
Ako si čistiť zuby rovnátka

8 spôsobov, ako rýchlo a efektívne bieliť zuby doma

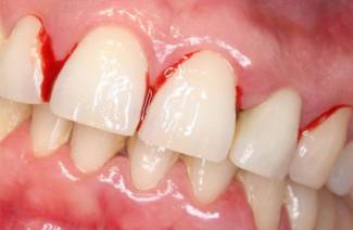
Gingivitída u detí a dospelých - príznaky a liečba

Prchavka u detí a dospelých: liečba a príznaky
Čo je tok, jeho príznaky a príčiny. Mechanizmus rozvoja periostitídy, liekovej a chirurgickej liečby, ľudových liekov ...

Akútna a chronická periodontitída - stupne, príznaky a liečba
Parodontitída spôsobuje zápal, krvácanie z ďasien, uvoľňovanie zubov, ich stratu. Aké sú príznaky, príčiny, štádiá choroby, hlavné ...

Čistenie aktívnym uhlím: postup bielenia a recenzie
Zistite, či je kefovanie aktívnym uhlím skutočne efektívne, aké sú jeho nevýhody a výhody. Pre svoju bezpečnosť ...

Kandidóza v ústach u detí a dospelých

Herpes v ústach u detí a dospelých - príčiny, príznaky a metódy liečby

Ako liečiť dnu doma s ľudom a liekmi, masážami, kúpeľmi a stravou
Ak sa objaví dna - liečba doma je možná pomocou účinných receptúr alternatívnej medicíny. Zistite, ktoré vane ...

Ako liečiť akútnu a chronickú parodontitídu zubov - chirurgické metódy a účinné antibiotiká
Liečba periodontitídy sa uskutočňuje v niekoľkých fázach, pričom metódy volí lekár individuálne pre každého pacienta. Ďalšie informácie o špecifikách ...

Planeta červeného lišajníka v ústnej dutine - príčiny a znaky, liečebný režim s liečivami a ľudové sedatíva

Ortodontista - kto to je, akú prácu vykonáva lekár

Zaedi v rohoch úst - príčiny a liečba doma

Pulpitída zuba - čo to je s fotografiou. Liečba pulpitídy mlieka a stálych zubov u detí a dospelých

Stomatitída u detí - príznaky a liečba choroby

Stomatitída - liečba u dospelých doma

Známky zúbky u dojčiat