Červené škvrny na tele
Človek je niekedy šokovaný zdravotnými problémami - zlý zub, brnenie v boku, hmla v hlave. Niektoré príznaky nie sú vždy jasné, jednoznačné, napríklad červené škvrny na tele. Podľa lekárskeho výskumu je stav pokožky spojený so všeobecným zdravotným stavom, čo znamená, že pri mnohých vnútorných ochoreniach sa môžu vyskytnúť vyrážky, iné zmeny v rôznych tvaroch a lokalizáciách. Výskyt červených škvŕn na tele môže byť spôsobený javmi, ktoré nie sú nebezpečné pre zdravie, alebo celkom vážnymi poruchami, ktoré si vyžadujú pohotovostnú starostlivosť.
Príznaky a možné príčiny červených škvŕn u dospelých
Výskyt červených škvŕn na tele sa u dospelých považuje za veľmi častý problém. Príčiny tohto problému môžu byť rôzne: v dermatológii existuje viac ako päť tuctov chorôb, pri ktorých sú jedným z príznakov červené škvrny. Takýto kožný problém môže signalizovať prítomnosť patológie, ak sa formácia začína svrbiť, olupovať, zväčšovať sa veľkosť, množstvo. Ak sa takéto prejavy často „stretávajú“, mali by ste sa poradiť s dermatológom, aby ste zistili príčiny a predpísali adekvátnu liečbu.
Začervenanie s svrbením a ktoré nesvrbí

Mnoho chorôb sa vyskytuje u ľudí v dôsledku zvýšenej nervovej vzrušivosti. Červené škvrny na tele nie sú výnimkou a svrbenie sa objavuje v dôsledku rôznych porúch. Samotné začervenanie môže byť príčinou oslabeného cievneho tonusu. Aby sa minimalizoval výskyt červených škvŕn, aby sa zmenšila oblasť ich lokalizácie, je potrebné urobiť kontrastnú sprchu, športovať a vykonávať ďalšie postupy zamerané na posilniť krvné cievy, Immunity. Toto porušenie sa nazýva vegetatívne, nepredstavuje zdravotné riziko.
Ak sú červené škvrny spôsobené infekčnou infekciou, objaví sa spolu so svrbením katarálny jav, horúčka, intoxikačný syndróm. V dôsledku infekcie sa pozoruje zápal, ktorý má osobitné umiestnenie, môže sa objaviť erózia, môžu sa objaviť škvrny s kôrami, hnisavý alebo vodnatý obsah. Medzi najbežnejšie príčiny červených škvŕn patria: meningitída, šarlach, osýpky, Ovčie kiahne, horúčka brucha, Červené škvrny môžu spôsobiť plesňové infekcie, z ktorých najbežnejšia je infekčný kožný červ.
Ďalšou príčinou červených škvŕn s svrbením na tele je fotodermatóza. Je to choroba, ktorá má iné meno pre alergiu na slnko. Ultrafialové žiarenie spôsobuje výskyt začervenania, vyrážky, opuchu. Pri silnom svrbení by sa mali užívať antialergiká, ktoré znižujú začervenanie a zmierňujú podráždenie. V teplom období musíte nosiť uzavreté oblečenie, menej často chodiť na priame slnečné žiarenie, vyhnúť sa opaľovaniu, používať krémy s ochranou SPF najmenej 25.
Chronická choroba atopická dermatitída spôsobuje popísané problémy. Prejavuje sa ako červené škvrny, svrbenie, peeling, kožné uzávery, ktoré sa vyskytujú vo väčšine prípadov v chladnom období a miznú v lete. Pomáhajú eliminovať príznaky hormonálne mastiantialergické lieky.
na svrab vyrážky na tele, červené škvrny môžu byť veľmi masívne, rušiť na dlhú dobu. V mnohých prípadoch sa objavujú na kolenách, lakťoch, dolnej časti chrbta, zadku a na iných extensorových povrchoch tela. Kožné prejavy môžu rásť, vzájomne sa spájať a rušiť silným peelingom. Liečbu má predpisovať iba lekár.
Červené škvrny, ktoré nespôsobujú žiadne ďalšie pocity, ako je podráždenie, svrbenie, neprechádzajú samy osebe, sa nachádzajú na koži hrudníka, ramien, nôh, ostatné časti tela naznačujú problémy s pečeňou, zažívacím a vegetovaskulárnym systémom. Zlá práca vnútorných orgánov sa cíti vo forme začervenania rôznych veľkostí, tvarov. V takom prípade nehádajte o dôvodoch, samoliečte a choďte na konzultáciu so špecialistom.
Pokrytie
Ak sa erytém objavil náhle po celom tele, hovoríme o alergii, ktorá sa nazýva žihľavka. Na liečbu je potrebné identifikovať alergén, odstrániť ho, prijať antihistaminikáinak hrozí stav anafylaktickým šokom. Červené škvrny sa môžu objaviť v dôsledku silného emocionálneho fyzického stresu. Ak sa takéto zmeny v koži odlúpnu, môže to znamenať psoriázu. Príčinou môžu byť infekčné choroby, sklerodermia, keď cievy nedokážu odolávať napätiu, prasknú.
Keď sa po sprchovaní objaví červená škvrna, kúpa na krku, hrudníku, môže to signalizovať žihľavku, alergiu na vodu, použité gély, šampóny, mydlo, látky, ktoré dezinfikujú vodu z vodovodu. Okrem toho tieto kožné poruchy vyplývajú z vegetatívna dystóniakeď plavidlá nemôžu normálne reagovať na vonkajšie zmeny (zvýšená vlhkosť, horúca voda, vysoká okolitá teplota).
S lokalizáciou červených škvŕn na krku v neprítomnosti svrbenia to naznačuje pityriasis versicolor, ktorý sa lieči okysleným pridaním vody, vytvrdzovacími postupmi, protiplesňovými masťami. Ďalším dôvodom je atopická dermatitída, ktorá je sprevádzaná svrbením lézie kvôli porušeniu gastrointestinálneho traktu.
Červené škvrny lokalizované na dlaniach môžu naznačovať prítomnosť viac ako 8 desiatok chorôb. Vo väčšine prípadov ide o svrab, alergie, palmovú erytémiu. Presnú diagnózu by mal robiť iba lekár. Výskyt sčervenania na hrudníku naznačuje porušenie hormonálneho pozadia, choroby vnútorných orgánov, alergie na potraviny alebo vonkajšie dráždivé látky.
Červené škvrny na rukách indikujú zoster, ďalšie infekčné vírusové ochorenie. Takéto zmeny na pokožke končatín môžu byť navyše vyvolané podvýživou s prevahou mastných, múčnych, vyprážaných potravín, údeného mäsa, sladkostí, stresu, emočnej vzrušivosti.
Miesto v oblasti hlavy červených škvŕn označuje seboroická dermatitída kvôli množeniu špeciálneho typu huby, ktorá je podporovaná hormonálnymi zmenami. Pôvodca ochorenia je so stresom aktívny v chladnom období. Seborrhea je sprevádzaná peelingom, výskytom hustých žltých šupín, svrbením.
Koncentrácia červených škvŕn na tvári je rozdelená do troch typov: ružovka, ktorá je sprevádzaná výskytom rozšírených malých plavidiel trvalého alebo dočasného charakteru; erytróza, vyznačujúca sa trvalým alebo dočasným sčervenaním nosa, líc; ružovka, ktorá je kombináciou ružovky, erytózy, zápalu vo forme papúl, pustúl. Zistite akoošetrenie ružovky.
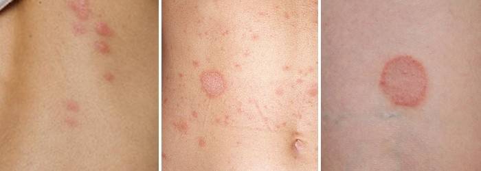
Ružový lišajník - okrúhle hrubé vyrážky

Vo väčšine prípadov sa toto ochorenie vyskytuje u ľudí vo veku 20 - 40 rokov. Prvými príznakmi sú slabosť, nevoľnosť, horúčka, opuchnuté lymfatické uzliny. Potom sa objavia červené škvrny, ktorých lokalizáciou sú plecia, hrudník, chrbát, boky, boky. V mnohých prípadoch zmiznú bez stopy, ale choroba je lepšie nechať bez dozoru, inak sa k nej môže pripojiť ekzém, stafyloderma a streptoderma. Ošetrenie ružového lišajníka jeho cieľom je minimalizovať riziko komplikácií.
Alergia na alkohol

Červené škvrny na tele, ktoré sa objavia po požití alkoholu, môžu naznačovať výskyt alergie na alkohol. Najprv sa tvár začervená, potom zvyšok tela. Toto ochorenie sa považuje za zvýšenú individuálnu citlivosť na určitú látku, pri ktorej po opakovanom vystavení telo začne vytvárať protilátky na boj, v súvislosti s ktorými existuje zápalový proces s nepredvídateľnými následkami. Príčinou alergie môže byť etylalkohol, droždie, chmeľ, syntetické farbivá, konzervačné látky, arómy.
Čo robiť, ak má dieťa červené bodky alebo škvrny

Na tele dieťaťa sa môžu náhle objaviť červené škvrny. Existuje veľa chorôb, ktoré spôsobujú také nepríjemnosti. Príznak naznačuje, že je potrebné bezodkladne konať. Je prísne zakázané zapojiť sa do samoliečby, najmä ak je stav sprevádzaný zvracaním, hnačkou, horúčkou, preto okamžite vyhľadajte diagnózu s lekárom. Sčervenanie môže byť príznakom nasledujúcich chorôb:
- osýpky - až do 4 dní sú príznaky podobné SARS, po tom, čo je tvár pokrytá červenými škvrnami, potom padajú na hrudník, žalúdok, nohy.
- Šarlátová horúčka - vyznačujúce sa malou svetlou vyrážkou s malým priemerom, ktorá sa rýchlo šíri po celom tele, s výnimkou nasolabiálneho trojuholníka. Jazyk, sliznica sa stáva jasnou karmínovou.
- rubeola - malá ružová vyrážka na hrudi, chrbte, tvári, horúčka do 38 stupňov.
- ovčie kiahne - Červené škvrny sa za pár dní menia na papuly vezikuly naplnené tekutinou, čo spôsobuje silné svrbenie.
- roseola - Herpes vírus sa považuje za pôvodcu choroby.Inkubačná doba je 5 až 15 dní.
- pásový opar - výskyt červených vypuklých škvŕn s odlupovaním.
- sudamen - malá červená vyrážka na miestach, kde je odev pripevnený k pokožke. Často sa vyskytuje u dojčiat, ktoré nosia plienky. Vyrážka nesvedie, dieťa neobťažuje. Pomáhajú kúpele s infúziami nechtíka, harmančeka, vlašských orechov, použitia detského prášku a nosenia prírodných odevov absorbujúcich pot.
- alergie - Najčastejšia príčina červených škvŕn na tele. Ochorenie sa môže vyskytnúť ako reakcia na čokoľvek (nové jedlo, detská kozmetika, dojčenská výživa, plienky).
- Červený blisterod popálenín, uhryznutí komárom.
Kedy a ku ktorému lekárovi musíte okamžite kontaktovať
V niektorých prípadoch sa červené škvrny kombinujú s inými príznakmi a signálnymi chorobami, čo sú závažné stavy, ktoré si vyžadujú okamžitý zásah kvalifikovaného lekára. Znaky zdravotného rizika a signál pre kontaktovanie dermatológa sú výskytom týchto javov:
- Poškodenie vedomia - zmätenosť, ospalosť, mdloby atď.
- Modrasté, modrasté sfarbenie pier, pokožky, nechtov.
- Bolesť na hrudníku.
- Ťažké poškodenie pozornosti.
- Laboratórne dýchanie.
- Tesnosť hrudníka.
- Opuch pier, očí a hrdla.
- Palpitácie srdca.
- Dýchavičnosť, Dýchavičnosť.
- Závažné upchatie nosa.
- Zvýšenie teploty.
- Anafylaktický šok - výrazná reakcia na alergén, dýchavičnosť, hypoxia, pokles krvného tlaku, kolaps, strata vedomia.
Foto a popis možných podmienok

Ako a ako liečiť červené škvrny
Koža osoby sa považuje za indikátor celkového stavu tela. Pred odstránením červených škvŕn je potrebné pochopiť príčinu ich výskytu. Ak je stav znepokojujúci, mali by ste sa poradiť s lekárom. Keď sa červené škvrny spájajú s alergiami, začínajú svrbiť, je potrebné odstrániť zdroj, užívať blokátory histamínu, ktoré zmierňujú nepríjemné príznaky. S kožnými vyrážkami, ktoré sú spojené so stresom, frustráciou, úzkosťou, strachom, musíte vziať sedatíva.
Nie je však možné s istotou povedať, že červené škvrny sú vegetovaskulárnou reakciou tela. Preto je v každom prípade potrebné odborné poradenstvo. Pri vaskulárnych ochoreniach patológie vnútorných orgánov, škvrny získavajú rôzne odtiene, tvary (kruhy, ovály), s plesňovými svrbeniami, bielymi plakmi, vredmi, ktoré si vyžadujú liečbu špeciálnymi masťami, tabletami, antibiotikami, ktoré lekár predpíše.
Lekárska konzultácia
Pokiaľ ide o červené škvrny, požiadajte o radu dermatológa. Iba odborník bude schopný identifikovať príčinu na základe výsledkov testov vykonaných pacientom. Po stanovení diagnózy postupujte presne podľa pokynov lekára a postupujte opatrne. Pokiaľ ide o infekciu epidermy, oplatí sa vylúčiť opakovanú možnosť infekcie autoimunitné ochorenia konzultujte s odborníkom zmiernenie stavu. Nikdy sa nesnažte odstrániť červené škvrny sami, neotierajte, nečesajte ich, dodržiavajte hygienické pravidlá.
Liečba ľudovými liekmi

Niektoré ľudové lieky pomáhajú zmierniť zápal, odstrániť opuch, sčervenanie:
- Infúzia brezových púčikov zvlhčuje pokožku, zmierňuje zápaly, červené škvrny. K tomu naliať pohár vriacej vody do lyžice obličiek, trvať na pár hodín, navlhčite handričku a aplikujte po dobu 15 minút.
- Zmierňuje zápal, červené škvrny, žihľavu, rebríček, lastovičku. Čerstvé bylinky je potrebné naliať do vriacej horúcej vody, trvať na tom, vypusťte tekutinu a dajte dužinu na postihnuté miesta.
- Čerstvá šťava z kôpru zmierňuje svrbenie žihľavami, pálenie, pre ktoré je potrebné na vyrážky pripevniť navlhčenú čistú utierku na pol hodiny.