Tumor cerebral - sintomas nos estágios iniciais. Primeiras manifestações e diagnóstico
Neoplasias intracranianas são comuns. Das 1000 oncologias, 15 estão com localização semelhante. As formações volumétricas intracranianas ameaçam a saúde e a vida humanas. Se o tratamento não for iniciado a tempo, a consequência é uma morte inevitável.
Causas de um tumor cerebral
A doença é secundária ou primária. Se houver uma oncologia, a corrente sanguínea transporta as células cancerígenas por todo o corpo, uma doença secundária começa a se desenvolver. Não é considerado independente. As causas que levam à ocorrência de patologia primária são pouco compreendidas. O único culpado conhecido é a radiação. Outros fatores de risco não possuem evidências científicas completas em neurologia.
Causas da Oncologia:
- Hereditariedade (síndromes de Gorlin, Turko).
- Papillomas tipo 16, 18.
- Características da idade (em crianças entre os 3 e os 12 anos, adultos com mais de 45 anos).
- Distúrbios do desenvolvimento fetal.
- Radiação (eletromagnética, radiação).
Existem outros fatores que desencadeiam o desenvolvimento de tumores. O tumor cerebral primário freqüentemente aparece subsequentemente processos inflamatórios no corpo, reduzindo a imunidade. Os fatores enumerados acima, por via de regra, não levam à ocorrência de formação maligna volumétrica, mas podem tornar-se o seu catalisador abaixo de certas circunstâncias concomitantes.

Classificação
As neoplasias do cérebro respondem por até 5% de todas as suas lesões. Eles são agrupados de acordo com o grau de malignidade, localização (tronco, hipotálamo, cerebelo), composição histológica e outras propriedades. Com base na histologia, os tumores cerebrais são divididos em 4 grupos. Cada um é atribuído a um código ICD. Segundo as estatísticas, até 60% das neoplasias são cânceres.
Classificação de tumores pelo nome do tecido afetado:
- Neuromas Formações nos nervos cranianos e paraespinhais.
- Meningiomas Neoplasias nas meninges.
- Formações neuroepiteliais:
- astrocitomas;
- oligodendrogliomas;
- gliomas;
- formações gliais;
- gliosarcomas;
- glioblastomas;
- gangliogliomas;
- ependimoma anaplásico;
- pineoblastoma, etc.
Benigno
Tais doenças (cisto dermóide, neoplasias cístico-sólidas, etc.) não exigem menos atenção do que o câncer. Um tumor no cérebro pode ser benigno ou maligno, mas essa divisão é muito arbitrária. O volume do crânio é pequeno. Células de uma formação benigna, crescendo, espremem tecidos próximos. Devido a isso, a pressão intracraniana aumenta, centros nervosos significativos são danificados.
Um tumor cerebral benigno, como uma doença oncológica, é perigoso para o corpo humano. Independentemente da variedade, é necessário identificar atempadamente um tumor na cabeça, começar a tratar o doente. Neste caso, uma previsão positiva é dada frequentemente. Metade de todas as neoplasias benignas são tratadas com sucesso, mas se nada for feito, há uma chance de sua transformação em oncologia.
Maligno
O câncer é propenso a crescimento excessivo, raramente tratável. A previsão é sempre séria. Não existem formas eficazes de prevenir o câncer, é difícil diagnosticar e curar. As formações volumétricas são divididas em 4 classes. A maior ameaça é o câncer nos estágios III e IV. Está crescendo rapidamente, muitas vezes se tornando multiforme. Ao contrário da oncologia de outras partes do corpo, um tumor maligno do cérebro é propenso à formação de metástases. A rápida disseminação de células patológicas no próprio órgão não é excluída.
Sintomas
A doença se manifesta com uma variedade de sintomas. Tudo depende da área de dano, o tamanho do neoplasma. O principal sintoma é a dor. Outros sinais são observados:
- patologia da atividade motora;
- alta pressão (intracraniana, ocular);
- deficiência visual e auditiva;
- depressão, euforia;
- Tontura
- vômito
- diminuição do apetite, etc.
Em um estágio inicial
Muitas vezes a ocorrência de patologia não se manifesta. Muitas vezes, a doença é detectada por especialistas acidentalmente (durante estudos tomográficos, na autópsia). Os primeiros sinais tornam-se perceptíveis quando um tumor crescido na cabeça começa a apertar os tecidos próximos. Sob a influência da neoplasia, a hipertensão arterial intracraniana se desenvolve (alta pressão).
Os sintomas de um tumor cerebral nos estágios iniciais são os seguintes:
- dor (80% dos casos);
- deficiência visual (70%);
- tontura (50%);
- síndrome convulsiva (30%).
Dores de cabeça
Cefaléia (dor de cabeça) é uma condição comum. Surge a pergunta: como a cabeça doía com um tumor cerebral? Você pode distinguir este sintoma das manifestações de outras patologias apenas conhecendo seus sinais:
- a dor constante está pulsando na natureza;
- a intensidade aumenta com uma mudança de posição, tosse, assoar o nariz, leves tensões;
- a dor se intensifica pela manhã, diminui durante o dia;
- intensidade como com enxaqueca;
- analgésicos são ineficazes.
A manifestação dos sintomas é amplificada pela manhã, porque o líquido se acumula nos tecidos do órgão afetado durante a noite, causando edema. Muitas vezes, uma dor de cabeça é acompanhada por confusão, desmaios e outros sintomas. Não há necessidade de perder tempo com métodos alternativos de tratamento. Se os sintomas não desaparecerem após três dias, você deve consultar imediatamente um médico.

Diagnóstico
Primeiro, um exame neurológico é realizado. O médico verificará como funcionam os órgãos, cuja atividade depende de partes específicas do cérebro. Durante um exame neurológico, são realizados estudos:
- reflexos (joelho, pupilar, córnea, etc.);
- audição;
- sensibilidade tátil;
- funções motoras;
- coordenação.
O diagnóstico adicional é realizado usando:
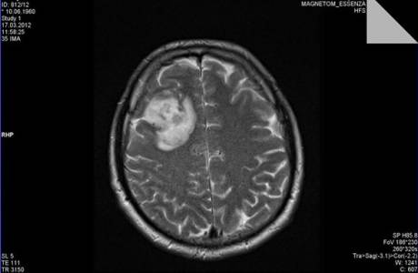
- Diferentes tipos de estudos de raios-x (tomografia computadorizada, ressonância magnética, pneumografia, angiografia). Então, determine a localização exata, direção de crescimento do neoplasma, composição histológica.
- PET (tomografia por emissão de positrões). O método ajuda a reconhecer o grau de desenvolvimento de um tumor cerebral.
- Neurossonografia - uma variedade de ultra-som. É feito para a criança se o bebê tiver menos de um ano.
- SPECT (CT de emissão de fóton único).
- EEG (eletroencefalografia).
- MEG (magnetoencefalografia).
- Punção lombar, que é projetado para estudar o líquido cefalorraquidiano.
- Biópsias - obtenção de uma amostra de tecido para exame ao microscópio. Esta análise permite determinar o tipo de células tumorais.
Remoção do tumor cerebral
O tratamento prioritário para a doença é a cirurgia. Devido ao isolamento da neoplasia, as drogas não atingem o objetivo. A terapia medicamentosa é usada apenas para aliviar temporariamente o bem-estar do paciente, juntamente com os métodos cirúrgicos. Remoção completa, parcial ou em dois estágios da educação é possível. Se for impossível eliminar completamente o neoplasma, por exemplo, com câncer neoplásico inoperável do último grau, as operações paliativas que reduzem a pressão do tumor e do fluido no cérebro são usadas para aliviar a condição do paciente.
A remoção de neoplasmas é realizada na forma de:
- método estereotáxico;
- craniotomia;
- trepanação endoscópica;
- eliminação de ossos cranianos individuais.
A operação para remover o tumor é realizada usando métodos avançados de cirurgia. Intervenções não invasivas e minimamente invasivas são possíveis. Isso reduz o risco de complicações e melhora o prognóstico. A radiocirurgia (facas gama e cyber) é frequentemente usada para remover um tumor cerebral. Com a ajuda da irradiação, as células tumorais são destruídas sem ferir tecidos saudáveis. Após a remoção da educação, o paciente recebe um curso de reabilitação.
Video
Tumor cerebral. O que fazer quando a cabeça incha com dor