolongada nas pernas e diminuição da pressão, devido ao fluxo de sangue para a metade inferior do corpo. Você precisa descansar mais vezes, levantando as pernas.Por esta altura, a pele do abdómen é significativamente esticada, o que pode levar a comichão e formação de estrias (estrias), uma erupção cutânea no abdómen. Para evitar as estrias e eliminar a coceira, você precisa usar hidratantes e agentes nutritivos. No entanto, se a coceira se tornar dolorosa e insuportável, isso pode ser um sinal de lesão hepática grave - colestase (congestão biliar). Nesse caso, a bile entra na corrente sanguínea e os ácidos biliares se acumulam na pele. Esta condição é perigosa e requer tratamento hospitalar.
Desenvolvimento fetal na vigésima semana: tamanho do peso e gênero
Neste período, o tamanho do cóccix-parietal do bebê é de cerca de 15-16 cm, ou até 25 cm de comprimento da coroa até os calcanhares, enquanto pesa até 250-260 g Acredita-se por muitos povos que a esta altura o bebê ganhará uma alma. Os órgãos sensoriais do bebê estão bem desenvolvidos e ele ouve todos os sons do seu corpo e as batidas do seu coração, sua voz e seus sons externos. Seu coração bate muito rapidamente e o médico pode ouvi-lo com um tubo especial - um estetoscópio. Unhas aparecem nos dedos, cabelo começa a crescer na cabeça, a pele fica mais espessa, quatro camadas se tornam nela. Um certo ritmo diário é formado em uma criança, com uma mudança na atividade e no sono, o bebê brinca com o cordão umbilical e os dedos, chupa um dedo e abre os olhos. O garoto se move ativamente, se vira, move seus braços e pernas. A pele do feto é gradualmente coberta com graxa primordial, que protege a pele do líquido amniótico e ajuda durante o parto. Além da lubrificação original, o corpo é coberto com canhões - lanugo.
A pele do amendoim ainda está enrugada, enquanto ainda há muito pouca gordura subcutânea, gradualmente assume a forma de um nariz e orelhas. A formação do sistema imunológico, e agora a criança pode se defender contra infecções. O cérebro e seus departamentos são formados rápida e ativamente, formando mais rugas e sulcos na superfície. Os órgãos digestivos estão ativamente envolvidos no trabalho e amadurecem, o aparelho respiratório se desenvolve, o sistema hematopoiético produz suas próprias células sanguíneas.

Sentimentos de uma futura mãe
Na 20ª semana de gravidez, sua gravidez já é claramente visível e você tem orgulho de usar sua barriga. Neste período, você sente um elevador emocional e físico, sua aparência irá melhorar. A cintura foi completamente alisada e a barriga inchada para frente, o umbigo pode sair, os quadris se alargaram. O tamanho dos sapatos e a circunferência do pulso podem aumentar devido ao inchaço.
Devido a mudanças no corpo, a visão pode deteriorar-se ligeiramente, vale a pena consultar um médico, geralmente estes são fenômenos temporários. O útero quase atingiu o nível do umbigo e pressiona os órgãos internos, o que pode levar a constipação, arrotos e azia e micção freqüente.
Devido à pressão reduzida, pode haver uma avaria geral e fraqueza, tonturas e até desmaios, especialmente em clima quente e em salas abafadas, nos transportes públicos. Corrimento vaginal pode aumentar, hemorragias nasais e sangramento nas gengivas podem ocorrer.
Os primeiros movimentos do feto serão especialmente trêmulos, eles são especiais e peculiares, semelhantes a tremores leves, gorgolejar e transfusão de fluido. Aos poucos, eles se tornam mais ativos e, ao se movimentarem, a mãe aprende sobre a condição e o humor do bebê. Esses sentimentos e, em geral, a própria gravidez causam um surto emocional na mãe, o desejo sexual aumenta e a intimidade torna-se especialmente emocional.
O primeiro colostro pode aparecer no peito. Há uma mudança na postura e na marcha, desconforto e dor nas costas, podendo ocorrer expansão da pelve e da articulação púbica. Isso exigirá o uso de uma bandagem especial para apoiar o abdômen, controle de peso e descanso. Ocasionalmente, espasmos dos músculos da panturrilha podem perturbar, especialmente com deficiência de cálcio.Com fadiga e peso nas pernas, você deve visitar um flebologista para o aparecimento de varizes, você pode precisar usar roupas íntimas de compressão.
Ao elevar o útero na cavidade abdominal, você pode sentir falta de ar e falta de ar ao caminhar ou se exercitar. Você precisa respirar profundamente e com firmeza. Ganho de peso rápido e a formação de edema podem ser perigosos. Se o ganho de peso for grande e as marcas nas pernas e nas mãos forem visíveis de anéis, relógios e elásticos, consulte um médico. Não consigo mais dormir de costas, minha cabeça pode ficar tonta, então o problema de uma posição de dormir confortável é mais relevante do que nunca. Vale a pena comprar travesseiros especiais e usá-los para criar um sono confortável para você.
Condição uterina na 20 semana obstétrica
O útero está aumentando ativamente em tamanho - agora está a 20 cm do seio e a cerca de um dedo abaixo do umbigo. Devido a isso, ele se projeta suficientemente para a frente e a barriga é pronunciadamente arredondada. O peso do próprio útero agora chega a 40 gramas, a espessura da parede é de até 1,5 cm.Devido ao crescimento do útero, o umbigo pode protuberância para fora, não é perigoso, e após o parto ele irá desaparecer. A cintura desapareceu e o estômago está claramente visível, mostrando claramente a sua posição. De tempos a tempos, o útero pode contrair-se facilmente, condensar-se, de forma indolor e irregular - estas são contrações de treino.
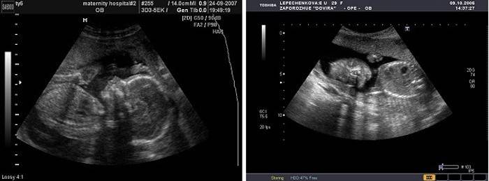
Exame de ultra-som (Uzi)
Normalmente, um exame de ultrassonografia de 20 semanas é agendado como parte de um segundo estudo de rastreamento. no contexto deste estudo, é possível confirmar o sexo do feto assumido na ultra-sonografia anterior, bem como avaliar muitos indicadores de desenvolvimento do bebê, identificar anormalidades do desenvolvimento e patologias genéticas. Neste período, é feita uma avaliação da altura e peso do feto, a sua conformidade com a idade gestacional, posição e condição da placenta, a quantidade de líquido amniótico. Com ultra-som, o médico estuda a estrutura dos rins, coração, intestinos do feto, bexiga, fígado e pulmões e cérebro. O coração fetal é estudado levando-se em conta o fluxo sanguíneo usando-se a dopplerometria e, se forem detectados defeitos cardíacos, medidas adicionais serão necessárias.
Nesse período, é possível realizar ultrassonografia 3D de acordo com as indicações especiais ou a pedido dos pais.

Secreções genitais
Na 20ª semana, devido à ação do estrogênio, as secreções podem se tornar um pouco mais abundantes, mas geralmente são uniformes em consistência, transparentes ou leitosas, sem impurezas e odor patológico. A descarga normal não causa desconforto a uma mulher.
Na presença de secreções patológicas, você deve consultar imediatamente um médico e excluir infecções, incluindo DSTs, aftas e vaginose bacteriana. A patologia é considerada descarga abundante, com um desagradável cheiro azedo, podre ou suspeito, cinza, verde, amarelo, espumoso, com uma mistura de pus e muco, diminuta e coalhada. Além disso, a causa do contato com um médico deve ser comichão e ardor na vagina e órgãos genitais externos, sua irritação e vermelhidão. Isso deve ser tratado imediatamente para que a infecção não passe para as membranas.
Especialmente perigoso é o aparecimento de manchas, que podem indicar patologia placentária, seu distanciamento ou nascimento prematuro. corrimento marrom, que pode indicar uma patologia do colo do útero ou a ameaça de interrupção da gravidez, não é menos perigoso. imediatamente precisa chamar uma ambulância e hospitalizar em um hospital. Especialmente perigosa é a combinação de tais secreções com dor abdominal e tom uterino.
Que testes fazer
Agora você precisa visitar um médico duas vezes por mês, e na vigésima semana você terá que fazer exames de urina e sangue, o nível de glicose na urina e no sangue, se necessário. Se houver suspeita de anormalidade fetal, testes adicionais podem ser indicados para o nível de sangue de hCG, alfa-fetoproteína. Neste caso, a progesterona não é investigada, seu nível não será indicativo.
Dor abdominal e nas costas
Neste período, devido ao crescimento do útero e tensão dos ligamentos, pode haver sensações desconfortáveis - às vezes o lado direito afunda ou dói devido à proximidade do fígado e tensão dos ligamentos do útero. Mas essas dores são curtas e não agudas, elas passam depois do repouso por conta própria e são percebidas como dor incômoda. Se ocorrer dor, é preciso ter cuidado com ela, portanto, se a parte inferior do abdômen puxa e a parte inferior das costas dói, enquanto a urina está turva ou em flocos, pode haver sinais de lesão renal, cistite ou pielonefrite. A dor abdominal aguda com fezes prejudicadas e náuseas, vômitos podem ser sinais de envenenamento ou infecção intestinal.
Na presença de cólicas abdominais com secreção marrom ou sanguinolenta, pode haver uma ameaça de interrupção da gestação ou descolamento prematuro da placenta, parto prematuro ou insuficiência istmo-cervical. Isso requer atenção médica imediata e hospitalização.
Devido ao crescimento do abdômen, a dor nas costas e parte inferior das costas pode ocorrer devido a uma carga alterada nas costas. Para aliviar a dor, você precisa usar uma bandagem especial para mulheres grávidas, distribui a carga nas costas e alivia a dor.
Devido à deficiência de cálcio e uma carga crescente nas pernas, pode ocorrer dor nos bezerros e até mesmo cãibras. É necessário descansar mais frequentemente e tomar preparações adicionais de cálcio.

Baixa placentação
Neste período da gravidez, é importante determinar a localização da placenta por ultra-som, já que se ela for fixada em baixo, será dada a conclusão "baixa placentação" e será necessário monitorar o crescimento da placenta. Esta condição é perigosa na medida em que pode formar uma apresentação parcial ou completa da placenta. Esta condição é sangramento perigoso e a ameaça de descolamento prematuro da placenta. Mas muitas vezes baixa placentação com o crescimento do útero passa, a placenta "move" mais alto ao longo da parede do útero devido à expansão do tamanho do útero.
Resfriado comum e corrimento nasal
Neste período, o sistema imune fetal está ativamente trabalhando, e a placenta não passa infecções perigosas para o bebê. Mas, no entanto, febre, mal-estar, corrimento nasal e tosse podem agravar significativamente a condição da mãe e afetar indiretamente a condição do feto e o fluxo sangüíneo útero-placentário. Além disso, nem todos os medicamentos durante a gravidez são aprovados para uso e, devido à diminuição da imunidade, muitas infecções são bastante difíceis.
Dieta e peso da mamãe
Com 20 semanas de gestação, o peso de um aum aumentou em média de 4 a 7 kg e, a partir desse momento, você estará ganhando peso de forma ativa e rápida. Em média, os aumentos semanais serão de cerca de 500 g, com grandes aumentos, vale a pena revisar a dieta e eliminar a pronunciada retenção de líquidos.
Portanto, considerar estritamente as questões nutricionais, comer um pouco, mas muitas vezes, evitando muito alto teor calórico, carboidratos e alimentos doces. A nutrição deve ser completa e equilibrada, com bastante vegetais e frutas, ervas frescas. Você deve evitar alimentos refinados, alimentos de conveniência e fast food, cozinhar alimentos em casa, sempre frescos e sempre com primeiro e segundo cursos. Certifique-se de ter um café da manhã e almoço altamente calóricos, mas um lanche da tarde e o jantar devem ser leves, você precisa de carne e peixe, legumes, frutas, laticínios e cereais, ovos e queijos.
Vale a pena prestar atenção especial ao desejo de comer alguns alimentos especiais ou mesmo não comestíveis (argila, giz, batatas cruas), isso pode indicar uma falta de ferro, magnésio, cálcio ou outros elementos no corpo. Alimentos fortemente salgados, alimentos gordurosos e condimentados devem ser evitados, pois podem aumentar o inchaço.
Sinais de uma gravidez congelada
Nesse período, isso acontece raramente, mas se o feto tiver malformações congênitas, infecções intrauterinas ou anormalidades do desenvolvimento, seu desenvolvimento pode parar nesse período. Depois de um batimento cardíaco, o feto morre, mas não é rejeitado pela mãe. A mãe pode notar uma diminuição no ganho de peso, falta de crescimento do abdómen e dos movimentos, mal-estar e temperatura, e, em seguida, manchas no trato genital.
Este fato de uma gravidez congelada é confirmado apenas de acordo com a ultrassonografia e o útero é curado, o feto não pode ser deixado na mãe, levará à infecção. No futuro, a reabilitação e o tratamento a longo prazo são necessários e, em seguida, o estágio do planejamento cuidadoso da gravidez.
Vigésimo Sexo
Durante este período, uma mulher recebe novas emoções do sexo devido a um aumento do nível de estrogênio. Portanto, ter relações sexuais com um parceiro é indicado se não houver patologias de gravidez. Eles ajudarão a aliviar a tensão e melhorar o tom emocional, dando ao relacionamento novas cores. É importante escolher a postura correta e profundidade de penetração, o resto - você só precisa aproveitar a posição.