Arachnoidálna cysta mozgu
Vo väčšine prípadov sa arachnoidálna cysta neprejavuje. Je malý a spravidla nerastie a nebráni človeku v normálnom živote. V zriedkavých prípadoch sa novotvar cíti, keď vyvoláva nepríjemné a nebezpečné príznaky pre človeka.
Čo spôsobuje cystu v hlave
Benígna sférická formácia - cysta v mozgu - vo vnútri je naplnená mozgomiechovou tekutinou. Závažnosť symptómov závisí od veľkosti novotvaru, ale vyskytuje sa pri náhodnom lekárskom vyšetrení alebo pri diagnostike iného ochorenia. Arachnoidálna cysta mozgu je vo väčšine prípadov asymptomatická. Živé neurologické príznaky sa vyskytujú iba u 20% pacientov. Faktory ovplyvňujúce vzhľad a rast cysty:
- akékoľvek poškodenie mozgu;
- rast v cystickej tvorbe tlaku tekutiny;
- zápalový proces v mozgu (infekcia, vírus).

Druhy arachnoidovej cysty
Poprední odborníci v oblasti medicíny dnes identifikujú dva typy novotvarov, ktoré sa líšia príčinou výskytu. Prvý je primárny, ktorý vyvíja dieťa v lone. Sekundárne sa prejavuje v procese vyššie uvedených patológií. Cysta môže byť tiež jednoduchá, tvorená z mozgovomiechového moku a môže byť komplexná, obsahujúca rôzne typy tkanív. V mieste novotvaru v mozgu sa delí na:
- ľavý alebo pravý temporálny lalok;
- parietálna alebo predná časť hlavy;
- mozoček;
- miechový kanál;
- zadná kraniálna fossa;
- chrbtica (perineurálna);
- bedrovej.
Primárne (vrodené)
Môže sa vytvárať v dôsledku zápalových procesov, ktoré sa vyvinuli počas prenatálneho obdobia.Príčinou výskytu novotvaru je niekedy poranenie pri narodení, ochorenie meningitídy u novorodenca. Časté sú početné porušenia vývoja plodu v dôsledku fajčenia, užívania liekov, pitia alkoholu tehotnou ženou. Ak primárna cysta postupuje rýchlo, potom sa pri závažných príznakoch môže odstrániť v ktoromkoľvek veku dieťaťa.
Sekundárne (získané)
Tento typ arachnoidálnej cysty mozgu sa vyvíja po chorobách, zraneniach a chirurgických zákrokoch. Výskyt môže spôsobiť ťažkú ranu do hlavy, otras mozgu po nehode, subarachnoidálne krvácanie alebo mechanické poškodenie. Keď sa v dôsledku akejkoľvek patológie začne tvoriť sekundárna cysta, jej steny pozostávajú z tkaniva jazvy. Ak sa cysta v mozgu dospelých vyvinula z iného dôvodu, jej steny obsahujú arachnoidálne tkanivo.
Aké je riziko retrocerebelárnej arachnoidálnej cysty
Tento typ novotvaru sa nachádza medzi mäkkou a tvrdou vrstvou mozgu. Rizikovým faktorom je, že retrocerebelárna arachnoidálna cysta môže následne prispieť k odumretiu buniek a tento stav vedie k vzniku malígneho nádoru. U detí vedie neoplazma k vývojovému oneskoreniu alebo syndrómu hypermobility. U dospelých rastúca cysta zvyšuje tlak na sivú hmotu a mozgové tkanivo.
Hlavné znaky a príznaky vzdelávania
Príznaky cysty sa prejavujú jej rastom. Začínajú bolesti hlavy, tinnitus narúša citlivosť pokožky. Ak sa arachnoidálna cysta mozgu nelieči, môže dôjsť k paralýze končatín, môžu sa objaviť epileptické záchvaty, môže sa zvýšiť hluchota a stratí sa zrak. Príznaky choroby sú charakteristické pre špecifickú oblasť lézie.
U dospelých
Malé bubliny s tekutým obsahom v mozgových tkanivách nepredstavujú pre človeka hrozbu a celý život s nimi ľahko žije. Veľké formácie progresívneho typu majú jasné znaky patológie. Toto je:
- strata orientácie;
- pravidelná migréna;
- strata spánku
- narušenie svalového tonusu;
- krívanie;
- nevoľnosť, zvracanie
- zášklby končatín (nedobrovoľné);
- závraty.

U detí
Ak sa u novorodencov vytvára cysta v dôsledku zápalu, poškodenia alebo inej patológie mozgu, potom je to ramolačná formácia, ktorá sa objavuje kdekoľvek. Ak má dieťa parazity, napríklad pásomnice, môže sa vyvinúť parazitická cysta. Nádory mozgu sú dôsledkom narušenia obehu intersticiálnej tekutiny. Príznaky závisia od miesta a typu cysty, ale neexistuje ich univerzálny zoznam. Nasledujúce stavy môžu naznačovať patológiu mozgu u dieťaťa:
- pulzujúci fontanel;
- letargia končatín;
- dezorientovaný pohľad;
- regurgitácia fontánom po kŕmení.
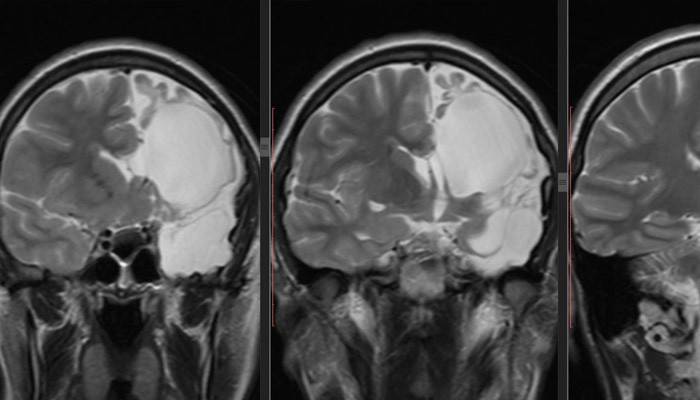
Diagnostické metódy

Optimálnou diagnostickou metódou patológie je MRI mozgu. Ak je v konečnom popise výsledkov tomografie cysta, uvedie sa: „arachnoidálne zmeny charakteru mozgomiechového moku.“ Umiestnenie útvaru odhaľuje použitie kontrastných látok. Hlavnou vlastnosťou novotvaru, na rozdiel od nádoru, je schopnosť akumulovať kontrast. Ak je to potrebné, vykonávajú sa laboratórne testy a štúdie:
- krv na cholesterol;
- na detekciu infekcií;
- dopplerografia krvných ciev;
- meranie krvného tlaku (odhaľuje jeho skoky).
Liečebné metódy
Metódy liečby tohto ochorenia budú závisieť od výsledkov diagnostiky. Ak arachnoidálna cysta mozgu je malá, nepredstavuje zdravotné riziko. Pacient bude sledovaný lekárom a bude pravidelne vyšetrovaný. Počas tohto obdobia je dôležité odstrániť príčinu patológie a minimalizovať vplyv negatívnych faktorov. Ak novotvar rastie rýchlo, použije sa lieková terapia alebo chirurgický zákrok.
Drogová terapia
Stredne veľké cysty sa dajú pomocou liekov vylúčiť. Priebeh liečby sa predpisuje individuálne a vykonáva sa pod dohľadom lekára, až kým sa stav pacienta nezlepší. Názvy liekov, ktoré môžu zastaviť rast nádoru:
- vstrebateľné adhézie: Longidaz, karipatín;
- aktivácia metabolických procesov v tkanivách: Actovegin, Gliatilin;
- imunomodulátory: Viferon, Timogen;
- antivírusový: Pyrogenal, Amixin.

Ľudové lieky a byliny
Pri asymptomatickej cyste mozgu je možné udržiavať telo pomocou alternatívnych receptov:
- Hemlock bylinná tinktúra. Odstraňuje bolesti hlavy. Trvanie liečby je 79 dní. V prípade potreby je možné kurz zopakovať. Tinktúru môžete pripraviť nasledujúcim spôsobom: 100 g semien alebo nasekaných stoniek sa naleje olivovým olejom (0,5 l). Po dobu troch týždňov by mal byť roztok ponechaný na tmavom mieste. Potom, čo olej niekoľkokrát prešiel tenkou farbou. Infúzia cez nos sa podáva trikrát denne, každá po 2 kvapkách.
- Infúzia z koreňa kaukazskej dioscorea. Priaznivo ovplyvňuje mozog: čistí a rozširuje krvné cievy. Priebeh podávania je 2 až 3 mesiace. Koreň (200 g) sa rozdrví, nádoba sa naplní, naleje sa 700 ml vodky. Na chladnom mieste sa kompozícia podáva infúziou počas 5 dní. Po zlúčení infúzie sa naleje ďalších 700 ml vodky. Po 5 dňoch sa obidve formulácie zmiešajú, prefiltrujú a spotrebujú v 2 lyžičkách. trikrát denne pred jedlom.
- Elixír vyrobený z droždia. Pomáha zmierňovať zápal, normalizuje intrakraniálny tlak. Liečba trvá tri týždne. Droždie (1 polievková lyžica) sa zmieša so suchou elecampanovou trávou (40 g) a tromi litrami prevarenej vody. Trvajte na tom, že budú trvať 2 dni a potom si vezmite 4 krát denne na pol pohára.
chirurgický zákrok
Ak sa zväčšuje veľkosť cysty mozgu, bude predpísaná operácia na jej odstránenie. Moderná medicína zahŕňa niekoľko typov chirurgických zákrokov:
- endoskopická metóda - najmenej traumatická, keď je obsah odstránený prepichnutím;
- Chirurgický obtokový chirurgický zákrok sa vykonáva zavedením drenážnej trubice do dutiny cysty (vysoké riziko infekcie);
- fenestrácia sa vykonáva excíziou formácie pomocou lasera;
- punkcia, ktorá zahŕňa odstránenie kapsuly ultra tenkým nástrojom (vysoká pravdepodobnosť neurologických komplikácií);
- kraniotomia je najradikálnejšia a najúčinnejšia operácia kombinovaná so zvýšenou invazívnosťou.

Prognózy a implikácie
Pri včasnej detekcii cyst mozgu je prognóza priaznivá. Hlavnými rizikami spojenými s tvorbou arachnoidov sú kompresia mozgových centier, po ktorých poruchy v tele fungujú. Po odstránení cysty sa niekedy pozoruje porucha reči, sluchu alebo zraku. Pri predčasnej diagnóze je možné prasknutie cysty, hydrocefalus a smrť.
prevencia
Zmena veľkosti arachnoidálnej cysty nemusí byť vnímaná ako onkologické ochorenie, ale na udržanie zdravia mozgu by sa mali prijať preventívne opatrenia. Patria sem: dodržiavanie fyzickej aktivity, správna výživa, odmietanie zlých návykov. Po 40 rokoch je vhodné, aby ľudia po šiestich mesiacoch navštívili kardiológa a neurológa na vyšetrenie.
Video: čo je arachnoidálna cerebrospinálna tekutina cysta
„Pulz - cysta mozgu“ vysielaný 19. 8. 2015