SAK - subarachnoidálne krvácanie do mozgu
Subarachnoidálne krvácanie je klinický syndróm, pri ktorom sa stav mozgu mení v prípade aneuryzmy vaskulárnych stien mozgu. V súčasnosti nie sú potrebné žiadne moderné diagnostické metódy, liečba tohto krvácania, preto, ak môže byť predčasné liečenie vážne následky. Článok popisuje príčiny, príznaky, diagnostiku a spôsoby, ako zabrániť krvácaniu.
Čo je to subarachnoidálne krvácanie
Subarachnoidálne krvácanie z choroby (SAH) sa tiež nazýva hemoragická mŕtvica. Toto je akútne porušenie mozgového obehu. V dôsledku prasknutia aneuryzmy (expanzia miestnej krvnej cievy, v dôsledku ktorej sa ich steny menia alebo poškodia), môže krv prúdiť do subarachnoidálneho priestoru (subarachnoidálny priestor, pia mater). Toto krvácanie sa považuje za najťažšie spomedzi iných porážok.

Príčiny subarachnoidálneho krvácania
Príčiny krvácania sú rôzne. Hlavným je porušenie integrity steny intrakraniálnej tepny. SAH má ďalšie príčiny: náhle zvýšenie krvného tlaku, poškodenie mozgu pri chronických drogových závislostiach, alkoholizmus, užívanie alebo predávkovanie antikoagulanciami a ďalšie choroby. Príčiny krvácania sú rozdelené na traumatické a spontánne.
traumatický
Bežné traumatické príčiny SAH sa vyvíjajú v dôsledku priameho poškodenia povrchu mozgu. Medzi ne patrí zlomenina kostí lebky, modrina alebo kompresia mozgu.U novorodenca sa môže vyvinúť subarachnoidálne krvácanie z dôvodov, ako je úzka panva, poškodenie hlavy počas pôrodu, vnútromaternicové infekcie a hypoxia plodu.
spontánna
Bežnou príčinou netraumatického SAH je prasknutie aneuryzmy. Vyvíja sa vďaka takémuto faktoru, ako je prudký nárast krvného tlaku. Stáva sa to, keď zdvíhate závažia, namáhate sa pri pohybe čriev, tvrdo alebo veľmi sa obávate o niekoho alebo niekoho. V dôsledku toho dochádza k patologickým zmenám v cievach:
- vaskulárne nádory;
- sakrálne alebo stratifikované aneuryzmy;
- vaskulitída;
- vrodené vaskulárne patológie (vzájomne prepojené alebo spojené tepny a žily);
- krvné ochorenia
- trombóza mozgu;
- toxický alebo hubový zápal stien tepien;
- hypofýzy;
- mozgové metastázy;
- prasknutie tepny, ktorá sa nachádza v blízkosti mozgového kmeňa.
Rizikové faktory
Medzi hlavné rizikové faktory rozvoja SAH patrí veľa chorôb, zlé návyky a tehotenstvo. Tu je zoznam niektorých z nich:
- arteriálna hypertenzia;
- hypercholesterolémia;
- hypertenzia;
- ateroskleróza;
- užívanie drog (kokaín);
- užívanie perorálnej antikoncepcie;
- fajčenie;
- chronický alkoholizmus;
- obezita alebo nadváha;
- generácií.
Klasifikácia subarachnoidálneho krvácania
Subarachnoidálne krvácanie z choroby má svoju vlastnú klasifikáciu. Stanovuje sa pomocou základných údajov získaných z CT alebo MRI. Výpočty zahŕňajú masívne krvácanie, kombináciu s parenchymálnym, komorovým krvácaním v lebečnej dutine. Podľa výsledkov diagnózy sa určuje, čo je subarachnoidálne krvácanie: izolované, parenchymálne, komorové alebo parenchymálne-komorové krvácanie.
Hunt Hess Scale
V neurológii existujú tri špeciálne stupnice na hodnotenie NAO. Zobrazujú stav pacienta, množstvo krvi v mozgových komorách (komorové krvácanie), výsledky krvácania. Každá úroveň odráža závažnosť stavu, prežitia alebo fokálneho neurologického deficitu. Jeden z týchto stupníc navrhol v roku 1968 Hunt and Hess. Pomocou tejto stupnice si môžete sami určiť stav pacienta, pri akýchkoľvek príznakoch vám však odporúčame, aby ste sa podrobnou diagnózou poradili so svojím lekárom. Úrovne celkom na stupnici 5:
- Úroveň 1: je mierna bolesť hlavy, mierna tvrdosť týlnych svalov. Na tejto úrovni prežije až 70% pacientov;
- Úroveň 2: stredná alebo silná bolesť hlavy, stredná tvrdosť týlnych svalov a neurologický deficit. Prežitie je 60% pacientov;
- Úroveň 3: existuje ohromujúci a minimálny neurologický deficit. Na tejto úrovni prežije až 50% pacientov;
- Úroveň 4: existuje silné potlačenie vedomia, neúplná paralýza, zvýšený tonus všetkých svalov a autonómne poruchy. Miera prežitia je až 20% pacientov;
- Úroveň 5: agónia, zvýšený tón všetkých svalov, hlboká kóma. Prežije iba 10% pacientov.
Príznaky mozgového vaku
Existuje mnoho bežných príznakov SAH, najbežnejším z nich je však útok silnej a náhlej bolesti hlavy. Nazýva sa tiež hromový, prichádza rýchlo a okamžite zmizne. Mnohí ju charakterizujú ako najsilnejšiu cefalolalgiu v celom svojom živote. Potom sa bolesti hlavy vrátia a objavia sa ďalšie príznaky krvácania:
- Strach zo svetla. Pacient sa nemôže pokojne pozerať na žiadny zdroj svetla, pociťuje bolestivé nepohodlie očí.
- Neprítomnosť (strata) vedomia.
- Nevoľnosť, vracanie. Neexistuje žiadna úľava.
- Kŕče.
- Psychomotorická nepokoj.Je preukázaná silná aktivita, počas ktorej môže pacient spôsobiť fyzickú ujmu druhým a sebe.
- Škúlenie.
- Pľúcny edém.
- Porucha reči. Pacient nemôže hovoriť normálne, niekedy nerozumie známemu jazyku.
- Porušenie citlivosti pokožky tela.
Atypické formy
V SAV sú tiež pozorované atypické formy. Existujú iba tri z nich - migréna, pseudohypertonik a pseudoinflama. V prvej forme sa bolesti hlavy pozorujú bez straty vedomia. Pri falošnej hypertenznej forme sa pozoruje hypertenzia, bolesti hlavy, vysoký krvný tlak (hypertenzia), zhoršenie stavu a opakované krvácanie.
Pri pseudoinflamatívnej forme sa pozoruje meningitída, bolesti hlavy, meningálne príznaky a horúčka (horúčka nad 38 stupňov). Môže sa pozorovať dezorientácia, psychomotorická nepokoj a zhoršené vedomie pacienta. K tomu dôjde iba vtedy, keď dôjde k prasknutiu aneuryzmy prednej mozgovej tepny, ktorá dodáva krv do predných lalokov mozgu.
Subarachnoidálny zdvih
Polovica pacientov s aneuryzmou má subarachnoidálnu cievnu mozgovú príhodu, ktorá nemá takmer žiadne príznaky. Druhá polovica má bolesti hlavy v čele a očiach a môže trvať niekoľko hodín alebo niekoľko dní. Subarachnoidálna mozgová príhoda ďalšie príznaky:
- epileptické záchvaty;
- anizokorií;
- škúlenie;
- znížené videnie;
- strata vedomia (spojená s úplným spazmom mozgových ciev);
- nevoľnosť;
- vracanie;
- respiračná depresia;
- bradykardia;
- horúčka;
- zhoršená pamäť, zrak, reč a duševné poruchy.
Ako diagnostikovať
Krvácanie subarachnoidov možno diagnostikovať iba pomocou súboru neurologických štúdií, ktoré sa vykonávajú na platených klinikách. Po prvé, lekár vedie rozhovory s pacientom: kladú sa otázky o tom, ako dlho sa príznaky objavili, či došlo k zraneniam alebo tlakovým nárazom a či má pacient zlé návyky. Potom vyšetria pacienta, aby zistili príznaky neurologických porúch a tiež vyhodnotili úroveň vedomia pacienta.
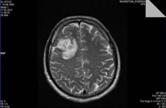
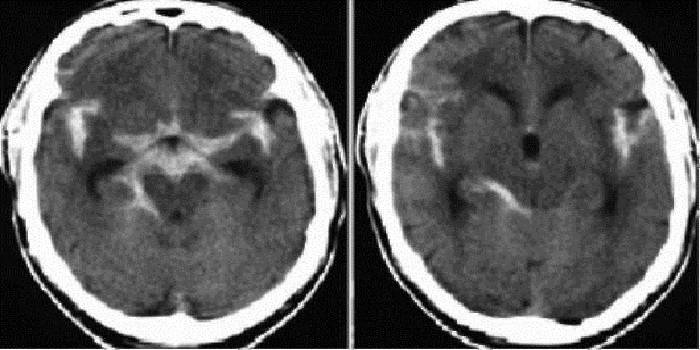
Potom vykonajte krvný test, aby ste určili zrážanlivosť krvi. Potom sa uskutoční lumbálna punkcia. Za týmto účelom zoberte špeciálnu ihlu a vpichnite do bedrovej oblasti niekoľko milimetrov a extrahujte niekoľko mililitrov mozgovej miechy. Ak je v mozgovomiechovom moku malé množstvo krvi (zrazenín), v subarachnoidálnom priestore sa vyskytlo krvácanie. Na štúdium štruktúry mozgu a zistenie miesta krvácania sa vykonáva počítačová a magnetická rezonancia.
Echoencefalografia môže určiť intrakraniálne subarachnoidálne krvácanie, ktoré môže vytlačiť mozog. Pomocou transkraniálnej dopplerografie môžete vyhodnotiť prietok krvi v mozgových tepnách. Pomôže to zistiť, kde dochádza k vazokonstrikcii. Pomocou angiografie magnetickou rezonanciou môžete vyhodnotiť integritu mozgových tepien, ich vodivosť.
Liečba subarachnoidálneho krvácania
Ak budúci pacient zistil aspoň jeden príznak SAH, lekári ho pošlú, aby vykonal určité štúdie, ktoré sú opísané vyššie, aby sa udržal jeho normálny stav. Potom odborníci vypočítajú faktory, ktoré môžu ovplyvniť výsledok NAO. Včasná liečba je účinná v prvých 3 hodinách od zistenia choroby. Existujú 3 typy terapie:
- rýchla hospitalizácia;
- bazálna terapia;
- chirurgický zákrok.

Okamžitá hospitalizácia
Primárna hospitalizácia pacientov s SAH sa vykonáva v primárnych alebo regionálnych vaskulárnych centrách. Na lôžkových oddeleniach sa pacient podrobuje všetkým procedúram, ktoré pomôžu diagnostikovať ochorenie - MRI mozgu na určenie subarachnoidálneho krvácania (existuje intenzívna biela oblasť) a neinvazívne vyšetrenie cievneho systému (MRI angiografia). Ak sa počas týchto zákrokov zistila neprítomnosť príznakov, je predpísaná bedrová punkcia.
Základná terapia
Spočiatku sú do základnej terapie zahrnuté 3 zložky. Prvým sú opatrenia, ktoré sú zamerané na urgentnú korekciu porúch životných funkcií - normalizáciu prehĺtania, hemodynamiky, dýchania a epileptického stavu. Druhým je zmiernenie porúch homeostázy, ktoré vznikajú v dôsledku mozgovej príhody - zníženie intrakraniálneho tlaku, prevencia infekcií a komplikácií, psychomotorické nepokoj, škytavosť, zvracanie a zmiernenie autonómnych hyperreakcií.
Treťou zložkou základnej terapie je metabolická ochrana mozgu. Tento postup je zameraný na prerušenie porúch mozgu, ktoré sú spôsobené akútnym porušením mozgovej aneuryzmy. To zahŕňa užívanie antioxidantov, antihypoxantov, antagonistov vápnika, antagonistov glutamátu a neurotropných liekov. Ak terapia nedáva regresiu, uskutoční sa priame podávanie vazodilatátora.
chirurgický zákrok
U pacientov s veľkými parenchymálnymi hematómami, pri ktorých sa pozoruje zhoršenie stavu počas prvých dvoch dní, sa vykonáva urgentná operácia alebo endovaskulárna intervencia. Ak je ospalosť prítomná v prvých hodinách po SAH, potom je operácia povolená bez podstúpenia angiografie. Hydrocefalus sa môže objaviť celý deň po SAH. Stieracia aneuryzma sa vykonáva v deň 3 alebo v deň 12 po objavení SAH s cieľom evakuovať krv.
Ako predchádzať komplikáciám
Aby sa predišlo komplikáciám po SAH, je potrebné obnoviť prietok krvi do mozgu. V tejto súvislosti predpisujte lieky, ktoré riedia krv, aby sa zvýšila pravdepodobnosť prežitia a znížili komplikácie, ktoré môžu viesť k ischemickej mozgovej príhode. Lekári predpisujú aspirín, ktorý sa používa na liečbu ischemických zmien na zníženie pravdepodobnosti recidívy. Nasledujú lieky, ktoré sú potrebné na prevenciu komplikácií alebo profylaxie.
Normalizácia dýchania a výmeny plynov
Aby sa dalo normalizovať dýchanie a výmena plynov, lekári vo väčšine prípadov odporúčajú tieto lieky:
- Revilab;
- Honluten;
- Gentaksan;
- Fastin;
- Levosin;
- Trofodermin;
- Perftoran;
- Oxeladin.
Liečba edému mozgu
Ako komplexná liečba mozgového edému sa používajú tieto lieky:
- aktovegin;
- Dekadron;
- Lasix;
- Medrol;
- furosemid;
- Tseleston;
- Urbazon.
Dôsledky subarachnoidálneho krvácania
Mnoho lekárov rozlišuje od dôsledkov iba tri z posledných a najnebezpečnejších - neurologické poruchy, rozvoj srdcového infarktu a hrozba smrti. Patológia, ako je SAH, je život ohrozujúca. Stav, v ktorom môže byť osoba nebezpečná pre svoje zdravie. V záujme zníženia rizika komplikácií a následkov sa poraďte s lekárom, aby ste zachovali zdravie a život osoby.
Neurologické poruchy zahŕňajú zvýšenie svalového tonusu, prejav slabosti v rukách a nohách a poruchu reči. Osoba sa nebude môcť pohybovať samostatne, čo okamžite spôsobí zdravotné postihnutie. Zúženie tepien (angiospazmus) alebo nekróza mozgového tkaniva môžu viesť k infarktu. Riziko úmrtia je prítomné iba v prípade veľkého objemu krvácania. Smrť môže nastať pri dlhodobom kŕči mozgových tepien.

Prognóza SAK
Smrteľný výsledok pri prvom krvácaní z aneuryzmy je približne 60%. S opakovaným relapsom do týždňa je 15%. Po šiestich mesiacoch (6 mesiacoch) existuje šanca na druhú prestávku - približne 5% ročne. Pri opakovanej arteriálnej aneuryzme sa na krk aplikuje spona (strihanie alebo stentovanie). Prognóza je pozitívna iba pri vaskulárnych malformáciách.Ak sa počas pananginografie nezistí aneuryzma, znamená to, že zdroj krvácania sa zatvoril. Po liečbe v akútnom období trpia pacienti neurologickým defektom.