
Počiatočné štádium huby na nohách: príznaky a prostriedky na nápravu

Herpes na ramene: príznaky a liečba vírusu

Opisthorcháza u detí: príznaky a liečba choroby

Dazolik: užívanie drogy
Droga Dazolik je antiprotozoálne činidlo, ktoré sa používa na liečbu chorôb spôsobených mikroorganizmami. Viac informácií o ...

Herpes na perách počas tehotenstva - príčiny a metódy infekcie, liečebné metódy vo všetkých štádiách tehotenstva
Počas tehotenstva nie je ľahké liečiť opar na perách, ale v akomkoľvek trimestri je povolená lokálna masťová terapia, lekár predpisuje tablety, ak ...

Vírus Coxsackie u dospelých - patogén, inkubačná doba, prejavy, diagnostika a spôsob liečby
Záhadný vírus Koksaki u dospelých: podrobný opis chorôb a komplikácií spôsobených enterovírusom Koksaki. Príznaky, metódy liečby ...

HPV typu 16 u žien - príčiny, príznaky, diagnostika, prejavy a lieky na liečbu

Vírusové choroby - príznaky, diagnostika a liečba

Prst jazyk - príčiny, diagnostika, liečba doma a odstránenie
Malý prst na ruke je vírusové ochorenie, ktoré môže zničiť život. Naučte sa, ako sa zbaviť choroby pomocou postupov, lekár ...

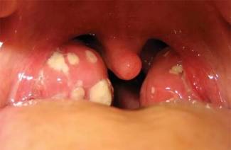
Plesňová tonzilitída u dieťaťa a dospelých - príčiny, prvé príznaky a prejavy, liečba
Plesňové ochorenie mandlí je ťažké odhaliť v raných štádiách, čo môže viesť ku komplikáciám alebo k prechodu choroby do chronickej formy ...

Fungálna konjunktivitída - príznaky, príznaky, diagnostika a liečba

Biely plak na perách u detí a dospelých - príčiny, liečba drogami a oplachovanie

Biely plak v ústach - príčiny, diagnostika a liečba

Ako liečiť kandidózu u žien a mužov

Huba na jazyku: liečba orálnej kandidózy u detí a dospelých

Kandidóza žalúdka: príznaky a liečba plesňových ochorení

Teplota s angínou - ako poraziť dieťa a dospelého