13 najlepších spôsobov bielenia zubov
Smalt pozostávajúci z krištáľových tyčiniek chráni korunu pred zraneniami, kyselinovými útokmi, účinkami žuvania a brúsenia. V priebehu rokov sa ochranná vrstva opotrebuje: dentín je viditeľný (tvrdá časť koruny). Farba smaltu sa mení od hnedastej po sivozelenú.
Jedlo ovplyvňuje povrch zubov a zanecháva mikrotrhliny. Medzery a medzery medzi kryštálmi sú postupne vyplnené úlomkami, farbami: korunky sú matné.
Príčiny žltých zubov:
- Age. Smaltovanie, hromadenie škvŕn.
- Príliš číry smalt.
- Výrobky s farbivami: červené víno, káva, čaj, Coca-Cola, mrkva, pomaranč.
- Kyslá potrava (citrusové ovocie, ocot). Spôsobuje eróziu dentínu.
- Fajčenie, žuvací tabak.
- Drogy, chemikálie.
- Niektoré lieky používané na tvarovanie zubov. Tetracyklín spôsobuje výskyt tvrdých škvŕn.
- Poranenie (nárazy, praskanie orechov). Vyskytujú sa praskliny, pri ktorých sa nečistoty a farbivá upchávajú.
S čím sa dosiahne účinok bielenia zubov

Vráťte sa do úsmevu belosť produktov obsahujúcich peroxid vodíka alebo peroxid karbamidu. Kompozície rozdeľujú škvrny na malé častice, čím sa farba menej koncentruje a koruny sú svetlejšie. Pre použitie v domácnosti bielenie znamená s peroxidom v kompozícii 3-20%, zubári používajú drogy s koncentráciou 15 až 43%.
Výsledok sa objaví o dva týždne. Táto metóda nebude bieliť falošné zuby, výplne, dyhy: po zákroku bude potrebné nahradiť umelé koruny kvôli nesúladu farieb s „natívnymi“.
Dôležité! Peroxid v akejkoľvek koncentrácii nebude mať zuby neprirodzene biele.
Výhody a nevýhody bielenia
Bielidlá ovplyvňujú žltú, horšiu - hnedú, sivú. Nápravné prostriedky sú neúčinné, ak je sfarbenie spôsobené zraneniami, drogami alebo čírym smaltom.
Výhody postupu
-
Návrat vonkajšej krásy k predným zubom.
- Zbavte sa komplexov.
- Vizuálne omladenie.
Vedľajšie účinky
Čím je bielidlo silnejšie a čím dlhšie je na dentíne, tým je výsledok belší. Čím vyššie je percento peroxidu v roztoku, tým menej udržuje zloženie na korunách. Produkt preniká dentínom, dráždi nervy a dehydratuje tkanivá. Zuby sú citlivé na studené, horúce, kyslé jedlá.
Dôsledky bielenia:
-
Procedúra odstraňuje škvrny a nečistoty a praskliny v korunkách zostávajú prázdne. Niektoré sliny rýchlo remineralizujú, iné sú plné organických zvyškov. Je zubný kaz, kaz.
- Bolesť niekoľko dní po zákroku (zriedka).
- Nástroj spôsobuje zápal ďasien a jazyka.
kontraindikácie
-
Alergia na drogy.
- Tehotenstvo, dojčenie.
- Zubný kaz, iné poškodenia dentínu.
- Nesprávne namontované, netesné tesnenia.
- Choroby ďasien a ústnej dutiny vrátane periodontálneho ochorenia.
- Šle, dyhy, protézy.
- Praskliny, erózia, zvýšené oderu smaltu.
- Expozícia koreňovej časti korún.
Metódy bielenia zubov
-
profesionálny, Lekár bieli koruny špeciálnymi prostriedkami a zariadeniami rýchlejšie ako domáce procedúry a výsledok trvá dlhšie.
- domácnosť, Aplikujte pasty, výplachy, prúžky, ľudové metódy.
Zubné výkony
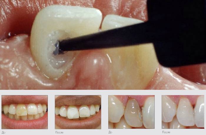
Profesionálne bielenie zubov - odstránenie tmavých vrstiev roztokmi s vysokou koncentráciou a špeciálnymi nástrojmi. Procedúry trvajú od 30 do 60 minút, často pre najlepší výsledok je zubný lekár niekoľkokrát navštívený.
Mechanické čistenie
Odstraňovanie kameňa a leštenie dentínového povrchu brúsnymi pastami a tryskami. Tento zastaraný spôsob čistenia zubov spôsobuje triesky a škrabance na povrchu skloviny, spôsobuje rozpad zubov.
Bielenie zubov podľa systému Air Flow sa považuje za progresívne. Cez dýzu zariadenia slúži tlak vody, vzduchu a abrazívneho materiálu (sóda). Prúd kvapaliny s pevnými časticami rýchlo čistí ústnu dutinu. Smalt je menej poškodený ako pri tradičnom čistení. Náklady na bielenie zubného toku v Moskve - z 2 000 rubľov.
Chemické bielenie

Na smalt sa nanesie sklovina obsahujúca peroxid vodíka a nechá sa pôsobiť 15 - 20 minút. Pred opätovným nanesením gélu si urobte prestávku. Postup bielenia zubov trvá asi hodinu. Pri pretrvávajúcom žltom sfarbení je potrebných niekoľko sedení. Cena - od 1 000 rubľov.
Intracanálne bielenie

Endodontická metóda sa zvolí, keď sa farba skloviny vo vnútri zmenila v dôsledku nehoermetického utesnenia, odstránenia nervu alebo traumy. Zadná stena postihnutého zuba je vŕtaná, peroxidový gél je umiestnený vo vnútri, je umiestnená dočasná výplň. Na dosiahnutie tohto účinku sa koná niekoľko stretnutí. Náklady na postup je od 2 000 rubľov. zubom.
Moderné metódy
Svetelný lúč a ultrazvuk odstraňujú vnútorné škvrny na sklovine, zubnom kamene a povrchovom povlaku. Profesionálne bielenie zubov vykonáva lekár na zubnej klinike.
Bielenie fotografií

Zubár kladie na pacienta okuliare, na jeho ústa ochrannú dosku a na zuby gél. Na bielenie použite technológiu ZOOM. Lekár obsahuje LED alebo ultrafialovú lampu. Pod vplyvom svetla sa z peroxidu uvoľňuje kyslík, ktorý preniká dentínovým tkanivom a reaguje s farbiacimi pigmentmi.
Trvanie jednej relácie (bude trvať najmenej 2 - 3) - 15 - 20 minút.
Počas procedúry sa vyskytuje mierny pocit pálenia, ale ústa nemôžete zavrieť.
Biely úsmev zostáva niekoľko rokov. Mínus - zvyšuje citlivosť dentínu. Cena - 10 tisíc rubľov. za jednu čeľusť 17 tisíc rubľov. - pre dvoch.
laser

Na korunky sa nanáša gél, ktorý bieli smalt pod vplyvom svetelného lúča. Každý zub je zvýraznený osobitne, čím sa nastavuje sila bielenia na rovnomerné zosvetlenie. Pri intenzívnej laserovej expozícii sa hustota dentínu zvyšuje na 40%, ústna dutina je dezinfikovaná.
Na jeden zákrok zosvetlite smalt na sedem odtieňov. Počas relácie je nepríjemný pocit brnenia.Laser nie je predpísaný tehotným ženám, dojčiacim matkám, deťom, ľuďom s veľkým počtom náplní. Mínusom postupu je cena: také bielenie zubov u zubára stojí od 19 tisíc rubľov.
ultrazvuk

Vlna z dýzy zariadenia ničí kameň, odstraňuje povrchovú kontamináciu bez ovplyvnenia štruktúry dentínu. Zároveň lekár dodáva vodu, ktorá chráni sklovinu pred prehriatím a zlepšuje oddeľovanie zubného kameňa a kameňa.
Mínus je slabý, takmer nepostrehnuteľný efekt: farba korún sa mení o 1 - 2 tóny. Ultrazvuk nezvyšuje citlivosť skloviny.
Kontraindikácie:
-
diabetes mellitus;
- arytmie;
- bronchiálna astma.
Ultrazvuk sa neodporúča počas tehotenstva, detí, ľudí s implantátmi. Cena za komplexný postup v Moskve je od 2 000 rubľov.
Ako bieliť zuby doma
Bez návštevy u zubára sa korunky čistia špeciálnymi pastami, roztokmi alebo prúžkami. Výrobky obsahujú peroxid vodíka, ale v nižšej koncentrácii ako profesionálne. Gély a pasty sa používajú pohodlne, sú lacnejšie ako procedúry v zubnej ambulancii, ale nezabývajú sa prevádzkovou situáciou.
riešenie

S oplachovacími prostriedkami s bieliacim účinkom sa vytvorí snehobiely úsmev:
-
BlanX „Okamžitá belosť“;
- Globálne biele;
- Revyline;
- R.O.C.S. Čierna edícia.
Prípravky obsahujú látky s baktericídnym účinkom, ktoré zmierňujú zápal, zlepšujú dýchanie a sklovinu skloviny belšia. Oplachovací prostriedok sa používa po základnom vyčistení. Po zákroku nemôžete jesť hodinu.
pasty

Bieliace prostriedky s chemikáliami a abrazívami, ktoré odstraňujú škvrny z korún. Smalt sa vyčíri 1-2 tónmi. Bieliace pasty nie sú výrobkami dennej spotreby, používajú sa ráno a večer po dobu 10-14 dní. Po skončení kurzu si urobte prestávku na mesiac.
Cestoviny s dobrými hodnoteniami:
-
Sensational Whitening od R.O.C.S, Produkt rozjasňuje dentín, účinný proti kameňu. V zmesi nie je fluór. Cena - od 250 rubľov. na 60 ml.
- SPLAT Professional Biocalcium, Navrhnuté pre citlivé zuby bez fluoridov. Pasta čistí, bieli korunky, spevňuje sklovinu, chutí dobre. Cena - od 60 rubľov. na 40 ml.
- Colgate Triple Action, Bieli dentín, odstraňuje zubný povlak, ničí baktérie, má pozitívny vplyv na sklovinu a odstraňuje nepríjemný dych. Cena - od 48 rubľov. na 50 ml.
Chrániče zubov bieliace zuby

Na fixáciu gélu na korunkách sa používajú plastové alebo silikónové zariadenia, ktoré sledujú tvar čeľuste. Vnútri sa naleje pasta s vysoko koncentrovaným peroxidom vodíka. Capa je pripevnený k korunám niekoľko hodín. Postup sa vykonáva raz denne po dobu jedného mesiaca. Pri konzultácii zubný lekár vyberie bieliaci komplex pre zuby a predpíše schému na použitie. Náklady na 1 capa - od 180 rubľov.
pásy

Alternatíva k čiapkam. Pásiky sú potiahnuté peroxidovým gélom, ktorý rozpúšťa a čistí bakteriálny plak pri kontakte so zubami. Procedúra trvá 10 minút až hodinu (v závislosti od vlastností produktu). Prúžky sa používajú trikrát denne počas 1 až 2 týždňov. Ak kompozícia vstúpi do ďasien, objaví sa pocit pálenia.
Efektívne nástroje podľa odporúčaní používateľov:
-
Crest 3D biele Whitestrips profesionálne efekty - 1,4 tisíc rubľov. pre 8 ks;
- Globálne biele - od 400 rub. na 14 ks;
- Blend-a-med 3D Biele Luxe - z 3 000 rubľov. pre 28 ks.
Ľudové lieky
Metódy babičky môžu poškodiť sklovinu, spôsobiť zubný kaz, ochorenie ďasien. Požitie finančných prostriedkov, ktoré nie sú určené na orálne použitie, spôsobuje intoxikáciu, žalúdočné ťažkosti.
Jedlá sóda

Prírodné bielenie zubov s abrazívnymi vlastnosťami. Účinne odstraňuje zubný povlak, odstraňuje svetlé škvrny. Nástroj môže poškriabať sklovinu, spôsobiť podráždenie, krvácanie z ďasien, vyrážky.
Spôsob aplikácie:
-
Namočte mokrú zubnú kefku do sódy.
- Koruny sa čistia 3 minúty.
- Vypláchnite ústa teplou vodou.
Peroxid vodíka

Pri požití spôsobí pálenie žalúdka, čriev a pažeráka. Peroxid je zakázaný používať u ľudí s kazom, ktorí majú problémy s ďasnami a sliznicami.Roztok môže poškodiť sklovinu, preniknúť do koreňov a spôsobiť silnú bolesť.
Pokyny na bielenie:
-
Nalejte 1 lyžičku na zubnú kefku. peroxidu.
- Koruny kefujte 4 minúty a z času na čas zvlhčite kefu.
- Vypláchnite si ústa veľkým množstvom vody.
Aktívne uhlie

Má abrazívne vlastnosti, účinne odstraňuje zubný povlak. Aplikujte produkt v noci, pretože hneď po vyčistení je sklovina a ďasná čierne.
Aktívne uhlie je bezpečné na bielenie, ale je kontraindikované u ľudí s citlivými zubami a bolesťami ďasien.
Spôsob bielenia:
-
Tablety sa rozdrvia na prášok.
- Vezmite kefu s mäkkými štetinami, vytlačte zubnú pastu a na povrch nalejte aktívne uhlie.
- Korunky sa natierajú 4 minúty.
Ďalším spôsobom:
-
Rozdrvte tabletu a rozpustite ju v 1 čajovej lyžičke. voda. Ukázalo sa, že kaša má konzistenciu zubnej pasty.
- Produkt naneste na kefu.
- Čistite si zuby 2 minúty.
- Vypláchnite si ústa.
- Zopakujte postup.
video